Добавить в корзинуПозвонить
Найти в Дзене
Звезда Алтая

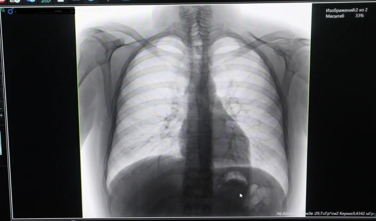
В Чойскую районную больницу поступил новый цифровой флюорограф

Модернизация первичного звена здравоохранения в Республике Алтай продолжается. На этот раз современное диагностическое оборудование получила Чойская больница — закупка проведена в рамках реализации национального проекта «Продолжительная и активная жизнь». Новый флюорограф позволяет выявлять туберкулез и другие пульмонологические заболевания на самых ранних стадиях, что критически важно для успешного лечения. Как отмечают специалисты, осложнения туберкулеза до сих пор остаются одной из частых причин смерти в мире, поэтому ежегодное прохождение флюорографии рекомендовано всем взрослым. Главный врач Татьяна Кандаракова подчеркнула: современный цифровой аппарат соответствует всем стандартам и давно ожидался медицинским учреждением. Его внедрение значительно повысит качество диагностики и доступность медицинской помощи для жителей района. Минздрав РА

В Чойскую районную больницу поступил новый цифровой флюорограф

Модернизация первичного звена здравоохранения в Республике Алтай продолжается. На этот раз современное диагностическое оборудование получила Чойская больница — закупка проведена в рамках реализации национального проекта «Продолжительная и активная жизнь».

Новый флюорограф позволяет выявлять туберкулез и другие пульмонологические заболевания на самых ранних стадиях, что критически важно для успешного лечения. Как отмечают специалисты, осложнения туберкулеза до сих пор остаются одной из частых причин смерти в мире, поэтому ежегодное прохождение флюорографии рекомендовано всем взрослым.

Главный врач Татьяна Кандаракова подчеркнула: современный цифровой аппарат соответствует всем стандартам и давно ожидался медицинским учреждением. Его внедрение значительно повысит качество диагностики и доступность медицинской помощи для жителей района.

Минздрав РА