Найти в Дзене
Parodoctor

На КТ каналы идеально запломбированы - а внутри всё чёрное и "пахнет". Как мы спасли зуб, который другие велели убрать

Есть пациенты, которым с порога хочется пожать руку. Ещё даже до того, как заглянешь в рот. Просто за их подход к своему здоровью. Пациент из Ханты-Мансийска написал нам на почту с запросом на дистанционную консультацию. Казалось бы, что тут особенного? А вот что - он написал не просто "посмотрите, пожалуйста, что-то где-то как-то побаливает". Он выполнил все запрашиваемые условия - и свежий снимок КТ в формате DICOM, и описание ситуации полноценное, и пожелания свои по лечению. Даже ортодонтический фотопротокол выполнил - да, в диагностической лаборатории были не идеальные зеркала под это дело выделены, но это точно лучше, чем ничего. Собрал полный пакет данных - всё, как я прошу: Когда пациент так готовится к консультации - это не просто ответственность. Это мотивация. Настоящая, серьёзная мотивация к лечению. И с такими людьми работать одно удовольствие. Запрос - привести зубы в порядок. Не просто "залатать дырку", а комплексный подход. Терапия, ортопедия - всё, что нужно, на всё го
Оглавление

Есть пациенты, которым с порога хочется пожать руку. Ещё даже до того, как заглянешь в рот. Просто за их подход к своему здоровью.

Пациент из Ханты-Мансийска написал нам на почту с запросом на дистанционную консультацию. Казалось бы, что тут особенного? А вот что - он написал не просто "посмотрите, пожалуйста, что-то где-то как-то побаливает". Он выполнил все запрашиваемые условия - и свежий снимок КТ в формате DICOM, и описание ситуации полноценное, и пожелания свои по лечению. Даже ортодонтический фотопротокол выполнил - да, в диагностической лаборатории были не идеальные зеркала под это дело выделены, но это точно лучше, чем ничего. Собрал полный пакет данных - всё, как я прошу:

Стандартная схема запроса на лечение
Стандартная схема запроса на лечение
Когда пациент так готовится к консультации - это не просто ответственность. Это мотивация. Настоящая, серьёзная мотивация к лечению. И с такими людьми работать одно удовольствие.

Запрос - привести зубы в порядок. Не просто "залатать дырку", а комплексный подход. Терапия, ортопедия - всё, что нужно, на всё готов человек. Врачи посмотрели отправленные материалы, примерный план лечения составили, отправили пациенту. Он записался и приехал на 8-10 дней из своего города к нам в Санкт-Петербург. Изначально планировали два приёма у эндодонтиста. По факту получилось четыре.

Почему - сейчас расскажу.

Зуб под удаление - почему в одной клинике удаляют, а в другой спасают

Терапевтическое лечение вёл Обмайкин Роман Юрьевич - он и расскажет о своей работе. А я перепечатаю под формат блога.

Санация начинается с терапии и гигиены, это база. С гигиеной порядок, переходим к терапии.

И первым на очереди оказался пятый зуб:

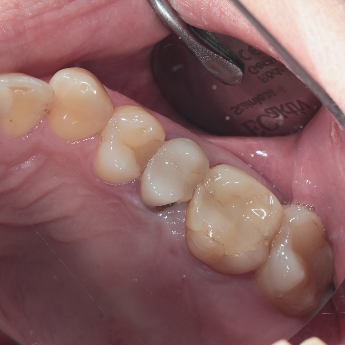
Состояние до
Состояние до

На первый взгляд - ничего катастрофического. Сломалась стенка, пломба объёмная, но визуально не то чтобы ужас-ужас. В своём городе пациенту сказали однозначно - надо удалять. Ничего не сделать. Всё, приговор.

А теперь давайте разберёмся, что там было на самом деле.

Пломба - да, огромная. Налеплена на корень с неудовлетворительным краевым прилеганием. А под пломбой - кариес, который ушёл глубокооо:

Убрали пломбу
Убрали пломбу

Поражены все стенки, кроме щёчной. Каналы на снимке запломбированы до верхушки - вроде бы всё прилично:

Периодонтит
Периодонтит

Но на верхушке - периодонтит.

