Не каждая клиника и не каждый врач возьмётся за переделку неудачного прикуса после другого специалиста. Это понятно, ведь повторная коррекция - это всегда более сложная история. Зубы уже перемещались, биомеханика изменена, могут присутствовать рецессии десны, потеря костной ткани, подвижность зубов, резорбция корней и другие осложнения, которых не было в самом начале пути. Это большая ответственность.
Сегодня я хочу рассказать об одном очень непростом случае - о пациентке, которая пришла к нам после восьми лет "лечения" на брекет-системе.
Молодая женщина, ей и 30 нет на сегодняшний день.
Когда она впервые появилась на горизонте нашего ортодонта Ксении Владимировны Снитковой, история уже была долгой. За плечами - годы ортодонтического лечения у другого специалиста, несколько хирургических (ортогнатическая хирургия) вмешательств по расширению верхней челюсти, брекеты.
Исходная ситуация была представлена скелетным третьим классом - нижняя челюсть выдвинута вперёд относительно верхней. Это не просто эстетическая особенность, это достаточно серьёзная аномалия прикуса, требующая комплексного подхода.
Ортодонтическая коррекция шла, операции делались, время проходило. Но в какой-то момент что-то пошло не так - несколько брекетов отвалились, лечение зашло в тупик. Пациентка пришла к Ксении Владимировне ещё в прошлую клинику сетевую (сейчас Ксения работает только в Parodent и о других вариантах слышать не желает) - поговорили, обсудили варианты. Доклеивать старые брекеты - не вариант, никто не скажет, как поведёт себя материал и что с ним происходило вообще. Ортодонт предложила элайнеры, никаких берекетов - ситуация подобна старой игре "сапёр". Шаг влево - провал.
Но пациентка тогда не решилась и пропала.
Весной 2025 она написала снова: - "Здравствуйте, я всё-таки надумала лечиться у вас". Пришла - всё с тем же расширителем на верхней челюсти, с остатками брекетов.
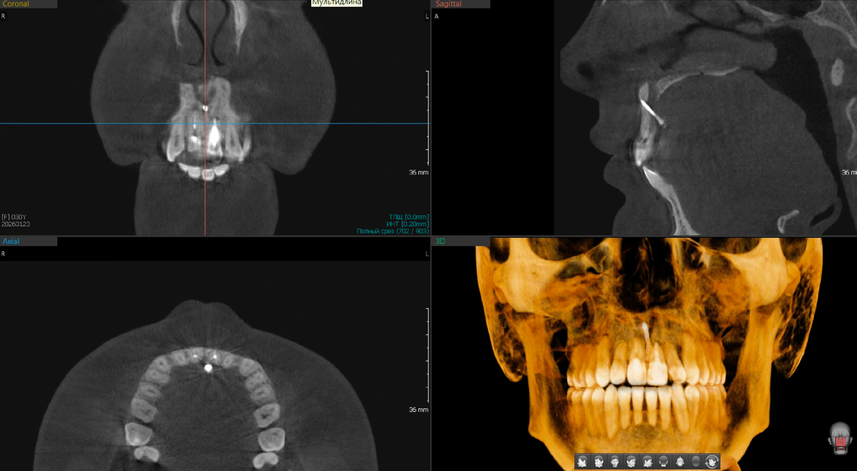
Состояние зубов на момент обращения
Вот что увидела ортодонт при просмотре снимка КТ:
От кортикальной пластинки кости (особенно в области резцов на нижней челюсти), от этой плотной наружной оболочки, которая удерживает зуб в лунке и обеспечивает стабильность - практически ничего не осталось. Костная ткань в критическом состоянии. Часть нижних резцов имела подвижность, корни оголены, корни резорбированы.
Это результат многолетнего процесса, в котором зубы перемещались снова и снова, кость не успевала восстанавливаться, а контроль за состоянием пародонта, судя по всему, был недостаточным. Ортодонтия - это не только про прямые зубы. Это про нагрузку на кость, про кровоснабжение, про здоровье тканей вокруг зуба. Когда этим пренебрегают, получается проблема той или иной степени тяжести.
Девушке нет тридцати лет. Это важно понимать - в таком возрасте у пациентки уже серьёзная потеря костной ткани и подвижные зубы. И вся жизнь впереди.
На скрине КТ выше в области резцового канала и "винта" костный дефицит. Возможно, так и было до ортогнатической операции. Возможно - не было. КТ до нет.
Брекеты и элайнеры - чем чревато слепое доверие ортодонту
Существует расхожее мнение - брекеты, всего-то, выравнивают зубы и, в целом, любой специалист справится с задачей. Это заблуждение, которое стоило многим пациентам очень дорого - и в прямом, и в переносном смысле.
Ортодонтия работает с живыми тканями. Брекет или элайнер - это инструмент давления на зуб, а через зуб - на кость и связочный аппарат. Неправильно выбранная механика, недостаточная диагностика, пропущенные проблемы с суставом - и вместо красивой улыбки пациент получает боли и изменеиния в структуре ВНЧС, рецессии дёсен, нестабильный результат, а иногда и потерю зубов.
