Найти Π² Π”Π·Π΅Π½Π΅

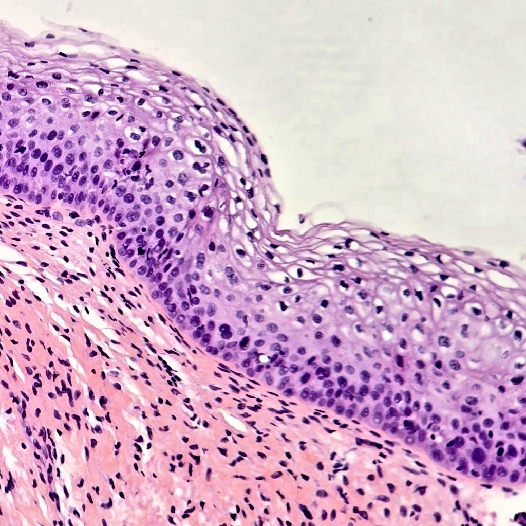
πŸ”¬ LSIL

ΠŸΠΎΠ²Π΅Ρ€Ρ…Π½ΠΎΡΡ‚Π½Ρ‹Π΅ слои многослойного плоского эпитСлия шСйки ΠΌΠ°Ρ‚ΠΊΠΈ с ΠΊΠΎΠΉΠ»ΠΎΡ†ΠΈΡ‚Π°ΠΌΠΈ, Ρ…Π°Ρ€Π°ΠΊΡ‚Π΅Ρ€ΠΈΠ·ΡƒΡŽΡ‰ΠΈΠΌΠΈΡΡ Π³ΠΈΠΏΠ΅Ρ€Ρ…Ρ€ΠΎΠΌΠ½Ρ‹ΠΌΠΈ ядрами, Π½Π΅Ρ€ΠΎΠ²Π½ΠΎΡΡ‚ΡŒΡŽ ядСрной ΠΌΠ΅ΠΌΠ±Ρ€Π°Π½Ρ‹ ΠΈ ΠΏΠ΅Ρ€ΠΈΠ½ΡƒΠΊΠ»Π΅Π°Ρ€Π½ΠΎΠΉ Π·ΠΎΠ½ΠΎΠΉ просвСтлСния. #гистология #lsil

πŸ”¬ LSIL

ΠŸΠΎΠ²Π΅Ρ€Ρ…Π½ΠΎΡΡ‚Π½Ρ‹Π΅ слои многослойного плоского эпитСлия шСйки ΠΌΠ°Ρ‚ΠΊΠΈ с ΠΊΠΎΠΉΠ»ΠΎΡ†ΠΈΡ‚Π°ΠΌΠΈ, Ρ…Π°Ρ€Π°ΠΊΡ‚Π΅Ρ€ΠΈΠ·ΡƒΡŽΡ‰ΠΈΠΌΠΈΡΡ Π³ΠΈΠΏΠ΅Ρ€Ρ…Ρ€ΠΎΠΌΠ½Ρ‹ΠΌΠΈ ядрами, Π½Π΅Ρ€ΠΎΠ²Π½ΠΎΡΡ‚ΡŒΡŽ ядСрной ΠΌΠ΅ΠΌΠ±Ρ€Π°Π½Ρ‹ ΠΈ ΠΏΠ΅Ρ€ΠΈΠ½ΡƒΠΊΠ»Π΅Π°Ρ€Π½ΠΎΠΉ Π·ΠΎΠ½ΠΎΠΉ просвСтлСния.

#гистология #lsil