Найти в Дзене
АрхиМед

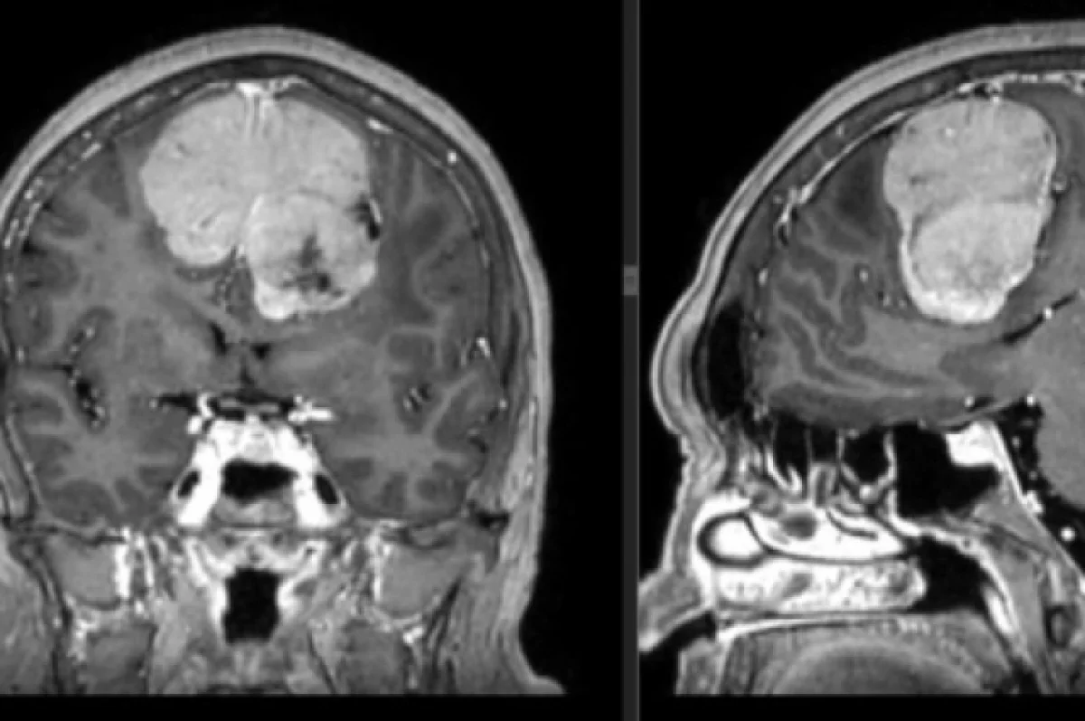
Разработан метод «химической хирургии» для удаления опухолей мозга без разрезов

Учёные представили технологию, позволяющую точечно растворять злокачественные клетки в головном мозге, вводя целевой препарат через естественные барьеры организма. Суть метода: Пациенту внутривенно вводится препарат-«ключ», состоящий из двух компонентов. Первый компонент — наночастицы, способные проникать через гематоэнцефалический барьер и избирательно связываться только с рецепторами раковых клеток. Второй компонент — биологически инертное вещество, которое становится смертельным для опухоли только при соединении с наночастицами. «Сборка» токсина происходит непосредственно на мембране злокачественной клетки, что вызывает её мгновенный лизис (растворение). Здоровые нейроны при этом не затрагиваются. Результат: В клинических испытаниях у пациентов с глиобластомой применение метода привело к уменьшению неоперабельных опухолей на 60–70% за один курс. Побочные эффекты, характерные для химиотерапии, отсутствовали. Метод открывает новые возможности для лечения глубоких и диффузных новооб

Учёные представили технологию, позволяющую точечно растворять злокачественные клетки в головном мозге, вводя целевой препарат через естественные барьеры организма.

Суть метода: Пациенту внутривенно вводится препарат-«ключ», состоящий из двух компонентов. Первый компонент — наночастицы, способные проникать через гематоэнцефалический барьер и избирательно связываться только с рецепторами раковых клеток. Второй компонент — биологически инертное вещество, которое становится смертельным для опухоли только при соединении с наночастицами. «Сборка» токсина происходит непосредственно на мембране злокачественной клетки, что вызывает её мгновенный лизис (растворение). Здоровые нейроны при этом не затрагиваются.

Результат: В клинических испытаниях у пациентов с глиобластомой применение метода привело к уменьшению неоперабельных опухолей на 60–70% за один курс. Побочные эффекты, характерные для химиотерапии, отсутствовали. Метод открывает новые возможности для лечения глубоких и диффузных новообразований мозга, где традиционная хирургия бессильна, а лучевая терапия опасна.