Найти в Дзене

Проверьте свою интуицию!!!

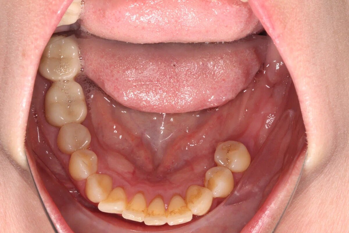
Как думаете, сколько лет длилась эта трансформация? Полгода, год, 2 года? Нет. Целых 4 года мы планомерно шагали к цели. С одной стороны, это долго, с другой - поставьте себя на место пациента, который никуда не торопится и которому такой график комфортен. Распределятся финансовая нагрузка, не надо ходить в клинику как на работу, есть время отдохнуть между процедурами. Да у человека вообще нет чувства, что он усердно, интенсивно, затратно занимается зубами. А улыбка в это время потихоньку выздоравливает. Пациентка пришла к нам в 21-м году. Мы сразу принялись за коррекцию прикуса. Лечение длилось долго, и причину вы можете увидеть на фото - 5 зубов давно покинули свои места. Ведь в чём заключается ортодонтическое лечение? В перемещении зубов в нужную нам позицию. А чтобы зубы перемещать, мы должны создать определенную тягу в нужном направлении. Здесь же у нас был дефицит точек опоры. “Схватиться не за что”. Тем не менее процесс шёл, и главное - он шёл так, как нам надо в плане выстраива

Как думаете, сколько лет длилась эта трансформация?

Полгода, год, 2 года? Нет. Целых 4 года мы планомерно шагали к цели. С одной стороны, это долго, с другой - поставьте себя на место пациента, который никуда не торопится и которому такой график комфортен. Распределятся финансовая нагрузка, не надо ходить в клинику как на работу, есть время отдохнуть между процедурами. Да у человека вообще нет чувства, что он усердно, интенсивно, затратно занимается зубами. А улыбка в это время потихоньку выздоравливает.

Пациентка пришла к нам в 21-м году. Мы сразу принялись за коррекцию прикуса. Лечение длилось долго, и причину вы можете увидеть на фото - 5 зубов давно покинули свои места. Ведь в чём заключается ортодонтическое лечение? В перемещении зубов в нужную нам позицию. А чтобы зубы перемещать, мы должны создать определенную тягу в нужном направлении. Здесь же у нас был дефицит точек опоры. “Схватиться не за что”.

Тем не менее процесс шёл, и главное - он шёл так, как нам надо в плане выстраивания окклюзии. Наши ортодонты - профи, и им подчиняются любые прикусы.

В 23-м году мы начали заниматься хирургическими манипуляциями: костная пластика, установка имплантов, удаление зубов, которые необходимо было удалить. К марту 24-го пациентка обзавелась временными коронками на имплантатах. При этом коррекция прикуса ещё длилась: брекеты не помеха ни для имплантации, ни для временных коронок, главное, чтобы основной пласт ортодонтических перемещений уже произошел.

-3

Параллельно пациенткой занимался пародонтолог, так как картина в исходной ситуации осложнялась рецессиями десны и убылью костной тканью. Пластика десны и системное лечение пародонта остановили патологические процессы.

В 25-м году на смену временным коронкам пришли постоянные. В декабре закончили лечение фиксацией керамических реставраций, изготовили ретенционные капы, сделали контрольные снимки.

За эти годы постепенно к нам пришли лечиться все члены семьи пациентки. Так обычно это и происходит, но мы всегда расцениваем это как самую высокую оценку нашего подхода к людям.

Впереди у нас контрольные осмотры, чистки, теплота встреч и радость от того, как надежно служит новая улыбка.