Найти в Дзене

Почему оголяются корни зубов и как остановить рецессию десны: честный разбор ортодонта

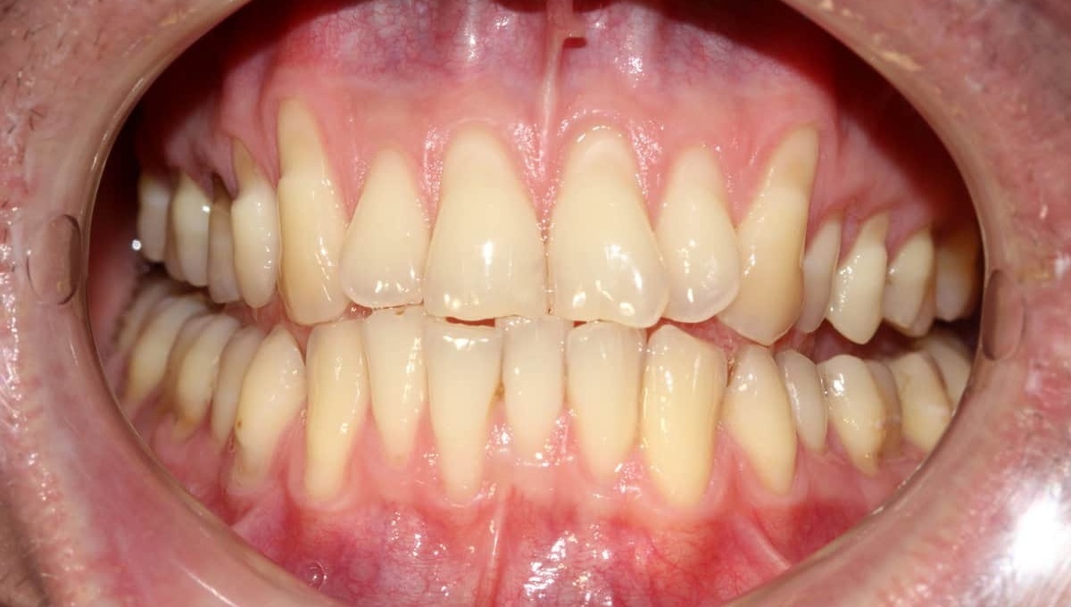
Вы замечали, что зубы вдруг стали чувствительными к холодному? А может, в зеркале кажется, будто они стали длиннее? Это не случайность. Это первый сигнал, что десна теряет свои позиции. Часто люди списывают подобные трансформации на возраст, но в стоматологии подобное явление называют рецессией. Процесс оголения корней коварен. При отсутствии своевременного вмешательства корень, лишенный защиты, быстро разрушается под воздействием бактерий. Появляется риск развития кариеса, клиновидных дефектов и даже удаления. Меня зовут Сергей Суджаев, я врач ортодонт. Сегодня я помогу разобраться, почему мягкие ткани покидают свое законное место, какие методы работают и по какой причине игнорирование проблемы ведет к потере костных структур. В норме десна крепится к шейке зубов.Мягкие ткани должны плотно закрывать зону соединения эмали и корня. Когда происходит сбой, десна на верхней челюсти поднимается вверх, а на нижней сползает вниз. Обнажается цемент корня. Подобный участок природой не приспосо
Оглавление

Вы замечали, что зубы вдруг стали чувствительными к холодному? А может, в зеркале кажется, будто они стали длиннее? Это не случайность. Это первый сигнал, что десна теряет свои позиции.

Часто люди списывают подобные трансформации на возраст, но в стоматологии подобное явление называют рецессией. Процесс оголения корней коварен.

При отсутствии своевременного вмешательства корень, лишенный защиты, быстро разрушается под воздействием бактерий. Появляется риск развития кариеса, клиновидных дефектов и даже удаления.

Меня зовут Сергей Суджаев, я врач ортодонт. Сегодня я помогу разобраться, почему мягкие ткани покидают свое законное место, какие методы работают и по какой причине игнорирование проблемы ведет к потере костных структур.

Почему оголяются корни зубов и как это влияет на чувствительность и эстетику улыбки

В норме десна крепится к шейке зубов.Мягкие ткани должны плотно закрывать зону соединения эмали и корня. Когда происходит сбой, десна на верхней челюсти поднимается вверх, а на нижней сползает вниз. Обнажается цемент корня. Подобный участок природой не приспособлен к контакту с агрессивной внешней средой.

