Добавить в корзинуПозвонить
Найти в Дзене
Планета здоровья

✏️ Планета здоровья: Забытый в теле: история, которая изменила хирургию

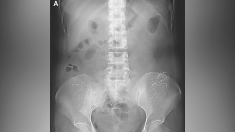
 ✏️ Планета здоровья: Забытый в теле: история, которая изменила хирургию Представьте себе: вы годами ходите по врачам, проходите обследования, а вам снова и снова говорят: "Всё в порядке". Знакомо? К сожалению, такая ситуация не нова. И вот вам история из конца XIX века, которая заставляет задуматься. Женщина, перенесшая операцию на брюшной полости, казалось бы, была на пути к выздоровлению. Операция прошла успешно, рана зажила, её выписали. Но вскоре начались странности: постоянная слабость, приступы болей, необъяснимая температура. Врачи разводили руками. Современной диагностики тогда не существовало, рентген был редкостью. Диагноз оставался загадкой. Шли годы. Организм женщины боролся с чем-то невидимым, то улучшаясь, то ухудшаясь. И только спустя почти два десятилетия, во время очередного обострения, в области старого шрама обнаружилось воспаление. Его вскрыли, и внутри нашли... плотный, странный комок. Это оказался кусок хирургической марли, забытый врачами во время операции м

✏️ Планета здоровья: Забытый в теле: история, которая изменила хирургию

Представьте себе: вы годами ходите по врачам, проходите обследования, а вам снова и снова говорят: "Всё в порядке". Знакомо? К сожалению, такая ситуация не нова. И вот вам история из конца XIX века, которая заставляет задуматься.

Женщина, перенесшая операцию на брюшной полости, казалось бы, была на пути к выздоровлению. Операция прошла успешно, рана зажила, её выписали. Но вскоре начались странности: постоянная слабость, приступы болей, необъяснимая температура. Врачи разводили руками. Современной диагностики тогда не существовало, рентген был редкостью. Диагноз оставался загадкой.

Шли годы. Организм женщины боролся с чем-то невидимым, то улучшаясь, то ухудшаясь. И только спустя почти два десятилетия, во время очередного обострения, в области старого шрама обнаружилось воспаление. Его вскрыли, и внутри нашли... плотный, странный комок.

Это оказался кусок хирургической марли, забытый врачами во время операции много лет назад! Организм, пытаясь защититься, буквально "обернул" инородный предмет тканями, создав капсулу. Это состояние позже получило название госсипибома.

Самое поразительное – женщина прожила с этим почти 20 лет! Без современной диагностики, без понимания причины, с постоянной, необъяснимой болезнью внутри. После удаления марли её состояние резко улучшилось.

Этот случай стал одним из тех, после которых в хирургии начали вводить строгие правила: пересчёт инструментов и материалов до и после операции. Сегодня это кажется очевидным, но когда-то подобные истории были не редкостью, просто их не всегда удавалось разгадать.

Эта история – напоминание о том, как важно внимательно относиться к своему здоровью, не опускать руки в поисках ответов и ценить достижения современной медицины, которые когда-то были лишь мечтой.

#медицина #историямедицины #хирургия #госсипибома #врачи #здоровье #диагностика #случайизпрактики