Добавить в корзинуПозвонить
Найти в Дзене
Parodoctor

Дистальный прикус, узкие челюсти, вогнутый профиль, зубы наклонены внутрь - как удалось избежать операции

Я рада, что ортодонтия существует. "Для красоты", "с жиру бесятся", "деньги некуда девать" - сторонние люди пусть думают, что душе угодно. Те, кто так говорит, вероятно не сталкивались лицом к лицу с патологиями прикуса, когда ортодонтия - это, в первую очередь, не про красоту. Это про возможность нормально жевать, дышать и не потерять зубы к тридцати. Вот один такой случай. И я не могу дотерпеть до финиша (который случится месяцев через 8-12) - настолько хочу поделиться уже имеющимся результатом. К Ксении Владимировне Снитковой пришла девочка-подросток. Дистальный прикус - нижняя челюсть в заднем положении: Сагиттальная щель между верхними и нижними зубами: Верхние зубы выдвинуты вперед, нижние - далеко позади. Они не смыкаются, нижние резцы упираются в нёбо. Жить с таким прикусом - это не "некрасиво". Это отсутствие банальной возможности нормально откусывать пищу. Это перегрузка жевательных зубов, которые компенсируют то, что передние не работают. Это проблемы с суставом. Это путь
Оглавление

Я рада, что ортодонтия существует.

"Для красоты", "с жиру бесятся", "деньги некуда девать" - сторонние люди пусть думают, что душе угодно. Те, кто так говорит, вероятно не сталкивались лицом к лицу с патологиями прикуса, когда ортодонтия - это, в первую очередь, не про красоту. Это про возможность нормально жевать, дышать и не потерять зубы к тридцати.

Вот один такой случай. И я не могу дотерпеть до финиша (который случится месяцев через 8-12) - настолько хочу поделиться уже имеющимся результатом.

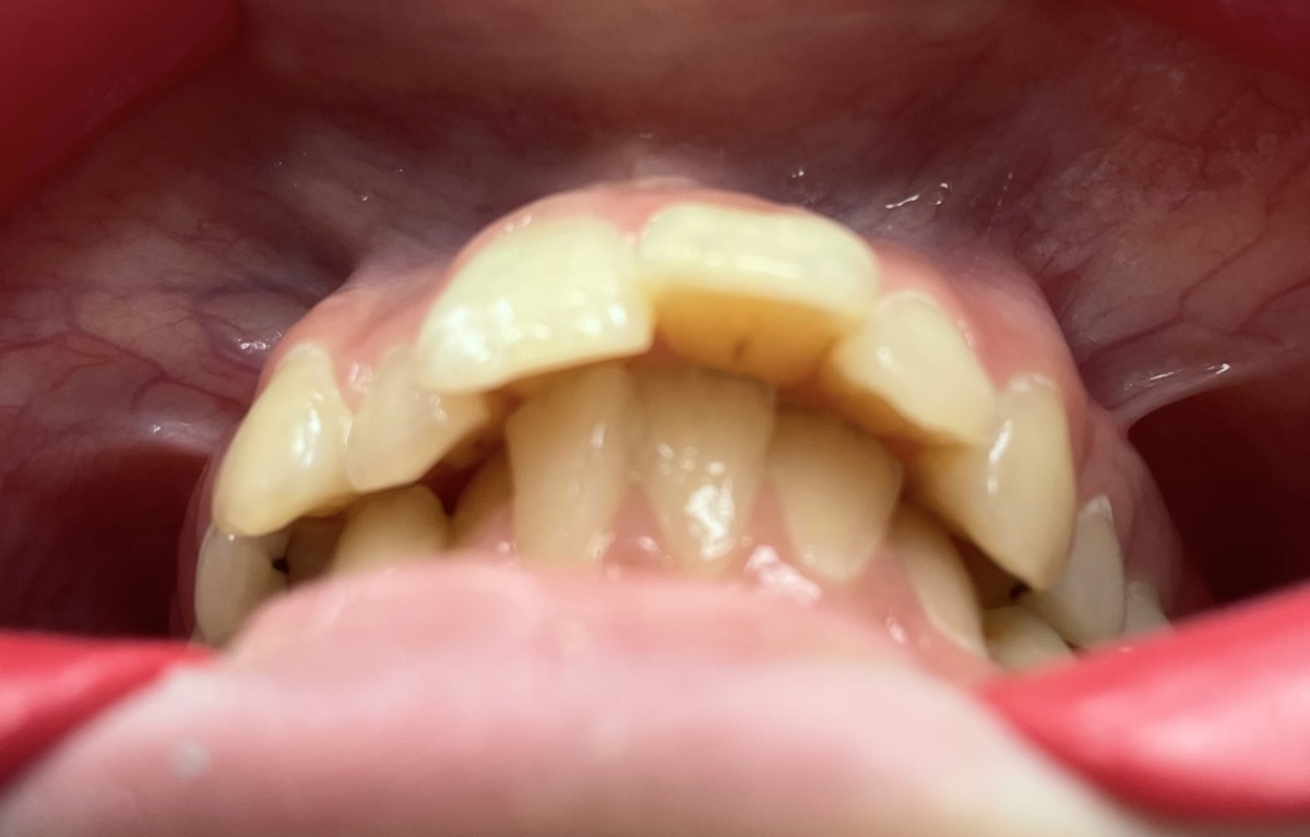
Дистальный прикус у подростка - щель между передними зубами

