Найти в Дзене

Иногда исход лечения зависит не только от тактики, но и от диалога между врачами 💡 часть 1.

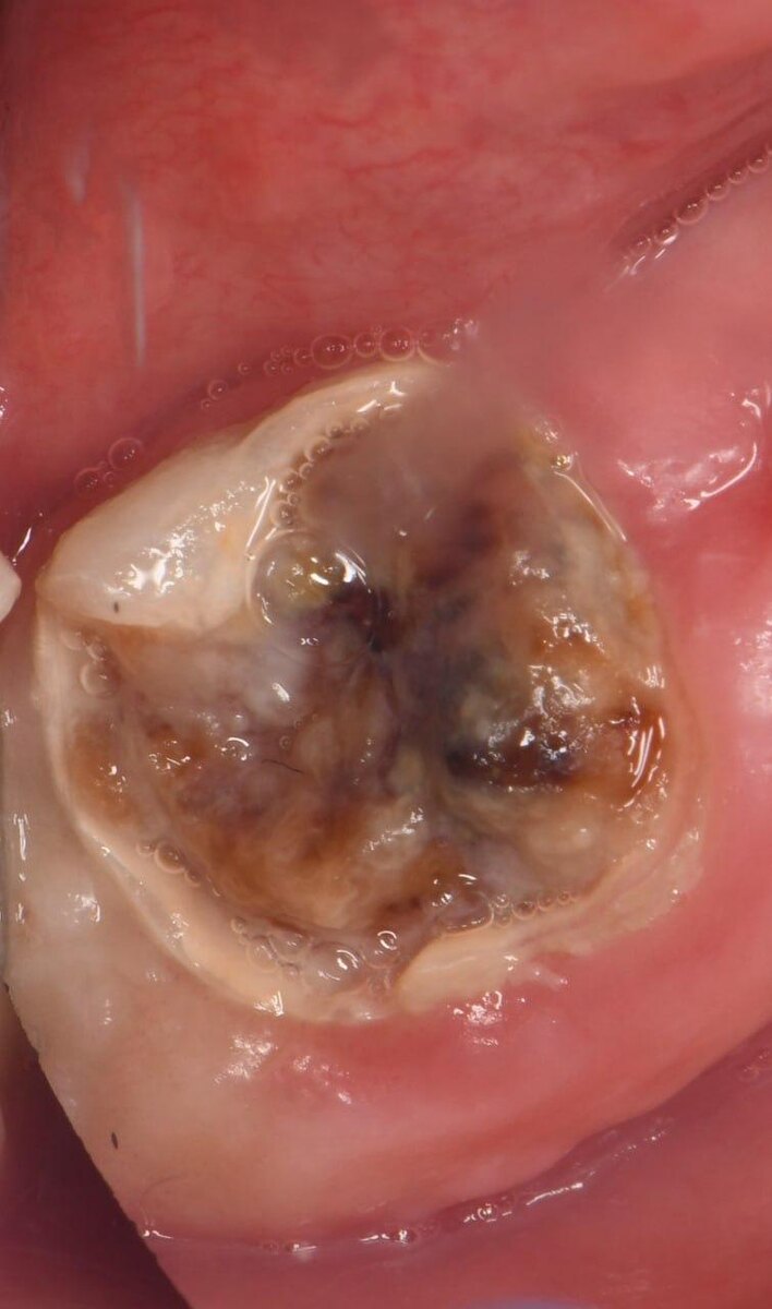
Пациент — мальчик, 10 лет, семья иногородняя. Первично они обратились к нам за онлайн-консультацией. Из анамнеза: мама рассказывала, что как только зубы прорезались, они уже были с пятнами, изменённым цветом. Постепенно ткани разрушались. Они обращались к стоматологам, где-то что-то лечили, ставили пломбы, но чаще слышали: «пока лечить не нужно». Пока в своём городе они не встретили очень грамотного доктора, который объективно определил, что ситуация сложная, и порекомендовал обратиться в нашу клинику «Дентал Фэнтези». Он же предложил формат онлайн-консультации. Когда я общалась с мамой по первому снимку от 8 октября, я уже ее предупредила, что неизвестно, насколько все будет спасаемо или нет. Потому что разрушение уже почти до уровня костной ткани. Вероятно, потребуется удлинение коронковой части и последующее покрытие коронками. Прогнозы не самые лучшие у этих зубов. Плюс ещё один трудный момент — отсутствие сотрудничества ребёнка. Мама переживала, что он просто не выдержит такие ман

Пациент — мальчик, 10 лет, семья иногородняя. Первично они обратились к нам за онлайн-консультацией.

Из анамнеза: мама рассказывала, что как только зубы прорезались, они уже были с пятнами, изменённым цветом. Постепенно ткани разрушались. Они обращались к стоматологам, где-то что-то лечили, ставили пломбы, но чаще слышали: «пока лечить не нужно».
Пока в своём городе они не встретили очень грамотного доктора, который объективно определил, что ситуация сложная, и порекомендовал обратиться в нашу клинику «Дентал Фэнтези». Он же предложил формат онлайн-консультации.

Когда я общалась с мамой по первому снимку от 8 октября, я уже ее предупредила, что неизвестно, насколько все будет спасаемо или нет. Потому что разрушение уже почти до уровня костной ткани. Вероятно, потребуется удлинение коронковой части и последующее покрытие коронками. Прогнозы не самые лучшие у этих зубов. Плюс ещё один трудный момент — отсутствие сотрудничества ребёнка. Мама переживала, что он просто не выдержит такие манипуляции в сознании.

И при этом она очень трепетно рассказывала про своего доктора. Я попросила связаться с ним, потому что я понимала на том первичном звонке, что ситуация намного сложнее, чем я вижу на КТ ❗️

Иногда мы этим шагом пренебрегаем. Кажется, что достаточно снимков и собственного осмотра. Но разговор с коллегой — это не про сомнение в его работе и не про «перепроверить». Это про объём информации.

И, знаете, это был очень коллегиальный, конструктивный разговор. Мы обсудили динамику, особенности тканей, поведение ребёнка, возможную тактику. Я поделилась своим видением, он — своим. Это был разговор не о конкуренции, а о пациенте.

И, честно говоря, мы зря иногда не связываемся с лечащими врачами, которые передают нам пациентов. Поэтому, коллеги, очень рекомендую общаться с ними, вести диалоги во благо лечения пациента ❤️

В следующем посте поделюсь тем, какое решение мы все-таки приняли касаемо лечения 46 зуба.

#кейсы_гузун