Найти в Дзене

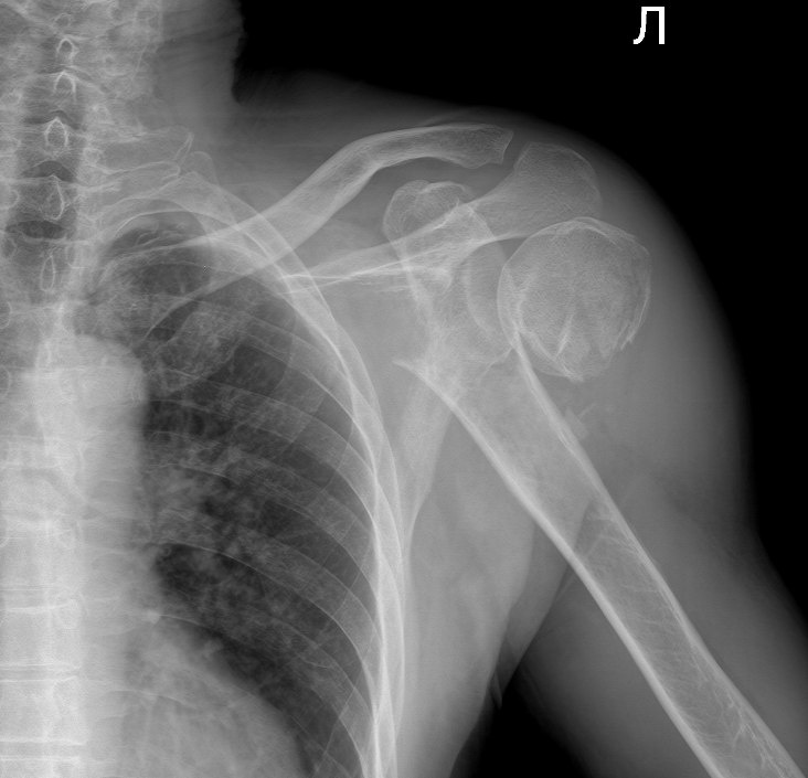
Перелом хирургической шейки плеча с выраженным смещением костных отломков

Пациента ждёт операция и длительное восстановление. ТРАВМАТЕКА.Подписаться

Перелом хирургической шейки плеча с выраженным смещением костных отломков. Пациента ждёт операция и длительное восстановление.

ТРАВМАТЕКА.Подписаться