Найти в Дзене
Parodoctor

Генетическая предрасположенность и съёмные протезы - верх не в наших силах, низ делаем - All-on-4

Увидела у подруги новый протез и счастливое лицо - тоже загорелась идеей заменить съёмное на "приколоченное" к челюсти. Так начиналась история пациентки, которой клинику порекомендовала подруга, уже прошедшая у нас полный цикл тотальной реабилитации и вовсю жующая постоянным протезом, прикрученным к имплантатам на верхней челюсти. Галина отправила снимки и всю необходимую информацию на почту клиники (схему запроса приложу в конце статьи). И стала ожидать решения. А решение было очень непростым... Посмотрите на скрины КТ верхней челюсти (листайте): Кости нет. Можно сказать прямо - альвеолярный отросток на грани исчезновения, то, что от него осталось, костью полноценной не назовёшь. Пациентка длительное время пользовалась съёмными протезами - полный съёмный на верхней челюсти, частичный - на нижней. Под давлением протезов кость атрофировалась. Не фигурально - объективно. Даже самые маленькие имплантаты некуда устанавливать. По верхней челюсти вердикт однозначный - за реабилитацией не к
Оглавление

Увидела у подруги новый протез и счастливое лицо - тоже загорелась идеей заменить съёмное на "приколоченное" к челюсти. Так начиналась история пациентки, которой клинику порекомендовала подруга, уже прошедшая у нас полный цикл тотальной реабилитации и вовсю жующая постоянным протезом, прикрученным к имплантатам на верхней челюсти.

Галина отправила снимки и всю необходимую информацию на почту клиники (схему запроса приложу в конце статьи).

И стала ожидать решения.

А решение было очень непростым...

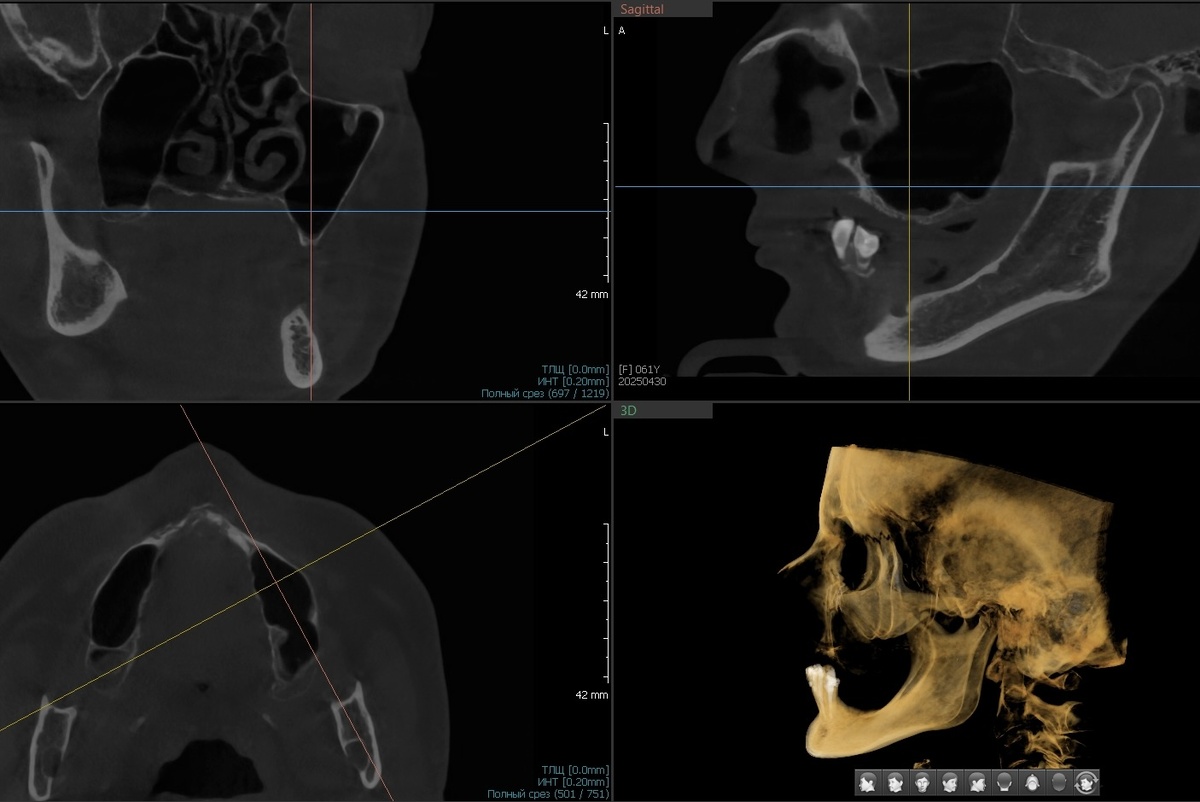
Тотальная атрофия верхней челюсти - когда кости нет вообще

Посмотрите на скрины КТ верхней челюсти (листайте):

Кости нет. Можно сказать прямо - альвеолярный отросток на грани исчезновения, то, что от него осталось, костью полноценной не назовёшь.

Пациентка длительное время пользовалась съёмными протезами - полный съёмный на верхней челюсти, частичный - на нижней. Под давлением протезов кость атрофировалась. Не фигурально - объективно. Даже самые маленькие имплантаты некуда устанавливать.

  • Синус-лифтинг? Бесполезно. Объём материала, который нужно заложить под мембрану - огромный. А кости нет. Значит, нет питания для того, чтобы подсаженный материал преобразовался в собственную кость. Не вывезет организм этого в данном случае.
  • Подсаживать костные блоки, ставить титановые сетки - нежизнеспособно по той же причине. Не прорастёт, не приживётся. Нет питания - нет шансов на адекватную реабилитацию.

