Найти в Дзене
D2D Expert

Клинический случай: «Находка при проведении комплексного исследования»

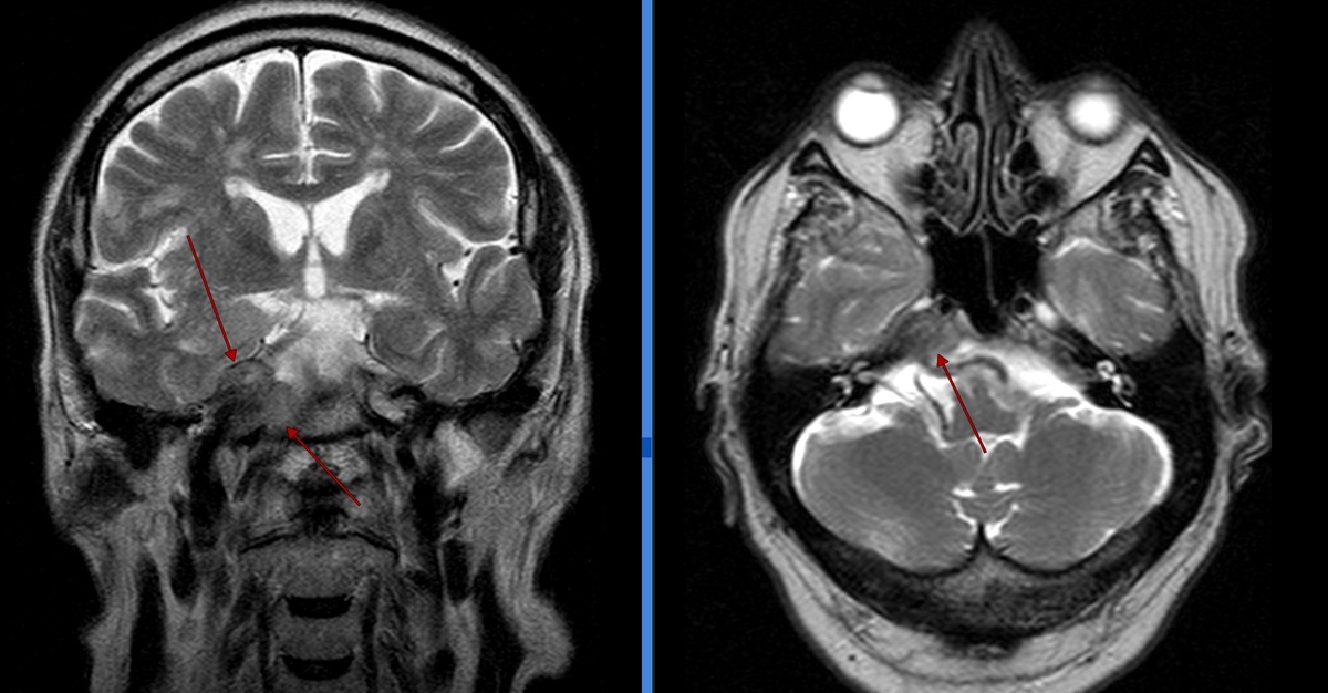
Морозова Татьяна Владимировна, врач-рентгенолог «МРТ Эксперт» г.Орёл Консультировался с неврологом, после чего был направлен на МРТ головного мозга с в/в контрастным усилением. Ниже представлены изменения, которые были выявлены при проведении МРТ –исследования: Рис.1. Т2-ВИ корональная и аксиальная плоскость (слева направо): В области правой Меккелевой цистерны и правых отделах ската определяется объемное образование с признаками муфтообразного охватывания С3, С4 сегментов внутренней сонной артерии. Рис.2: Т1-ВИ корональная и аксиальная плоскость, верхние изображения «нативное» исследование, нижние изображения постконтрастные изображения: после в/венного контрастного усиления наблюдается неоднородное накопление контрастного вещества образованием, максимальными размерами на постконтрастных изображениях 2.0х3.2х4.3 см. Заключение: МР-картина внемозгового объемного образования в области правой Меккелевой цистерны и правых отделов ската. Пациент был консультирован нейрохирургом, который

Морозова Татьяна Владимировна, врач-рентгенолог «МРТ Эксперт» г.Орёл

  • Пациент И. 68 лет. Жалобы на нарушение чувствительности правой половины лица около 1 месяца, 8 суток двоение в глазах, головокружение, тошнота.

