Добавить в корзинуПозвонить
Найти в Дзене
Naked Science

Биополимер ускорил сбор спирулины и улучшил качество пигмент-белкового комплекса

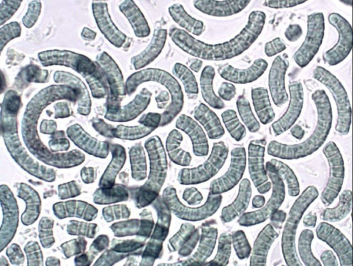
Ученые из МФТИ и Национального исследовательского центра «Курчатовский институт» выяснили, какие параметры природного полимера хитозана критически важны для быстрого и эффективного сбора биомассы нитчатой цианобактерии Arthrospira platensis (более известной под коммерческим названием спирулина). Исследователи установили, что основная характеристика, влияющая на процесс, — молекулярная масса полимера. Эксперименты показали, что правильно подобранный хитозан позволяет «склеить» и осадить 95% биомассы цианобактерии всего за пять минут. Такой подход не только ускоряет сбор урожая, но и повышает чистоту и антиоксидантную активность ценного пигмент-белкового комплекса С-фикоцианина, извлекаемого из биомассы. Спирулина (Arthrospira, или Limnospira) — одна из самых популярных в мире цианобактерий. Ее биомасса используется в пищевой промышленности, косметологии и как источник ценных биологически активных веществ, одно из наиболее ценных из которых — синий пигмент-белковый комплекс С-фикоцианин.
   Порошок спирулины при увеличении ×400 / © John Alan Elson, Wikipedia
Порошок спирулины при увеличении ×400 / © John Alan Elson, Wikipedia

Ученые из МФТИ и Национального исследовательского центра «Курчатовский институт» выяснили, какие параметры природного полимера хитозана критически важны для быстрого и эффективного сбора биомассы нитчатой цианобактерии Arthrospira platensis (более известной под коммерческим названием спирулина). Исследователи установили, что основная характеристика, влияющая на процесс, — молекулярная масса полимера. Эксперименты показали, что правильно подобранный хитозан позволяет «склеить» и осадить 95% биомассы цианобактерии всего за пять минут. Такой подход не только ускоряет сбор урожая, но и повышает чистоту и антиоксидантную активность ценного пигмент-белкового комплекса С-фикоцианина, извлекаемого из биомассы.

Спирулина (Arthrospira, или Limnospira) — одна из самых популярных в мире цианобактерий. Ее биомасса используется в пищевой промышленности, косметологии и как источник ценных биологически активных веществ, одно из наиболее ценных из которых — синий пигмент-белковый комплекс С-фикоцианин. Однако сбор биомассы (ее отделение от огромных объемов культуральной жидкости) — одна из важнейших проблем отрасли. Использование традиционных методов в ряде случаев может быть весьма длительным по времени, энергозатратным, повреждать клетки и пр. Флокуляция — процесс «склеивания» клеток в хлопья — рассматривается как щадящая и экономичная альтернатива. Главный вопрос: как подобрать идеальный флокулянт, который не только эффективно соберет биомассу, но и не испортит конечный продукт?

Хитозан, получаемый из панцирей ракообразных,— биоразлагаемый и нетоксичный кандидат. Но его свойства — молекулярная масса, вязкость и степень деацетилирования (показывающая, сколько активных аминогрупп доступно на полимерной цепи) — могут сильно варьироваться. До сих пор не было системного понимания, как каждый из этих параметров влияет на скорость и эффективность сбора биомассы Arthrospira platensis В-12619, а также сохранность извлекаемых из нее ценных метаболитов.

«Эта работа — продолжение исследований, проводимых в нашей лаборатории,— рассказала доцент кафедры нано, био, информационных и когнитивных технологий МФТИ, начальник лаборатории глубокой переработки биомассы НИЦ «Курчатовский институт» Яна Сергеева.— Мы подобрали оптимальные параметры хитозана, используемого для быстрого сбора биомассы цианобактерии, который не только не оказывает негативного влияния на сохранность целевого продукта, но и улучшает характеристики С-фикоцианина, который, в свою очередь, представляет интерес для биомедицинских исследований».

В ходе исследования ученые протестировали пять образцов хитозана с разными характеристиками. Эксперименты показали, что вязкость и степень деацетилирования (в изученном диапазоне 58–82%) не оказывали решающего влияния на процесс. Ключевым параметром оказалась молекулярная масса полимера. Образцы со средней молекулярной массой (150–250 кг/моль) обеспечивали сверхбыструю флокуляцию с эффективностью >90% уже через 5–10 минут. Оптимальным для сбора биомассы A. platensis был признан хитозан с молекулярной массой 250 ± 50 кг/моль и степенью деацетилирования 65 ± 5%. Работа опубликована в журнале Applied Biochemistry and Microbiology.

   Тепловая карта зависимости эффективности флокуляции от молекулярной массы хитозана и времени. Ярко-оранжевая зона через 5–10 минут соответствует оптимальным образцам со средней молекулярной массой / © Applied Biochemistry and Microbiology
Тепловая карта зависимости эффективности флокуляции от молекулярной массы хитозана и времени. Ярко-оранжевая зона через 5–10 минут соответствует оптимальным образцам со средней молекулярной массой / © Applied Biochemistry and Microbiology

Что еще важнее, использование хитозана не просто ускорило сбор, но и напрямую улучшило качество целевого продукта — экстракта фикобилипротеинов (С-фикоцианина и аллофикоцианина). По сравнению с контролем, где биомассу собирали центрифугированием, количество извлеченных пигментов не только осталось неизменным, но и величина индекса чистоты возросла на 41–50%, а антиоксидантная активность — на 30%.

Повышение чистоты экстракта меняет его рыночный потенциал. Пигмент с индексом чистоты выше 1,5 уже пригоден для косметической промышленности, что позволяет миновать дорогие дополнительные стадии очистки. Таким образом, правильный подбор флокулянта работает как встроенная стадия предварительного концентрирования и очистки целевого продукта.

Разработанный подход открывает путь к созданию экономичных, быстрых и «зеленых» технологий сбора микроводорослей. Он позволяет не только сократить операционные расходы на этапе сбора биомассы, но и сразу получать сырье более высокого качества для пищевой и косметической индустрий, повышая общую рентабельность производства.

Наука
7 млн интересуются