Добавить в корзинуПозвонить
Найти в Дзене
ProЗубы

Стандартная ситуация — впечатляющий результат

✨ На фото — работа «до / после». Исходная ситуация ⤵️ ▫ скученность зубов ▫ сужение верхней и нижней челюсти ▫ смещение центральной линии ▫ нарушенные контакты между зубами Запрос пациентки был понятный и очень частый — эстетика и правильное смыкание зубов! 😍 Что сделано в процессе лечения: ✔ расширение верхней и нижней челюсти ✔ выравнивание зубных рядов ✔ постановка клыков по I классу ✔ нормализация контактов между верхними и нижними зубами ✔ восстановление правильной центральной линии Результат — гармоничная улыбка и физиологичное смыкание. Важно: пациентке рекомендована реставрация клыков для восстановления утраченной анатомической формы. Ортодонтия создаёт правильную основу, а финальные штрихи помогают довести эстетику до идеала. Такие случаи — не редкость. Но за каждым «стандартным» кейсом стоит точная диагностика и пошаговая работа врача. 📍 Сочи, ул. Парковая, 34/1 (центр Сочи) +7 918 209-00-27

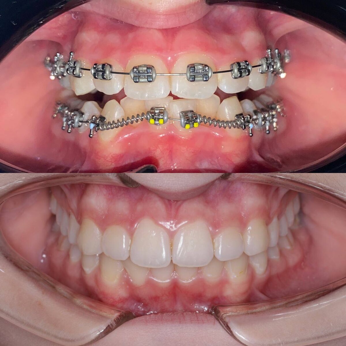
Стандартная ситуация — впечатляющий результат ✨

На фото — работа «до / после».

Исходная ситуация ⤵️

▫ скученность зубов

▫ сужение верхней и нижней челюсти

▫ смещение центральной линии

▫ нарушенные контакты между зубами

Запрос пациентки был понятный и очень частый — эстетика и правильное смыкание зубов! 😍

Что сделано в процессе лечения:

✔ расширение верхней и нижней челюсти

✔ выравнивание зубных рядов

✔ постановка клыков по I классу

✔ нормализация контактов между верхними и нижними зубами

✔ восстановление правильной центральной линии

Результат — гармоничная улыбка и физиологичное смыкание.

Важно: пациентке рекомендована реставрация клыков для восстановления утраченной анатомической формы. Ортодонтия создаёт правильную основу, а финальные штрихи помогают довести эстетику до идеала.

Такие случаи — не редкость.

Но за каждым «стандартным» кейсом стоит точная диагностика и пошаговая работа врача.

📍 Сочи, ул. Парковая, 34/1 (центр Сочи)

+7 918 209-00-27