Скуловые имплантаты (зигомы) - когда классическая имплантация невозможна

По верхней челюсти вердикт однозначный - за реабилитацией не к нам.

Здесь нужны скуловые имплантаты - длинные конструкции, которые устанавливаются в скуловую кость, минуя кости челюсти. Мы такие операции не проводим, пока что. Нужна ещё одна клиника для этого дела, в нашу не поместится операционная с полноценным наркозом. А без лицензии на анестезиологию и реаниматологию мы дже седацию делать не будем, это противозаконно и чревато. Но мы движемся в нужном направлении.

Честно сказать пациенту "мы не можем помочь" - это тоже часть работы. Не всё можно сделать здесь и/или сейчас.

Нижняя челюсть - зубы на честном слове, но шанс есть

На нижней челюсти сохранились фронтальные зубы:

Нижняя челюсть
Нижняя челюсть

"Сохранились" - громко сказано, конечно. Кости нет, держатся на честном слове:

КТ нижней челюсти до
КТ нижней челюсти до

Спасать такое - не вариант точно. Не перспективно. И так всё, что можно было из ситуации "выжать", кто-то выжал - шинирование, например, было выполнено.

По-хорошему, и нижнюю челюсть оперировать лучше в другом месте, вместе с верхней.

Но пациентка была настроена решительно - пусть на верхней челюсти остаётся прежний съёмный протез. Но, если есть возможность реабилитировать низ на несъёмной конструкции у нас - она воспользуется этой возможностью.

Никуда больше идти не желает.

Предварительный визит

Врач долго думал, составлял план, переделывал. Ситуация нестандартная, решение должно быть выверенным. Всё всегда, каждый раз, каждый клинический случай - всё индивидуально и готового шаблона для всех нет.

Назначили личную консультацию, нужно было лично (так точно надёжно) собрать необходимые данные для чёткого расчёта. На приём прилетели обе подруги - и счастливая обладательница постоянного протеза, и её протеже, рассчитывающая на помощь.

Мы работаем строго в цифровом протоколе - даже для установки одиночного имплантата. Это незыблемое правило. Собрали все цифровые данные, составили полноценный план, напечатали иммедиат-протез. Пациент после операции уже не выходит из клиники без зубов - это тоже правило.

После, опять в дистанционом формате, окончательно всё обговорили, всё утвердили. Тоталу на нижней челюсти - быть.

Через куратора врач назначил дату операции, выдали список обследований и анализов.

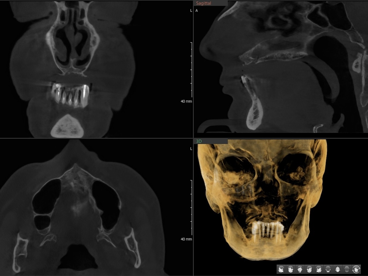
All-on-4 на нижней челюсти - удаление зубов, резекция гребня, установка имплантатов

Пациентка явилась в назначенное время. Измерили давление - ещё один важнейший обязательный пункт.

Удалили несостоятельные зубы на нижней челюсти, провели резекцию альвеолярного гребня - создали ровную костную площадку. Установили 4 имплантата по протоколу All-on-4 (для большего количества нет кости, но и этого для человека достаточно):

All-on-4, нижняя челюсть
All-on-4, нижняя челюсть

Сразу же прикрутили к свежим имплантатам временный иммедиат-протез:

Кусать им нельзя - он несёт другие важные для пациента (и для нас) функции. По нашим протоколам такой протез обязателен.

Через 3-14 дней - следующий этап. Временный адаптационный протез длительного ношения с индивидуальной титановой балкой:

С ним нужно жить от 6 месяцев.

Съёмный протез сверху, несъёмный снизу - рабочий компромисс

Протез на верхней челюсти остался прежний - съёмный.Но он нижним протезом не сбивается, пациентке комфортно.

Всё хорошо - по прикусу, по удобству, по ощущениям.
-8

Да, это не идеальный сценарий. Идеальный - это когда мы реабилитируем обе челюсти и человек уходит с полным ртом несъёмных зубов. Но медицина - это не про идеальное. Это про возможное и невозможное в конкретной ситуации.

Вывод

Не каждый клинический случай мы можем решить, пока что. Не каждую кость можно нарастить - факт. Поэтому и существуют методики Всё на Х. Но даже она не всесильна и, случается, что требуется нечто более радикальное.

Если есть возможность помочь - мы помогаем. Одна челюсть на несъёмном протезе - это уже другое качество жизни.

Считаю, что наши тотальные имплантолого-ортопедические работы, действительно, стоят того, чтобы за ними ехать, лететь, верить в успех. Но, конечно же, время покажет - а я покажу вам результаты спустя время. 5-10-15-25 лет - верю, что всё будет хорошо и с работами, и с блогом. Ну и мы с вами будем в здравии, надеюсь.

Почему-то нет сомнений, что всё будет хорошо.

Больше материалов по теме тотальных работ и всего, что с ними связано:

Тотальные работы на имплантатах. | Parodoctor | Дзен

Вопросы задавайте в моём Telegram-канале - там я их точно увижу и отвечу. В Дзене сотни комментариев под сотнями статей и я физически не успеваю всё мониторить - не смотрю и не отвечаю, никого не удаляю (все вопросы к Дзен, обиды направляйте площадке, пожалуйста). В Telegram все вопросы в одном месте, удобно отвечать, можно фото прикрепить. Так что жду в тг:

Parodoctor

Завела канал в MAX, чтобы был, называется он Parodoctor:

Parodoctor

С уважением, Лежачёва Наталия Александровна, хирург-пародонтолог и главный врач стоматологии Parodent, СПб.