Добавить в корзинуПозвонить
Найти в Дзене

Шатает в стороны, головокружения, падения при ходьбе

Шатает в стороны, нарушилась координация движений, плывет картинка перед глазами- иногда не так просто собрать пазл точного диагноза при таких жалобах
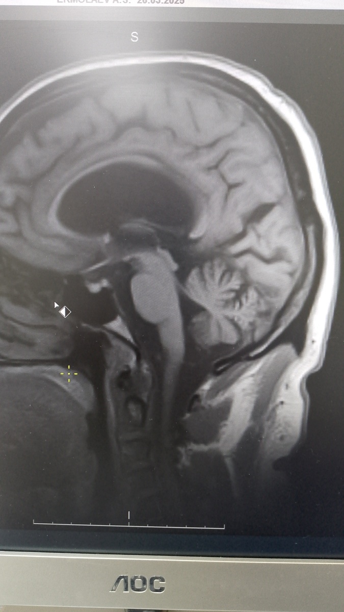
В феврале у меня были трое пациентов 50+, у которых это все было + у кого то были иные жалобы, но течение их заболевания не было похоже на выше описанное ПППГ и причина была другая- дегенеративное заболевание головного мозга. Это группа заболеваний

Шатает в стороны, нарушилась координация движений, плывет картинка перед глазами- иногда не так просто собрать пазл точного диагноза при таких жалобах

В феврале у меня были трое пациентов 50+, у которых это все было + у кого то были иные жалобы, но течение их заболевания не было похоже на выше описанное ПППГ и причина была другая- дегенеративное заболевание головного мозга. Это группа заболеваний с прогрессирующим течением, построенным нарастанием симптомов

На самом деле, эта тройка симптомов - повод , чтобы врачу в поиске диагноза следовать "от общего к частному" и такие ощущения вполне могут быть проявлениями анемии, сердечно- сосудистых заболеваний. Слишком они не специфичны

Но есть отдельная группа неврологических заболеваний - дегенеративные заболевания нервной системы. Начало может быть с такими симптомами, но с особенностями, иногда, яркими, а иногда менее заметными

✅ Прогрессирующее течение- за год- два симптомы нарастают

✅ Шаткость сопровождается падениями, которые могут быть в разных условиях- дома и на улице

✅ Изменения видят окружающие. Спрашивают и задают вопросы о самочувствии. В этом разница с ранее описанным ПППГ

✅ Изменилась речь. Некоторые звуки стали смазанными, появилась нечеткость в произношении

✅ Заметное снижение памяти. Не так чтобы +/- в одной поре за два года, а более прогрессивно, явно влияющее на повседневную активность

И это повод для обращения к неврологу. Если вы уже были (возможно, неоднократно), но эффекта от лечения нет, а симптомы прогрессируют- проконсультируйтесь у другого. Лучше если это будет специалист с соответствующими компетенциями. Большинство читают отзывы о врачах и информацию о таком специалисте всегда можно найти в описании его профиля (дегенеративные заболевания головного мозга, экстрапирамидные нарушения)

Я вижу очень много женщин 45+, которые приходят уже после нескольких курсов лечения у невролога, а жалобы те же: кружится голова, неустойчивость, шум в голове и почти всегда выясняется, что ключевая причина так и не была установлена, поэтому в своём Telegram-канале

Доктор Постников

я собрал:

* чек-лист обследований при головокружении

* разбор типичных ошибок лечения

* объяснения простым языком без медицинской путаницы

Здоровья вам. Ваш, доктор Постников