Консультировался с неврологом, после чего был направлен на МРТ головного мозга с в/в контрастным усилением.

Ниже представлены изменения, которые были выявлены при проведении МРТ –исследования:

-2

Рис.1. Т2-ВИ корональная и аксиальная плоскость (слева направо): В области правой Меккелевой цистерны и правых отделах ската определяется объемное образование с признаками муфтообразного охватывания С3, С4 сегментов внутренней сонной артерии.

-3

Рис.2: Т1-ВИ корональная и аксиальная плоскость, верхние изображения «нативное» исследование, нижние изображения постконтрастные изображения: после в/венного контрастного усиления наблюдается неоднородное накопление контрастного вещества образованием, максимальными размерами на постконтрастных изображениях 2.0х3.2х4.3 см.

Заключение: МР-картина внемозгового объемного образования в области правой Меккелевой цистерны и правых отделов ската.

Пациент был консультирован нейрохирургом, который рекомендовал дальнейшее обследование и определение тактики лечения в Федеральном центре нейрохирургии. В рамках подготовки к этой консультации, и учитывая появившиеся за последний месяц боли в шейной отделе и межлопаточной области, пациент самостоятельно принял решение пройти МРТ комплексное исследование шейного и грудного отделов позвоночника.

Ниже представлены изменения, которые были выявлены при проведении МРТ –исследования:

-4

Рис.3. Т2-ВИ сагиттальная плоскость: МР-признаки дегенеративных изменений шейного отдела позвоночника; протрузия С5-С6 диска и экструзия С6-С7 диска /указаны стрелками/. Спондилоартроз на уровне С2-Th1 сегментов.

-5

Рис.4. Т2-ВИ корональная и аксиальная плоскость (слева направо): На уровне визуализации объемное образование в левой доле щитовидной железы, примерными размерами до 3.9х3.5х6.5 см, которое требует дальнейшего дообследования (УЗИ, морфологическая верификация).

-6

Рис.5. Т2-ВИ сагиттальная плоскость: Определяются объемные образования в левых поперечных отростках и левых дужках Th6-Th8 позвонков, с вовлечением задней области тела Th6 позвонка, максимальным размером 4.2х2.7х3.6 см.

-7

Рис.6. Т2-ВИ аксиальная плоскость: отмечается интрадуральное распространение на уровне Th6 позвонка, также отмечается образование в шейке Th7 ребра.

-8

Рис.7. Т2-ВИ аксиальная плоскость: позвоночный канал значительно деформирован со смещением спинного мозга вправо и его компрессией, минимальный фронтальный размер позвоночного канала- 0.5см абсолютный стеноз).

-9

Рис.8. STIR сагиттальная и Т1-ВИ корональная плоскость (слева направо): инфильтративно-отечные изменения паравертебральных мягких тканей на уровне визуализации объемных образований /образования указаны стрелками/.

-10

Рис.9: Т1-ВИ корональные плоскости, слева- «нативное» исследование, справа- постконтрастное изображение: При проведении в/в контрастного усиления отмечается патологическое накопление контрастного вещества объёмными образованиями.

Заключение: МР-картина объёмных образований в левых поперечных отростках и левых дужках Th6-Th8 позвонков, с вовлечением задней области тела Th6 позвонка, головки и шейки Th7 ребра, с интрадуральным распространением на уровне Th6 позвонка с формированием абсолютного стеноза позвоночного канала и компрессией спинного мозга (больше соответствует мts поражению).

  • Пациенту рекомендована консультация онколога и нейрохирурга.

На данный момент продолжается обследование пациента. С учетом выявленных изменений при обследовании головного мозга, шейного и грудного отделов позвоночника, нельзя исключить, что первичным очагом неопластического генеза является объёмное образование в области щитовидной железы, которое послужило причиной дальнейшего метастатического поражения вышеописанных структур.

В дальнейшем мы отследим судьбу данного пациента, чтобы дать Вам полный ответ, что всё-таки явилось первичным очагом.

Больше полезного и интересного на наших площадках:

🔄 Telegram D2D Неврология Expert
🔄
MAX D2D Неврология Expert