Добавить в корзинуПозвонить
Найти в Дзене
D2D Expert

Клинический случай «НЕКРОТИЗИРУЮЩИЙ ПАНКРЕАТИТ»

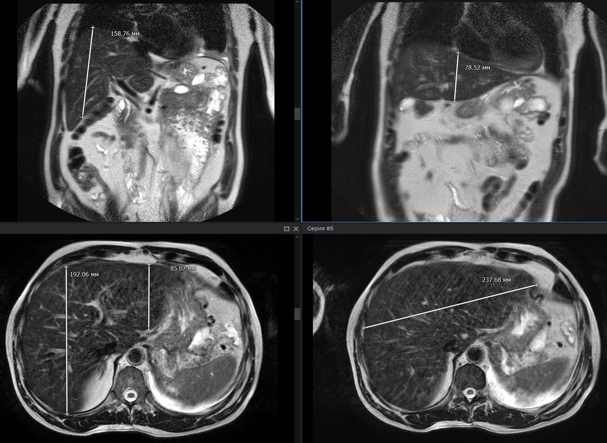
Морозова Татьяна Владимировна, врач-рентгенолог «МРТ Эксперт» г.Орёл Пациент В. 47 лет. Жалобы наболь в эпигастральной области и левом подреберье на протяжении 4-х недель, самостоятельно принимал обезболивающие препараты, до этого около двух недель употреблял алкогольные напитки в больших количествах. Ранее проходил лечение по поводу острого панкреатита. Обратился за медицинской помощью, было проведено ультразвуковое исследование органов брюшной полости. МРТ исследование проводится по рекомендации лечащего врача, после пройденного ультразвукового исследования. Ниже представлены изменения, которые были выявлены при проведении МРТ –исследования: Рис.1: Т2-ВИ корональная и аксиальная плоскость. Печень увеличена: максимальный вертикальный размер правой доли по СКЛ - 15.8 см (норма до 15,0 см), левой доли -7.8 см (норма до 10,0 см), передне-задний размер: правой доли - 19.2 см (норма до 15,0 см), левой доли - 8.5 см (норма 5,0-6,0 см), латеро-латеральный размер печени - 23.7 см (норма 23,0

Морозова Татьяна Владимировна, врач-рентгенолог «МРТ Эксперт» г.Орёл

Пациент В. 47 лет. Жалобы наболь в эпигастральной области и левом подреберье на протяжении 4-х недель, самостоятельно принимал обезболивающие препараты, до этого около двух недель употреблял алкогольные напитки в больших количествах. Ранее проходил лечение по поводу острого панкреатита. Обратился за медицинской помощью, было проведено ультразвуковое исследование органов брюшной полости.

МРТ исследование проводится по рекомендации лечащего врача, после пройденного ультразвукового исследования.

Ниже представлены изменения, которые были выявлены при проведении МРТ –исследования:

-2

Рис.1: Т2-ВИ корональная и аксиальная плоскость. Печень увеличена: максимальный вертикальный размер правой доли по СКЛ - 15.8 см (норма до 15,0 см), левой доли -7.8 см (норма до 10,0 см), передне-задний размер: правой доли - 19.2 см (норма до 15,0 см), левой доли - 8.5 см (норма 5,0-6,0 см), латеро-латеральный размер печени - 23.7 см (норма 23,0 см). Линейный коэффициент печени - 303 /норма до 256/.

-3

Рис.2. Т2-ВИ корональная и аксиальная плоскость (слева направо). В области тела и хвоста поджелудочной железы, парапанкреатической клетчатке, сальниковой сумке определяются выраженные инфильтративно-отечные изменения с формированием некротических скоплений, максимальными размерами 4.0х6.4х5.5 см, которые деформируют стенку желудка.

-4

Рис.3. Т2-ВИ корональная, сагиттальная и аксиальная плоскость (слева направо). Отмечается распространение патологических изменений в виде инфильтративно-отечных изменений и отграниченного количества жидкости по левому боковому каналу до подвздошной области, максимальными размерами 1.4х1.3х25.0см.

-5

Рис.4. Т1+ С (постконтрастные изображения) корональная и аксиальная плоскость (слева направо). После в/в контрастного усиления отмечается неоднородное накопление контрастного вещества зоной инфильтративно-отечных изменений в области хвоста поджелудочной железы.

-6

Рис.5. Т2-ВИ корональная и аксиальная плоскость (слева направо). Селезёнка обычного положения, увеличена в размерах (9.2х5.2х10.5 см), селезеночный индекс 502 (норма 160-440), структура её однородная. Селезеночная вена и брыжеечные сосуды - без изменений.

-7

Рис.6. Т2-ВИ корональная, сагиттальная и аксиальная плоскость (слева направо): На уровне визуализации: в плевральной полости слева визуализируется значительное количество жидкости.

Заключение:

МР-картина соответствует проявлениям острого некротизирующего панкреатита (сочетание паренхиматозного панкреатического и перипанкреатического некроза) с наличием острых некротических скоплений в теле и хвосте поджелудочной железы, а также в окружающей клетчатке с распространением в полость сальниковой сумки и в левый боковой канал до подвздошной области. Гепатоспленомегалия.

На уровне визуализации: МР-признаки гидроторакса слева.

В дальнейшем пациент был проконсультирован хирургом, проведено оперативное вмешательство для выполнения дренирования некротизирующих скоплений. В настоящий момент проходит

Больше полезного и интересного на наших площадках:

🔄 Telegram D2D Гастро Expert

🔄 MAX D2D Гастро Expert