Найти в Дзене
Иннова Клиник

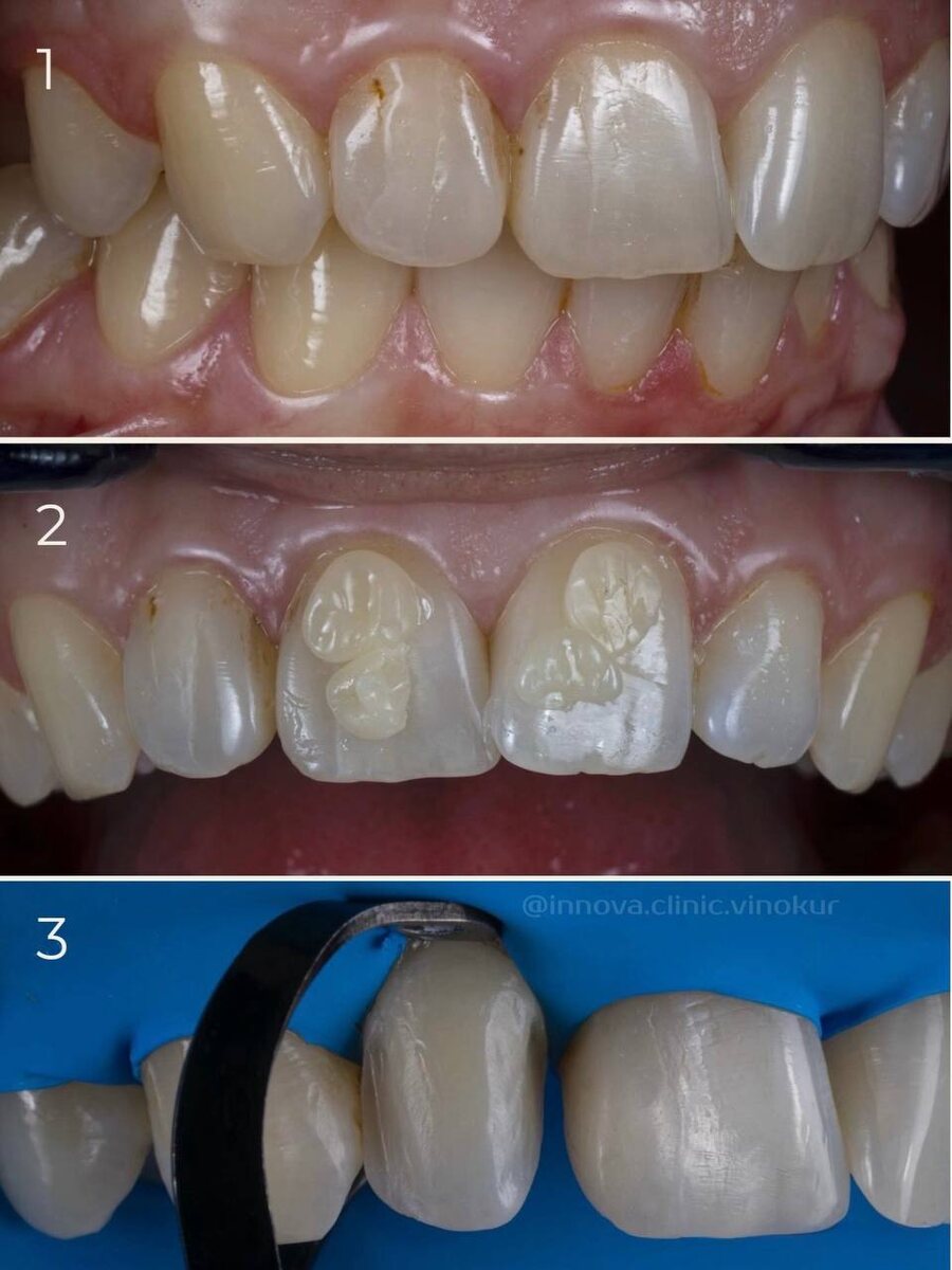
К нам обратился пациент с запросом: его не устраивал внешний вид зубов — неровности и трещины на эмали

Мы предложили решение — композитную реставрацию ✨ Реставрация зубов — это процедура, которая позволяет: — Скорректировать цвет — Изменить форму зубов — Устранить небольшую кривизну — Восстановить утраченные ткани — Убрать сколы режущего края — Закрыть промежутки между зубами Результат: зубы выглядят более ровно и ухоженно 🙌🏻 И хотим сказать, всё делается за 1 визит — вы уходите с новой улыбкой уже в день обращения 🥰 Если вы тоже хотите улучшить внешний вид зубов — композитная реставрация может стать быстрым решением без сложных вмешательств. Приходите на консультацию — подберём оптимальный вариант именно для вас 💌

К нам обратился пациент с запросом: его не устраивал внешний вид зубов — неровности и трещины на эмали.

Мы предложили решение — композитную реставрацию ✨

Реставрация зубов — это процедура, которая позволяет:

— Скорректировать цвет

— Изменить форму зубов

— Устранить небольшую кривизну

— Восстановить утраченные ткани

— Убрать сколы режущего края

— Закрыть промежутки между зубами

Результат: зубы выглядят более ровно и ухоженно 🙌🏻

И хотим сказать, всё делается за 1 визит — вы уходите с новой улыбкой уже в день

обращения 🥰

Если вы тоже хотите улучшить внешний вид зубов — композитная реставрация может стать быстрым решением без сложных вмешательств.

Приходите на консультацию — подберём оптимальный вариант именно для вас 💌

-2