Особенности рентгенограммы - что мы нашли в каналах под микроскопом

Коронковый герметизм нарушен - значит, инфекция давно проникла внутрь. Решение верное одно - перелечиваем.

Начали с диагностического препарирования. Убрали все кариозные ткани, старые пломбы, коагулировали десну. Поставили матрицы, кофердам, выполнили изоляцию:

Убрали пломбы
Убрали пломбы

Восстановили стенки - и это, к слову, была самая сложная часть работы (фото в микроскоп):

Восстановили стенки
Восстановили стенки

Но без стенок дальше работать невозможно, так как если их нет, то и изоляции не будет. Не будет изоляции - не будет стерильности.

А дальше - каналы. На Rg они запломбированы до конца, всё выглядит красиво, аккуратно. Но вот это ещё ничего не значит.

Заходим специальным инструментом в канал - и инструмент проваливается. Пломбировка, которая на рентгене выглядела плотной и полноценной, по факту оказалась пустышкой. Внутри всё грязное, чёрное, с характерным запахом:

Видимость лечения, не более.

В семёрке, кстати, обнаружилась та же история. На снимке - плотная пломбировка, в реальности - всё чёрное и инфицированное. Но это совсем другая история.

Прошли каналы, отмыли:

-8

Антисептик и временная пломба:

Временная пломба
Временная пломба

Через два дня - повторная обработка, финальная ирригация, пломбировка каналов гуттаперчей:

Финальная пломбировка каналов
Финальная пломбировка каналов

Сделали билдап с СВШ:

Зуб готов под коронку.

Рентгенограмма:

-12

Зуб, который нужно было удалять, ещё точно послужит хозяину долго.

Пациент уезжает домой с планом - вернуться и доделать остальное.

Почему "нормальные" рентгенологические снимки не гарантируют качественное лечение каналов

Вот что важно - пациент и раньше ходил не абы к кому. Каналы в его зубах были пролечены, рентгенологически выглядели нормально. Не халтура. Но по факту - результаты оказались неудовлетворительными.

И это частая ситуация. Снимок показывает контуры. Рентген не покажет плотность пломбировки, не покажет пустоты, не расскажет про инфекцию внутри. Всё это видно только только тогда, когда врач заходит в канал и своими глазами оценивает реальную картину.

Поэтому мы и говорим, что диагностическое препарирование в сложных ситуациях - это не каприз и не "развод на деньги". Это, зачастую, единственный способ узнать правду о том, что творится внутри каналов.

Вывод

Этот случай - история про двух главных героев.

Первый - врач, который не согласился с приговором "удалять". Который проверил зуб под микроскопом, прошёл каналы, отмыл то, что годами гнило под "красивой" пломбой. Он спас зуб.

Второй - пациент, который прилетел из Ханты-Мансийска. Который заранее собрал все данные, выполнил все условия, записался и сел в кресло врача. Который не сдался после слов "только удалять", а стал искать тех, кто скажет: "А давайте разберёмся".

Когда мотивация пациента встречается с возможностями врача - зубы спасаются. Даже те, от которых все отказались.

Больше терапевтических материалов в подборке:

Наша терапия | Parodoctor | Дзен

Если вам интересны подобные клинические истории - подписывайтесь на канал Parodoctor в Telegram. Там я рассказываю о стоматологии без прикрас: сложные случаи, нестандартные решения и то, что остаётся за кадром обычного приёма. Именно там я отвечаю на вопросы подписчиков, привлекая к ответам врачей команды, если это требуется:

Parodoctor

Завела канал в MAX, чтобы был (чтобы выкладывать видео, которые не грузит Телеграмм), называется он Parodoctor:

Parodoctor

С уважением, Лежачёва Наталия Александровна, хирург-пародонтолог и главный врач стоматологии Parodent, СПб.