Я знаю случаи (в нашу клинику приходили и писали такие пациенты), когда лечение начиналось, буквально, на первом же приёме, без какой-либо диагностики. Это практикуется не в подворотнях, а в симпатичных клиниках. Здесь и сейчас - пока пациент не ушёл подумать. Может же и невернуться. Ну и, закономерно, случаются осложнения - прежде всего со стороны височно-нижнечелюстного сустава. А если его структура повреждена, то он уже не восстановится и не "заживёт".
Диагностика в ортодонтии - почему мы никогда не ставим аппаратуру на первом приёме
В нашей клинике мы никогда не устанавливаем ортодонтическую аппаратуру сразу - на первом же визите только консультация и, максимум, диагностика. Это принципиальная позиция.
Потому что сначала нужно понять, что происходит.
Диагностика в ортодонтии - это не формальность и не способ заработать дополнительно. Это фундамент, без которого лечение строится вслепую.
Что входит в диагностику - это зависит от конкретного случая. Наши ортодонты каждый раз определяют необходимый объём индивидуально и никто не гонит всех пациентов по одному и тому же списку исследований, под гребёнку. Но в арсенале - конусно-лучевая компьютерная томография (КТ), телерентгенограмма (ТРГ), интраоральный скан зубных рядов, цифровой скан лица с записью и анализом движений нижней челюсти, аксиография для оценки работы височно-нижнечелюстного сустава, фотопротокольная съёмка на профессиональном оборудовании (пациенты шутят, что у нас техника получше, чем во многих фотосалонах и студиях).
Все собранные данные тщательно анализируются, сопоставляются между собой. Только после этого составляется предварительный план лечения - и только затем начинается сама ортодонтия, если всех всё устраивает. Такой подход обеспечивает точность, безопасность и прогнозируемый результат.
Скелетный третий класс и открытый прикус - план лечения на элайнерах после восьми лет брекетов
Рассказывает ортодонт Ксения Владимировна Сниткова, передаю слово ей (с моей адаптацией текста под формат блога).
Мы провели полную диагностику. Ситуация непростая - кортикальная кость в значительной степени утрачена, часть нижних резцов подвижна, прикус не смыкается как нужно. Скелетный третий класс - нижняя челюсть выдвинута вперёд, плюс последствия многолетнего лечения, которое не было доведено до конца.
На фронтальных зубах нижней челюсти брекеты вообще не ставились - судя по всему, предыдущий специалист понимал, что ситуация нестабильна и не рисковал. Это само по себе говорит о многом.
Наша задача на элайнерах - добиться правильного смыкания, стабильного и функционального. Будет красиво. Но, что важнее - будет надёжно и зубы "не вывалятся". Обещаю.
Решение работать с элайнерами, а не брекетами - вполне осознанное. В данном случае элайнеры дают более мягкую, контролируемую нагрузку на зубы, что критически важно при сниженном запасе костной ткани. Каждое перемещение просчитывается заранее в цифровой модели - без угадывания, без "посмотрим по ходу".
Сняли брекет-систему:
Отксанировали, отфотографировали и т.д, получили орто-чек.
Установили аттачменты и сдали элайнеры:
Вывод
Нормально и правильно, когда перед началом ортолечения проводится полноценная диагностика - это может занимать несколько недель. Когда специалист объясняет, что именно и почему он планирует делать, когда он всё рассказывает и показывает. Когда вам не ставят аппаратуру на первом же приёме. Когда врач говорит о рисках и ограничениях - а не только об идеальном результате на картинке.
Настораживать должно, когда лечение начинается немедленно, без снимков и без анализа. Когда цена подозрительно низкая, а сроки подозрительно короткие. Когда на ваши вопросы отвечают уклончиво или раздражённо.
Ортодонтия - это долгий процесс. Ходите на консультации, собирайте мнения, слушайте и смотрите. Вы должны довериться, почувствовать силу специалиста. Хотя, это тоже так себе совет, ошибаются и уверовавшие. Делать или не делать, верить или не верить, начинать или не начинать - каждый решает сам и сам несёт ответственность за свой выбор.
В общем, всем желаю удачи.
А продлжение, естественно, следует. После 8 лет придётся ещё года 1.5 находиться в ортодонтической аппаратуре. Но пациентка рада этому.
Видео по этому клиническому случаю:
Больше ортодонтических случаев в подборке:
Если вам интересны подобные клинические истории - подписывайтесь на канал Parodoctor в Telegram. Там я рассказываю о стоматологии без прикрас: сложные случаи, нестандартные решения и то, что остаётся за кадром обычного приёма. Именно там я отвечаю на вопросы подписчиков, привлекая к ответам врачей команды, если это требуется:
Завела канал в MAX, чтобы был, называется он Parodoctor:
С уважением, Лежачёва Наталия Александровна, хирург-пародонтолог и главный врач стоматологии Parodent, СПб.