К Ксении Владимировне Снитковой пришла девочка-подросток.

Дистальный прикус
Дистальный прикус

Дистальный прикус - нижняя челюсть в заднем положении:

  1. суставные головки смещены назад;
  2. вогнутый профиль лица;
  3. смещение центральных линий;
  4. зубы на разной высотые;
  5. наклон зубов внутрь - признак сужения обеих челюстей.

Сагиттальная щель между верхними и нижними зубами:

Саггитальная щель
Саггитальная щель

Верхние зубы выдвинуты вперед, нижние - далеко позади. Они не смыкаются, нижние резцы упираются в нёбо.

Жить с таким прикусом - это не "некрасиво". Это отсутствие банальной возможности нормально откусывать пищу. Это перегрузка жевательных зубов, которые компенсируют то, что передние не работают. Это проблемы с суставом. Это путь к разрушению зубов. Всё это - не ужастики, а реальная перспектива.

Профиль дистального пациента - как лицо выглядит со стороны

На фотографии в профиль - типичная картина дистального прикуса. Посмотрите внимательно:

Профиль похож на мой, у меня глубокое резцовое перекрытие, в элайнерах хожу
Профиль похож на мой, у меня глубокое резцовое перекрытие, в элайнерах хожу

Нижняя треть лица будто "утоплена" назад. Подбородок не на одной линии с верхней губой и носом, а позади. Профиль вогнутый - если мысленно провести прямую от лба через нос к подбородку, средняя часть лица будет выступать, а нижняя - проваливаться.

Это и есть заднее положение нижней челюсти. Она не "маленькая" - она сдвинута назад. Вместе с ней назад уходят суставные головки в височно-нижнечелюстном суставе и это отдельная проблема, ведь сустав работает в неправильном положении. Он перегружается.

Такой профиль не исправляется филлерами и операцией на мягких тканях (хотя люди упорно пытаются сбиться с верного пути реабилитации). Такое не маскируется макияжем. Это скелетная проблема, которая решается либо ортодонтией (у подростков, пока есть потенциал роста), либо ортогнатической хирургией (у взрослых).

Ортогнатическая операция или брекеты - у детей и подростков может быть выбор

Такой объём патологии - это, по-хорошему, хирургический случай. Ортогнатическая операция - распилить челюсть, выдвинуть, зафиксировать в правильном положении.

