Добавить в корзинуПозвонить
Найти в Дзене

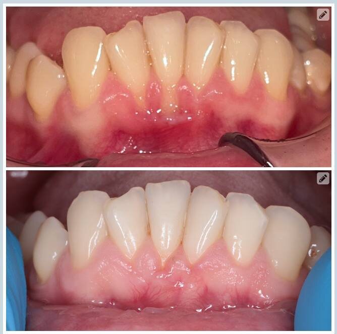
Рецессия десны. Что будет, если не лечить?

Рецессия десны - это состояние, при котором край десны смещается вниз (или вверх - в зависимости от челюсти), и корень зуба становится открытым. Многие воспринимают это как косметическую проблему «зуб стал длиннее», но на самом деле это клиническое изменение, которое со временем может прогрессировать и вызывать серьёзные последствия. Корень зуба не предназначен для контакта с агрессивной средой полости рта. Если коронка покрыта прочной эмалью, то корень защищён цементом и дентином - тканями, которые гораздо менее устойчивы к: Если травмирующие факторы сохраняются, рецессия постепенно увеличивается.
Количество десны уменьшается, ткани становятся тоньше, и зона вокруг зуба становится уязвимой. В открытом дентине находятся микроскопические канальцы.
Когда они становятся доступными для внешних раздражителей, появляется выраженная чувствительность на: Пациент начинает хуже чистить эту область из-за дискомфорта.
Налёт накапливается - воспаление усиливается - рецессия прогрессирует. Возн
Оглавление

Рецессия десны - это состояние, при котором край десны смещается вниз (или вверх - в зависимости от челюсти), и корень зуба становится открытым.

Многие воспринимают это как косметическую проблему «зуб стал длиннее», но на самом деле это клиническое изменение, которое со временем может прогрессировать и вызывать серьёзные последствия.

Почему это происходит?

Корень зуба не предназначен для контакта с агрессивной средой полости рта.

Если коронка покрыта прочной эмалью, то корень защищён цементом и дентином - тканями, которые гораздо менее устойчивы к:

  • механическому воздействию (жёсткая щётка, давление при чистке),
  • кислотам,
  • бактериальному налёту,
  • перегрузке зуба при неправильном прикусе,
  • хроническому воспалению.

Если травмирующие факторы сохраняются, рецессия постепенно увеличивается.

Количество десны уменьшается, ткани становятся тоньше, и зона вокруг зуба становится уязвимой.

1️⃣ Повышенная чувствительность

В открытом дентине находятся микроскопические канальцы.

Когда они становятся доступными для внешних раздражителей, появляется выраженная чувствительность на:

  • холодное
  • горячее
  • кислое
  • прикосновение

Пациент начинает хуже чистить эту область из-за дискомфорта.

Налёт накапливается - воспаление усиливается - рецессия прогрессирует. Возникает замкнутый круг.

2️⃣ Кариес корня

Корень менее минерализован, чем эмаль, поэтому кариес на корне развивается быстрее и протекает агрессивнее.

Лечение таких поражений сложнее:

  • сложнее изолировать зону,
  • выше риск повторного поражения,
  • в запущенных случаях может потребоваться лечение каналов.

3️⃣ Клиновидные дефекты

В зоне рецессии часто формируются так называемые клиновидные дефекты - углубления у шейки зуба.

Они возникают из-за сочетания:

  • чрезмерного давления при чистке,
  • перегрузки зуба,
  • ослабленной структуры тканей.

Наличие таких дефектов усложняет хирургическое лечение и часто требует комбинированного подхода - восстановления твёрдых тканей и пластики десны.

4️⃣ Потеря межзубных тканей

Если рецессию не лечить долгое время, могут вовлекаться ткани между зубами.

Это значительно ухудшает прогноз:

  • сложнее добиться полного покрытия корня,
  • увеличивается объём хирургического вмешательства,
  • снижается предсказуемость результата.

5️⃣ Эстетические изменения

Со временем происходит:

  • удлинение зубов,
  • асимметрия линии десны,
  • появление «чёрных треугольников» между зубами.

Исправить такие изменения гораздо сложнее, чем закрыть начальную рецессию.

Важный момент: рецессия не останавливается сама

Это не статичное состояние. Если причина не устранена и ткани не восстановлены, дефект имеет тенденцию к углублению.

Чем раньше пациент обращается, тем:

  • выше вероятность полного закрытия корня,
  • меньше объём операции,
  • стабильнее долгосрочный результат.

По мере прогрессирования снижается предсказуемость полного восстановления.

Заключение

Игнорирование рецессии может привести к:

  • усилению чувствительности
  • развитию кариеса корня
  • формированию клиновидных дефектов
  • ухудшению эстетики
  • снижению прогноза хирургического лечения

Современная пародонтальная хирургия позволяет не только закрыть оголённый корень, но и стабилизировать ткани на годы вперёд.

Главное - своевременная диагностика и индивидуально подобранная тактика лечения.

-2

Разборы клинических случаев, этапы операций и профессиональные комментарии публикую на канале «Доктор Панкрашова».