Найти в Дзене
Cerecon

Циркониевые коронки на зубы: все что вам нужно знать

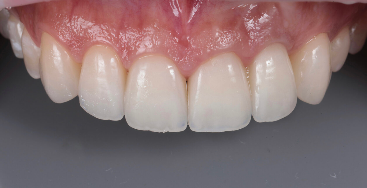
Циркониевые коронки — это ортопедические конструкции, изготовленные из диоксида циркония, современного биосовместимого материала с высокой прочностью. Они используются для восстановления разрушенных зубов и сочетают в себе надежность и эстетичность. Диоксид циркония активно применяется в стоматологии благодаря своей устойчивости к нагрузкам и способности имитировать естественную структуру зуба. Показания к установке циркониевой коронки: Диоксид циркония обладает высокой прочностью и устойчивостью к истиранию. Он не вызывает аллергических реакций и хорошо переносится тканями десны. В отличие от металлокерамики, циркониевые коронки не имеют металлического каркаса, поэтому отсутствует риск потемнения десневого края. Материал пропускает свет, что делает коронку визуально максимально близкой к натуральному зубу. Циркониевые коронки подходят как для жевательных, так и для передних зубов. В зоне улыбки они обеспечивают естественную прозрачность и цвет, а в боковых отделах выдерживают высокую
Оглавление

Что такое циркониевые коронки

Циркониевые коронки — это ортопедические конструкции, изготовленные из диоксида циркония, современного биосовместимого материала с высокой прочностью. Они используются для восстановления разрушенных зубов и сочетают в себе надежность и эстетичность.

Диоксид циркония активно применяется в стоматологии благодаря своей устойчивости к нагрузкам и способности имитировать естественную структуру зуба.

Когда устанавливают циркониевые коронки

Показания к установке циркониевой коронки:

  • Значительное разрушение зуба (невозможность восстановления пломбой или вкладкой).
  • Необходимость протезирования на имплантах.
  • Состояние после эндодонтического лечения (лечения корневых каналов, депульпирования), когда эмаль становится более хрупкой
  • Аллергические реакции на металлы и их сплавы (в отличие от металлокерамики, цирконий гипоаллергенен)..

Преимущества диоксида циркония

Диоксид циркония обладает высокой прочностью и устойчивостью к истиранию. Он не вызывает аллергических реакций и хорошо переносится тканями десны. В отличие от металлокерамики, циркониевые коронки не имеют металлического каркаса, поэтому отсутствует риск потемнения десневого края. Материал пропускает свет, что делает коронку визуально максимально близкой к натуральному зубу.

Эстетика и функциональность

Циркониевые коронки подходят как для жевательных, так и для передних зубов. В зоне улыбки они обеспечивают естественную прозрачность и цвет, а в боковых отделах выдерживают высокую жевательную нагрузку.

-2

Циркониевые коронки и импланты

Диоксид циркония широко используется при протезировании на имплантах. Коронка фиксируется на абатменте и формирует единую систему с имплантом. Правильная адаптация конструкции к прикусу снижает риск перегрузки и повышает срок службы всей реставрации.

Этапы установки циркониевой коронки

Лечение начинается с диагностики и подготовки зуба. После препарирования снимаются цифровые или традиционные слепки, на основе которых в лаборатории изготавливается индивидуальная коронка. Современные CAD/CAM технологии обеспечивают точность прилегания и анатомическую корректность формы. Завершающим этапом является фиксация коронки и проверка прикуса.

Срок службы и уход

Циркониевые коронки отличаются высокой долговечностью. При правильной установке и соблюдении рекомендаций они служат многие годы. Уход за такими коронками не отличается от ухода за собственными зубами и включает регулярную гигиену и профилактические осмотры. Контроль состояния десны и прикуса позволяет сохранить стабильность конструкции.

Возможные ограничения

Несмотря на преимущества, выбор коронки всегда определяется клинической ситуацией. При недостатке костной ткани, выраженных воспалительных процессах или нарушениях прикуса может потребоваться предварительное лечение.

Индивидуальный подход позволяет подобрать оптимальное решение для каждого пациента.

Вопросы и ответы

Чем циркониевая коронка лучше металлокерамики?
Она не содержит металл, обеспечивает более естественную эстетику и исключает риск потемнения десны.

-3

Можно ли ставить циркониевые коронки на жевательные зубы?
Да, материал выдерживает высокую нагрузку и подходит для боковых отделов.

Подходит ли циркониевая коронка для передних зубов?
Да, благодаря светопроницаемости материал обеспечивает естественный внешний вид.

Нужно ли особое обслуживание циркониевых коронок?
Нет, достаточно регулярной гигиены и профилактических визитов к стоматологу.