Добавить в корзинуПозвонить
Найти в Дзене

Улыбка, которую долго ждали: история сложного ортодонтического лечения с идеальным финалом

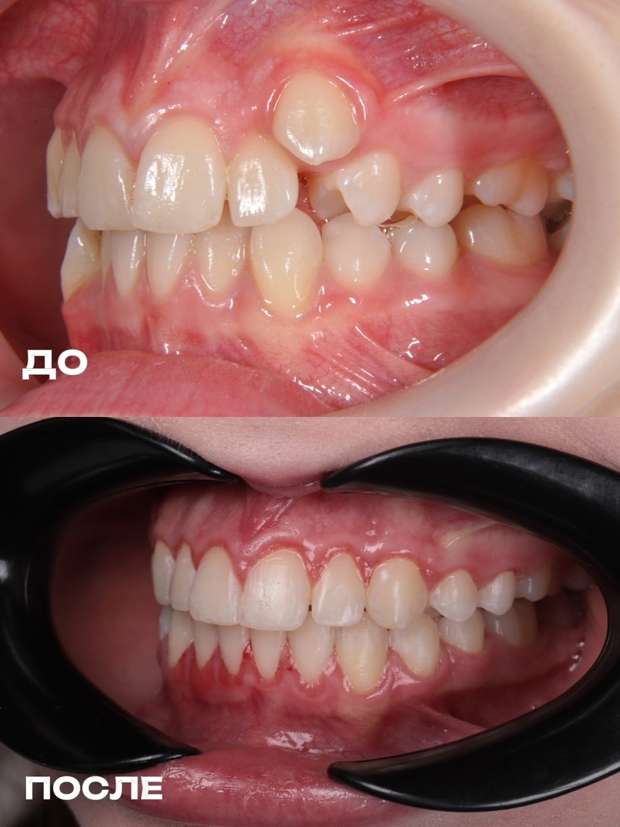
Знаете это тёплое чувство, когда хочется улыбнуться просто потому, что на душе хорошо? К сожалению, многие наши пациенты приходят к нам именно с обратной проблемой: они хотят улыбаться, но их останавливает стеснение, дискомфорт или неуверенность в своей улыбке. Сегодня мы хотим поделиться историей пациента, для которого улыбка наконец стала естественной реакцией на радость, а не поводом для переживаний. Теперь он улыбается, когда захочет — легко, свободно и без тени сомнения. На первичном приеме мы столкнулись с серьезной ортодонтической патологией, которая требовала профессионального системного подхода: 🔹 Выраженный дистальный прикус (нижняя челюсть смещена назад относительно верхней).
🔹 Несовпадение центральных линий (ось улыбки была смещена).
🔹 Вестибулярное положение клыков (так называемые «вампирские» клыки, сильно выступающие наружу).
🔹 Сужение зубных рядов (зубам не хватало места для правильного положения).
🔹 Скученность зубов на обеих челюстях. Комплекс этих проблем влия
Оглавление

Знаете это тёплое чувство, когда хочется улыбнуться просто потому, что на душе хорошо?

К сожалению, многие наши пациенты приходят к нам именно с обратной проблемой: они хотят улыбаться, но их останавливает стеснение, дискомфорт или неуверенность в своей улыбке.

Сегодня мы хотим поделиться историей пациента, для которого улыбка наконец стала естественной реакцией на радость, а не поводом для переживаний. Теперь он улыбается, когда захочет — легко, свободно и без тени сомнения.

Было: комплексный диагноз

На первичном приеме мы столкнулись с серьезной ортодонтической патологией, которая требовала профессионального системного подхода:

🔹 Выраженный дистальный прикус (нижняя челюсть смещена назад относительно верхней).
🔹
Несовпадение центральных линий (ось улыбки была смещена).
🔹
Вестибулярное положение клыков (так называемые «вампирские» клыки, сильно выступающие наружу).
🔹
Сужение зубных рядов (зубам не хватало места для правильного положения).
🔹
Скученность зубов на обеих челюстях.

Комплекс этих проблем влиял не только на эстетику, но и на здоровье височно-нижнечелюстного сустава, качество пережевывания пищи и долговечность самих зубов.