Оголенный фрагмент моментально становится мишенью для раздражителей. Возникает повышенная чувствительность, формируются эстетические изъяны. Но внешние недостатки служат лишь верхушкой айсберга.

Рецессия выступает индикатором серьезных функциональных нарушений. Часто корень находится вне костной защиты из-за особенностей строения челюсти или некорректного положения в дуге.

-2

Причины отступления тканей

Потеря десневого края происходит под влиянием нескольких факторов, которые часто работают в связке.

  • Аномалии смыкания и перегрузка. Когда контакты между челюстями происходят некорректно, отдельные участки получают избыточное давление. Костная ткань под таким напором начинает рассасываться, а за ней неминуемо следует и мягкая оболочка.
  • Ошибки прошлого лечения. Иногда корни выходят за пределы костного ложа вследствие слишком агрессивного перемещения, когда челюстная дуга слишком узкая для крупных элементов.
  • Анатомические тяжи. Слишком высокое прикрепление уздечек или мелкое преддверие рта создает постоянное натяжение. Ткани буквально стягивает с их естественного места.
  • Тонкий биотип. Некоторым людям от рождения достается ранимая слизистая. Подобная особенность обусловлена генетикой. Улучшить состояние таблетками нельзя, но можно провести коррекцию хирургически.
  • Пародонтит. Хроническое воспаление и микробная бляшка разрушают связки, удерживающие корень. Организм пытается отгородиться от инфекции, из-за чего кость и десна проседают.
Пародонтит
Пародонтит

Можно ли наладить положение дел зубной щеткой

Заметив оголение шеек, многие совершают типичную ошибку и переходят на очень мягкие щетки. Самолечение в такой ситуации способно навредить.

Мягкая щетина бережнее относится к слизистой, но катастрофически плохо справляется с налетом. Накапливаются отложения, растет камень, воспаление усиливается, и ткани уходят еще быстрее.

Соблюдение правил гигиены важно, но процесс должен проходить под контролем специалиста. Иногда требуется заменить технику движений или подобрать специальные составы для укрепления эмали. Однако при далеко зашедшем процессе одними щетками проблему не решить.

Как микрохирургия десны спасает оголенные шейки зубов

Когда оголение шеек снижает качество жизни и создает выраженный визуальный дефект, мы прибегаем к микрохирургии. Задача врача заключается в превращении тонкого биотипа в толстый и надежный.

Наиболее эффективным методом считается пересадка собственного фрагмента слизистой пациента. Обычно донорский участок берется с неба или в области за дальними молярами. Манипуляция проводится под микроскопом, используются инструменты тоньше человеческого волоса.

-4

Хирург аккуратно подсаживает трансплантат в зону дефицита. Со временем там прорастают новые сосуды, ткани приживаются и создают мощный защитный барьер. Огромный плюс такого подхода кроется в идеальной регенерации неба. Уже через пару недель место забора полностью восстанавливается.

Роль ортодонта в сохранении здоровья слизистой

Хирургия борется с последствием, но устранение причины часто лежит в зоне моей ответственности. Ортодонтический путь позволяет переместить корни обратно в центр костного ложа. Когда опора восстановлена, нагрузка распределяется равномерно, и прогрессирование болезни останавливается.

Иногда мы сочетаем разные методы. Сначала выстраиваем правильное смыкание, а затем хирург закрывает оставшиеся дефекты. Такая стратегия гарантирует защиту от рецидивов в будущем.

Последствия бездействия

Игнорирование проблемы ведет к потере зубов. Постепенно корни оголяются всё сильнее, появляется подвижность. Постоянный дискомфорт, неприятный запах из-за скопления налета в карманах и невозможность нормально улыбнуться превращаются в вечный стресс.

Помните, чем меньше масштаб разрушения, тем проще обходится восстановление. Рецессия не приговор, а важный сигнал вашего тела. Вовремя замеченная патология позволяет сохранить природную эстетику на десятилетия.

Внимание. Материал подготовлен в ознакомительных целях. Требуется профессиональная консультация специалиста для постановки диагноза.
Ваш врач ортодонт, Сергей Суджаев.
Ваш врач ортодонт, Сергей Суджаев.

Заметили, что десна начала опускаться? Жду вас на диагностику. Мы проверим состояние костной ткани, определим ваш биотип и подберем тактику, которая остановит разрушение.

Запись на консультацию по телефону: +7 (985) 786-02-94. Наш сайт: https://studia-ulybki.ru/

Подписывайтесь на канал, чтобы разобраться, что происходит с челюстью и какие методы лечения применяются в современной ортодонтии.