Найти в Дзене

Метастазы в головном мозге: когда помогает радиохирургия

Метастазирование рака в головной мозг является распространенным явлением при различных онкологических заболеваниях. Частота метастазирования в мозг зависит от типа первичной онкологии. Ниже приведены данные о частоте метастазирования в головной мозг для некоторых наиболее распространенных видов рака: Рак легкого Мелкоклеточный рак легкого (МКРЛ): 10–20% пациентов на момент постановки диагноза, до 50% в течение болезни. Немелкоклеточный рак легкого (НМКРЛ): 20–40% пациентов, особенно при аденокарциноме. Рак молочной железы У 10–30% пациентов с метастатическим раком молочной железы развиваются метастазы в головной мозг. Чаще встречается при HER2-положительном и тройном негативном раке молочной железы. Меланома У 20–50% пациентов с метастатической меланомой развиваются метастазы в головной мозг. Меланома имеет высокую склонность к метастазированию в ЦНС. Рак почки (почечно-клеточный рак) У 5–10% пациентов с метастатическим раком почки развиваются метастазы в мозг. Колоректальный рак У 1–3
Оглавление
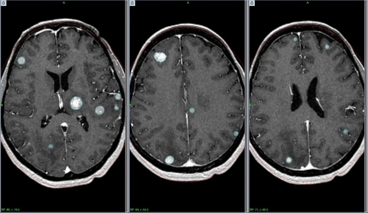
МРТ картина множественных метастазов в головной мозг.
МРТ картина множественных метастазов в головной мозг.

Метастазирование рака в головной мозг является распространенным явлением при различных онкологических заболеваниях.

Частота метастазирования в мозг зависит от типа первичной онкологии.

Ниже приведены данные о частоте метастазирования в головной мозг для некоторых наиболее распространенных видов рака:

Рак легкого

Мелкоклеточный рак легкого (МКРЛ): 10–20% пациентов на момент постановки диагноза, до 50% в течение болезни.

Немелкоклеточный рак легкого (НМКРЛ): 20–40% пациентов, особенно при аденокарциноме.

Рак молочной железы

У 10–30% пациентов с метастатическим раком молочной железы развиваются метастазы в головной мозг.

Чаще встречается при HER2-положительном и тройном негативном раке молочной железы.

Меланома

У 20–50% пациентов с метастатической меланомой развиваются метастазы в головной мозг.

Меланома имеет высокую склонность к метастазированию в ЦНС.

Рак почки (почечно-клеточный рак)

У 5–10% пациентов с метастатическим раком почки развиваются метастазы в мозг.

Колоректальный рак

У 1–3% пациентов с метастатическим колоректальным раком развиваются метастазы в головной мозг.

Чаще встречается при раке прямой кишки.

Рак мочевого пузыря

Метастазы в головной мозг редки (менее 5% случаев).

Рак предстательной железы

Метастазы в головной мозг редки (менее 1% случаев), но могут встречаться при кастрационно-резистентном раке простаты.

Рак яичников

Метастазы в головной мозг редки (менее 2% случаев).

Рак желудка и пищевода

Метастазы в мозг встречаются редко (1–3% случаев).

Саркомы

Метастазы в мозг крайне редки (не более 1%), но могут встречаться при некоторых типах сарком (например, остеосаркома, лейомиосаркома).

Симптомы метастазов в мозг:

• Головная боль

• Судороги

• Неврологические нарушения (слабость, нарушение речи, зрения, координации)

• Когнитивные нарушения

Диагностика:

• МРТ головного мозга с контрастированием — золотой стандарт

• СКТ головного мозга с контрастированием (если МРТ недоступна)

Факторы, влияющие на частоту метастазирования в мозг:

• Агрессивность первичной опухоли

• Молекулярные характеристики опухоли (например, HER2, EGFR, BRAF мутации)

• Стадия заболевания (метастазы в мозг чаще встречаются при запущенных стадиях)

• Эффективность системного лечения (химиотерапия, таргетная терапия, иммунотерапия)

Лечение:

• Хирургическое удаление (при одиночных метастазах)

• Лучевая терапия (стереотаксическая радиохирургия или облучение всего мозга)

• Системная терапия (химиотерапия, таргетная терапия, иммунотерапия)

• Симптоматическое лечение (кортикостероиды, противосудорожные препараты)

Об этом должен знать каждый пациент с онкологическим диагнозом!

Метастазы в головной мозг могут долго оставаться бессимптомными, поэтому целесообразно выполнять МРТ головного мозга с контрастированием в случае появления симптомов/прогрессировании (см. выше) или не реже одного раза в год при отсутствии симптоматики/прогрессии.

На основании собственного 20-летнего опыта нашего центра мы можем сказать, что своевременная радиохирургия обеспечивает надежный локальный контроль (отсутствие роста, частичный или полный регресс очага) даже при множественных метастазах, более чем в 85% случаев (85-98%).

Современные методы радиохирургии позволяют эффективно контролировать рост опухолей и метастазов в головном мозге, а в некоторых случаях добиваться длительных результатов наблюдения на протяжении многих лет.

Если у вас или у ваших близких выявлены метастазы в головном мозге, опухоли, рецидивы опухолей, функциональные расстройства или сосудистые мальформации, важно обсудить ситуацию со специалистом и определить возможные варианты лечения.