Добавить в корзинуПозвонить
Найти в Дзене
Нова Клиник

Реальный случай из практики репродуктолога

Пациентка обратилась в клинику с жалобами на отсутствие беременности при регулярной половой жизни без контрацепции в течение 10 лет. За время наблюдения у пациентки было зарегистрировано 5 клинических беременностей, все завершились потерями: две неразвивающиеся беременности на сроках 7-8 недель (2015, 2017 гг.), две антенатальные гибели плода на сроках 16 и 19 недель (2019, 2021 гг.) и одни преждевременные роды на сроке 23 недели (2022 г.) с гибелью новорожденного. В своём Телеграм-канале публикуем клинические случаи и посты от наших врачей. Главное отличие от других каналов - посты пишут не копирайтеры, поэтому информация в них важная, актуальная и правдивая ✅ После пятой потери пациентка прошла обследование в объеме, рекомендованном по месту жительства: кариотипирование обоих супругов (норма), гистероскопия (патологии полости матки не выявлено), стандартная коагулограмма (в пределах референсных значений). К нам пациентка обратилась после пятой потери, в состоянии выраженной тревоги и

Пациентка обратилась в клинику с жалобами на отсутствие беременности при регулярной половой жизни без контрацепции в течение 10 лет. За время наблюдения у пациентки было зарегистрировано 5 клинических беременностей, все завершились потерями: две неразвивающиеся беременности на сроках 7-8 недель (2015, 2017 гг.), две антенатальные гибели плода на сроках 16 и 19 недель (2019, 2021 гг.) и одни преждевременные роды на сроке 23 недели (2022 г.) с гибелью новорожденного.

В своём Телеграм-канале публикуем клинические случаи и посты от наших врачей. Главное отличие от других каналов - посты пишут не копирайтеры, поэтому информация в них важная, актуальная и правдивая ✅

После пятой потери пациентка прошла обследование в объеме, рекомендованном по месту жительства: кариотипирование обоих супругов (норма), гистероскопия (патологии полости матки не выявлено), стандартная коагулограмма (в пределах референсных значений).

К нам пациентка обратилась после пятой потери, в состоянии выраженной тревоги и астенизации. При целенаправленном сборе анамнеза выявлено: в молодости (19 лет) после перенесенной вирусной инфекции отмечался эпизод тромбоза глубоких вен голени (лечилась амбулаторно, антикоагулянты не назначались, расценено как осложнение после ушиба). Также пациентка отмечала частые головные боли, не связанные с артериальным давлением, и периодическую тромбоцитопению легкой степени (120-140 × 10⁹/л), которая никогда не интерпретировалась как патология.

Мы также взяли кровь на анализы (общий, биохимический и коагулограмма) - все значения в пределах нормы.

Пациентка была консультирована гемостазиологом, назначено специализированное гемостазиологическое обследование. Выявлен положительный волчаночный антикоагулянт (подтвержден повторно через 12 недель), положительные антитела к кардиолипину и к β2-гликопротеину I.

Ревматолог не выявил признаков системной красной волчанки.

На основании анамнеза (акушерские потери >10 нед, тромбоз в анамнезе) и лабораторных данных (стойкое положительное двукратное выявление LA, антител к кардиолипину и β2-гликопротеину I с интервалом 12 недель) установлен диагноз антифосфолипидного синдрома.

При антифосфолипидном синдроме аутоантитела к фосфолипидам (в данном случае — к кардиолипину и β2-гликопротеину I) взаимодействуют с трофобластом (клетками, из которых формируется плацента) на самых ранних сроках беременности. Это вызывает несколько патологических процессов:

  1. Нарушение инвазии трофобласта. Антитела подавляют способность клеток трофобласта внедряться в стенку матки, что нарушает формирование плаценты на самых ранних этапах . Этим объясняются потери на сроках 7-8 недель (первые две беременности).
  2. Активация эндотелия и микротромбозы. Антитела вызывают повреждение сосудистой стенки сосудов плаценты и активируют каскад свертывания, приводя к тромбозам в сосудах хориона и плаценты. Это ведет к плацентарной недостаточности, задержке роста плода и антенатальной гибели (потери на сроках 16 и 19 недель) .
  3. Системный провоспалительный эффект. АФС создает хроническое воспаление, которое само по себе неблагоприятно для имплантации и вынашивания.

Совместно с гемостазиологом был разработан план предгравидарной подготовки и протокол ведения будущей беременности.

Учитывая вторичное бесплодие (отсутствие зачатий при регулярной половой жизни) и возраст пациентки, принято решение о проведении программы ЭКО. Протокол модифицирован с учетом АФС. Выполнен перенос.

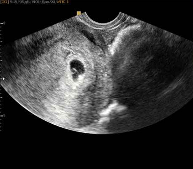
На 14-й день после переноса отмечался ХГЧ, а на УЗИ визуализировалось плодное яйцо с эмбрионом.

Всю беременность пациентка наблюдалась у гемостазиолога и принимала рекомендуемую терапию. На сроке 38 недель путем операции кесарево сечение малыш появился на свет - здоровый и крепкий!

Если у вас тоже есть проблемы с наступлением беременности, то консультация репродуктолога - первый шаг к рождению малыша.

-2