Добавить в корзинуПозвонить
Найти в Дзене
Виктория Кузнецова

Тихий саботаж: когда эндометриоз выходит за пределы матки

Все вы слышали об эндометриозе. Чаще всего это заболевание ассоциируется с болезненными месячными и проблемами с зачатием. Но что, если я скажу, что клетки, похожие на эндометрий, могут «путешествовать» по организму и находить себе новый дом в самых неожиданных местах?
Экстрагенитальный эндометриоз- это форма эндометриоза, при которой очаги располагаются за пределами половых органов (матки,

Все вы слышали об эндометриозе. Чаще всего это заболевание ассоциируется с болезненными месячными и проблемами с зачатием. Но что, если я скажу, что клетки, похожие на эндометрий, могут «путешествовать» по организму и находить себе новый дом в самых неожиданных местах?

Экстрагенитальный эндометриоз- это форма эндометриоза, при которой очаги располагаются за пределами половых органов (матки, яичников, маточных труб). Его иногда называют «великим маскарадом», потому что симптомы могут маскироваться под другие болезни, что приводит к годам неправильных диагнозов.

Где же может «поселиться» эндометриоз?

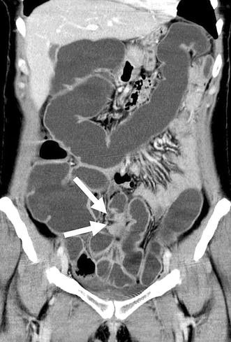
«Кишечный» эндометриоз (чаще всего поражает прямую и сигмовидную кишку)

  

Очаги имплантируются на стенке кишечника.

  -Симптомы:

   · Боли при дефекации, особенно во время месячных.

   · Циклические запоры или диарея (обостряются в менструальный период).

   · Кровь или слизь в стуле (во время менструации).

   · Вздутие и боли внизу живота.

«Мочевыделительный»эндометриоз (поражаются мочевой пузырь, мочеточники)

  · Очаги поражают стенку мочевого пузыря или, реже, мочеточники, что может нарушать отток мочи из почки.

 -Симптомы:

   · Частое, болезненное мочеиспускание.

   · Кровь в моче (гематурия), появляющаяся циклически.

   · Давление и боли в области мочевого пузыря.

-2

Эндометриоз легких и диафрагмы

  

Крайне редкая, но коварная форма. Очаги находятся на диафрагме или в легочной ткани.

  

-Симптомы:

   · Циклический пневмоторакс: внезапная боль в груди и одышка во время месячных (воздух в плевральной полости).

   · Циклический кашель с кровью (кровохарканье).

   · Боли в плече и подреберье.

-3

Эндометриоз рубца и пупка

  

 Очаги возникают в послеоперационном рубце (чаще после кесарева сечения) или в области пупка.

  

-Симптомы:

   · Образование узла, шишки в рубце или пупке.

   · Циклические боли, уплотнение и изменение цвета (синюшность) в этой области.

   · Кровянистые выделения из пупка или рубца во время менструации.

-4

-Эндометриоз пояснично-крестцового сплетения и седалищного нерва. Сопровождается циклической ишалгией. 

-Эндометриоз связочного аппарата, позади маточного пространства, пузырно-маточного пространства, брюшины, кожи и пжк. Хронические тазовые боли 

-Эндометриоз лимфатических узлов. Обычно бессимптомный. 

-Эндометриоз печени, селезенки, поджелудочной железы и даже конъюктивы глаза (который сопровождается, известными всем, кровавыми слезами)

-5

Главный принцип терапии это индивидуальный комплексный мультидисциплинарный подход. Хирургическое лечение - «золотой стандарт» для многих форм экстрагенитального эндометриоза. Цель- максимально полное и бережное удаление всех очагов с сохранением функции пораженного органа (шейвинг, резекция)

Цель медикаментозной же терапии - подавить менструальную функцию и «усыпить» очаги эндометриоза. Используются гормональные препараты: агонисты ГнРГ, прогестины, КОК, внутриматочная спираль с левоноргестрелом.

Оба метода используются в комплексе для максимально эффективного избавления пациента от проблемы. Однако «поиски» подобных форм эндометриоза все еще остаются затруднительными, а без выявления причины невозможна и адекватная терапия. Главный «красный флаг» для пациентов и врачей-появление новых симптомов, привязанных к менструальному циклу. Так что нужно быть внимательным даже к самым незначительным жалобам пациента, которые, казалось бы никак не связаны с гинекологией