Но пациентка - подросток. Кости ещё растут и есть варианты избежать серьёзного вмешательства в целостность организма.

У детей и подростков есть преимущество - потенциал роста. То, что у взрослого можно исправить только хирургически, у ребёнка иногда удаётся скорректировать ортодонтически - если грамотно поймать момент.

Ксения Владимировна взялась за девочку и оказалась права.

Удаление премоляров и ретракция зубов - как создали место для перемещения

Места во рту катастрофически не хватало, даже с учётом удаления 8 зубов.

Зубы наклонены внутрь, челюсти сужены - нужно было где-то найти пространство для перемещения.

Решение в данном конкретном случае, увы, одно - удаление премоляров. По терапевтическим показаниям выбрали четвёрки на верхней челюсти, так как именно они были в худшем состоянии. На нижней челюсти в более плохом состоянии были пятёрки, их и убрали. Удалили по паре премоляров на обеих челюстях и открыли дорогу для ретракции (перемещения зубов назад), коррекции наклона и выстраивания правильных соотношений.

Первой установили брекет-систему на верхнюю челюсть. Верх находился в системе около полугода, прежде чем подключили нижнюю. Это осознанная тактика при таком дистальном соотношении - важно сначала начать работу с верхней челюстью, подготовить её и, только потом, подключать челюсть нижнюю.

Результат через полтора года

Сейчас пациентка в брекетах около полутора лет. Лечение ещё далеко не закончено - впереди ещё 8–12 месяцев активной работы.

Но то, что уже произошло за это время - лично меня впечатляет.

-5

Да, фотографии "до" были сделаны на телефон, Ксения Владимировна устанавливала аппаратуру в другой клинике, когда работала не только в Parodent. Поэтому качество фото оставляет желать лучшего. Зато свежие фотографии сделали уже по всем правилам.

-6

И отдельно на зубные ряды поглядим, листайте:

Пломбы будут менять после ортодонтического этапа и, скорее всего, не в нашей клинике - вряд ли коррекция прикуса закончится позже достижения пациенткой 18 лет. А мы детской терапией, хирургией и ортодонтией не занимаемся.

Этот случай - наглядный пример пользы аппаратуры для всех тех, кто считает брекеты блажью.

Дистальный прикус с большой сагиттальной щелью - это функциональная патология. Без лечения зубы продолжат разрушаться от перегрузки, сустав пострадает в перспективе. Проблемы будут нарастать с возрастом неизбежно.

Ортодонтия здесь - не косметическая процедура. Это лечение, которое меняет биомеханику всей зубочелюстной системы.

Вывод

Дистальный прикус у подростка - случай, который, по-хорошему, требует челюстно-лицевой хирургии. Но потенциал роста позволил работать ортодонтически и обойтись без операции.

Впереди ещё 8-12 месяцев. Обязательно покажу финал.

Не могу не добавить.

Ортодонты с золотыми руками - от всей души благодарю за ваш труд. Исправлять, не портя - это дар, опыт, настоящий талант.

Это невероятно сложная работа. Каждый миллиметр перемещения просчитан. Каждая дуга подобрана. Каждый визит - продуманные действия, рассчитанная корректировка курса. Месяцы и годы ювелирной работы, которая превращает патологию в норму.

Больше ортодонтических статей в подборке:

Ортодонтические варианты | Parodoctor | Дзен

Вопросы задавайте в моём Telegram-канале - там я их точно увижу и отвечу. В Дзене сотни комментариев под сотнями статей и я физически не успеваю всё мониторить - не смотрю и не отвечаю, никого не удаляю (все вопросы к Дзен, обиды направляйте площадке, пожалуйста). В Telegram все вопросы в одном месте, удобно отвечать, можно фото прикрепить. Так что жду в тг:

Parodoctor

Завела канал в MAX, чтобы был, называется он Parodoctor:

max.ru

С уважением, Лежачёва Наталия Александровна, хирург-пародонтолог и главный врач стоматологии Parodent, СПб.