Стало: результат, видимый невооруженным глазом

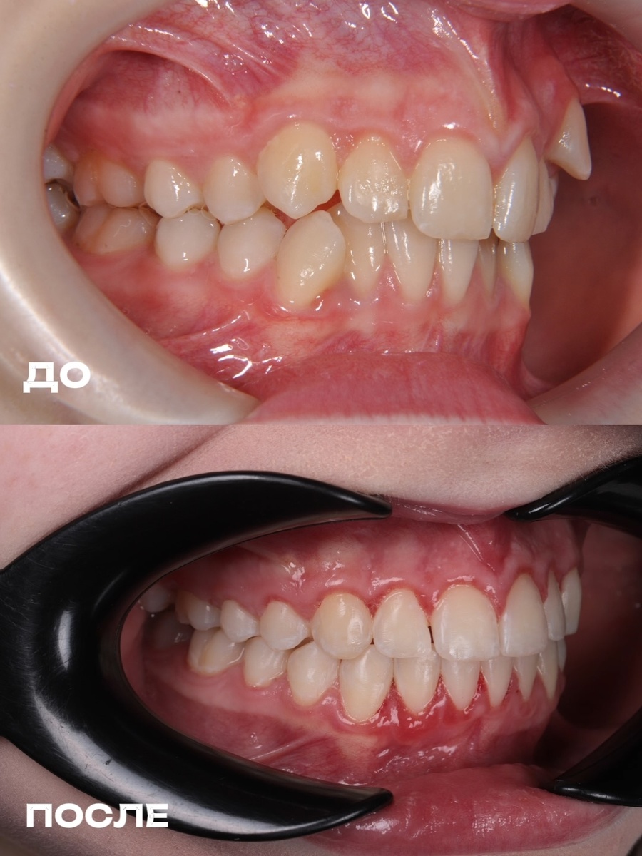
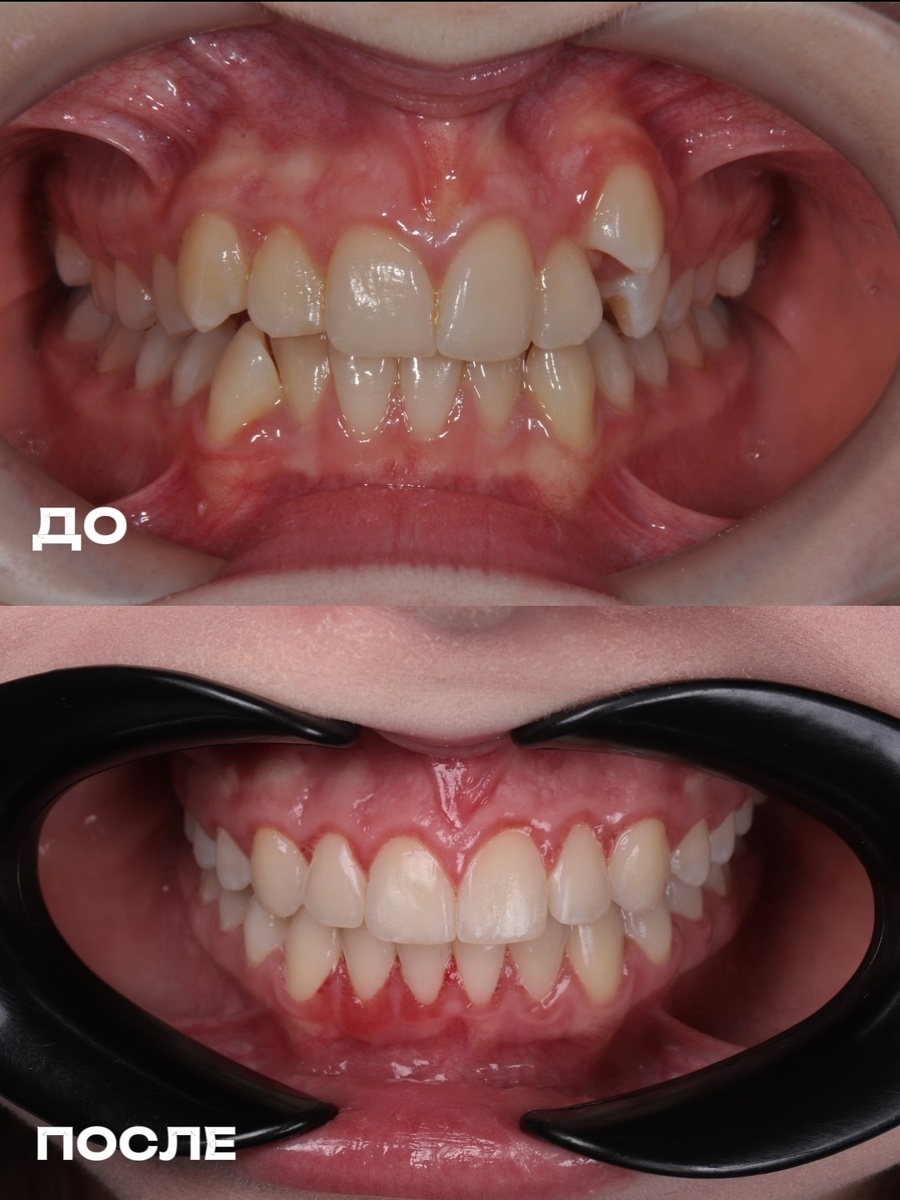
После курса лечения мы достигли результатов, которые можно назвать эталонными в стоматологии:

Плотные фиссурно-бугорковые контакты. Это не просто красивая улыбка, а идеальная «сцепка» зубов. Врач добился максимально точного смыкания жевательных поверхностей, что обеспечивает комфортное пережевывание пищи и разгрузку суставов.

Смыкание по I классу по клыкам и молярам. Это золотой стандарт ортодонтии — соотношение зубов, заложенное природой. Мы вернули челюстям правильную анатомию.

Идеальное соответствие центральных линий. Эстетика улыбки теперь безупречна: линии, проведенные мысленно между центральными резцами верхней и нижней челюсти, совпадают идеально.

-3

Вместо тысячи слов

Для нас, как для медицинского центра, это не просто «выравнивание зубов». Это восстановление гармонии — функциональной и эстетической. Когда прикус правильный, а зубы занимают свои места, улыбка перестает быть «работой над ошибками» и становится тем, чем и должна быть — проявлением счастья.

Если вы узнаете в «было» свои ощущения или просто давно хотели проверить состояние прикуса, ждем вас на консультацию. Мы поможем вам пройти этот путь с комфортом и правильным результатом.

Записаться на консультацию:
📞 +7-495-021-19-77
🌐
shifa-msk.ru/
📍 Москва, Ломоносовский просп., 25, корп. 1

#медицинскийцентр #стоматология #ортодонтия #лечениезубов #клиническийслучай #здороваяулыбка