Найти в Дзене
N + 1

Мальчик умер от вызванного корью энцефалита через годы после заражения

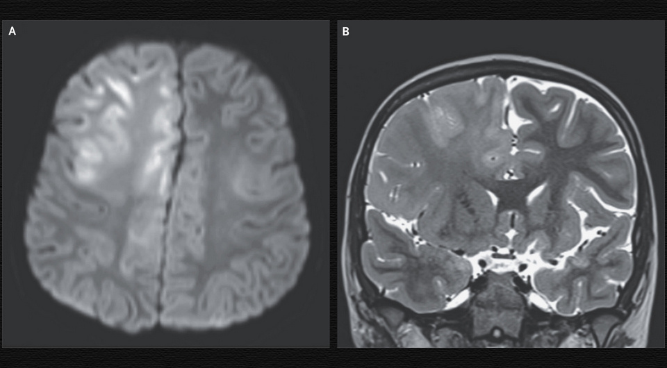
В американскую клинику третичной медицинской помощи поступил семилетний мальчик с когнитивным дефицитом и судорогами на протяжении трех месяцев. В возрасте семи месяцев он заразился корью во время проживания в Афганистане, где эта инфекция эндемична. При осмотре наблюдались неспособность говорить, диффузная гиперрефлексия и клонические судороги. На МРТ головы визуализировались отек и ограниченная диффузия в лобных долях мозга, которые охватывали кору и белое вещество и распространялись в мозолистое тело. На электроэнцефалограмме с обеих сторон определялись комплексы Радермекера — синхронные симметричные высокоамплитудные периодические разряды. Врачи Майкл Кунг (Michael Kung) и Джон Росс Кроуфорд (John Ross Crawford) из Калифорнийского университета в Ирвайне описали этот случай в The New England Journal of Medicine. Анализ спинномозговой жидкости выявил повышенный уровень общего иммуноглобулина G и оптическую плотность специфичного к кори иммуноглобулина G при иммуноферментном анализе 2

В американскую клинику третичной медицинской помощи поступил семилетний мальчик с когнитивным дефицитом и судорогами на протяжении трех месяцев. В возрасте семи месяцев он заразился корью во время проживания в Афганистане, где эта инфекция эндемична. При осмотре наблюдались неспособность говорить, диффузная гиперрефлексия и клонические судороги. На МРТ головы визуализировались отек и ограниченная диффузия в лобных долях мозга, которые охватывали кору и белое вещество и распространялись в мозолистое тело. На электроэнцефалограмме с обеих сторон определялись комплексы Радермекера — синхронные симметричные высокоамплитудные периодические разряды. Врачи Майкл Кунг (Michael Kung) и Джон Росс Кроуфорд (John Ross Crawford) из Калифорнийского университета в Ирвайне описали этот случай в The New England Journal of Medicine.

  Michael S. Kung, John Ross Crawford / NEJM, 2026
Michael S. Kung, John Ross Crawford / NEJM, 2026

Анализ спинномозговой жидкости выявил повышенный уровень общего иммуноглобулина G и оптическую плотность специфичного к кори иммуноглобулина G при иммуноферментном анализе 20,8 (при норме менее 1,1). Несмотря на атипичную МРТ-картину, мальчику поставили диагноз подострого склерозирующего панэнцефалита на основании анамнеза, результатов ЭЭГ и анализа спинномозговой жидкости. Это крайне тяжелое осложнение персистирующей инфекции вирусом кори представляет собой прогрессирующее нейровоспаление и нейродегенерацию. Оно может развиться через годы после острой инфекции и практически всегда летально, вакцинация тем не менее обеспечивает хороший профилактический эффект. Пациент скончался через год после появления первых симптомов.