Добавить в корзинуПозвонить
Найти в Дзене

Нижегородские врачи разрабатывают ИИ для лечения черепно-мозговых травм

В Нижнем Новгороде создают интеллектуальную систему, которая будет помогать врачам при лечении пациентов с тяжёлыми черепно-мозговыми травмами. Разработка предназначена для работы в самый сложный период — сразу после травмы и в первые часы госпитализации.
О проекте рассказал главный редактор МИА «Стационар-Пресс» Алексей Никонов. По его словам, ИИ-помощник будет анализировать данные мультиспиральной компьютерной томографии головного мозга и сопоставлять их с цифровыми признаками резкого ухудшения состояния пострадавших.
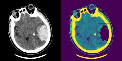
В основе системы уже создан алгоритм анализа МСКТ-снимков. Он позволяет точно определять объём и расположение сложных внутричерепных гематом, а также локализацию повреждений, которые могут угрожать жизни пациента.
Как сообщил нейрохирург Нижегородской областной клинической больницы имени Н. А. Семашко Артём Копылов, разработку дополнят цифровой шкалой оценки тяжести состояния пострадавших. Она будет использоваться ещё на догоспитальном этапе и в первые часы
Оглавление

Нижегородские врачи разрабатывают ИИ для лечения черепно-мозговых травм

Интеллектуальная система поможет медикам быстрее принимать решения в экстренных случаях.

В Нижнем Новгороде создают интеллектуальную систему, которая будет помогать врачам при лечении пациентов с тяжёлыми черепно-мозговыми травмами. Разработка предназначена для работы в самый сложный период — сразу после травмы и в первые часы госпитализации.

О проекте рассказал главный редактор МИА «Стационар-Пресс» Алексей Никонов. По его словам, ИИ-помощник будет анализировать данные мультиспиральной компьютерной томографии головного мозга и сопоставлять их с цифровыми признаками резкого ухудшения состояния пострадавших.

В основе системы уже создан алгоритм анализа МСКТ-снимков. Он позволяет точно определять объём и расположение сложных внутричерепных гематом, а также локализацию повреждений, которые могут угрожать жизни пациента.

Как сообщил нейрохирург Нижегородской областной клинической больницы имени Н. А. Семашко Артём Копылов, разработку дополнят цифровой шкалой оценки тяжести состояния пострадавших. Она будет использоваться ещё на догоспитальном этапе и в первые часы лечения — именно тогда особенно важно не терять время.

Над проектом работает междисциплинарная команда нейрохирургов и учёных. В неё входят специалисты областной клинической больницы, Приволжского исследовательского медицинского университета, а также научные сотрудники Института прикладной физики Российской академии наук.

Разработчики подчёркивают, что ИИ не заменит врача, а станет инструментом поддержки при принятии сложных клинических решений. Это особенно важно при тяжёлых ДТП и массовых поступлениях пострадавших.

Проект реализуется при поддержке Фонда содействия инновациям. В перспективе технология может быть внедрена не только в Нижегородской области, но и в других регионах страны.

Ранее в новостях:

Нижегородская область вошла в топ-10 регионов по продажам лекарств

Минздрав упростит аккредитацию для медиков из Нижнего Новгорода

Фото: t.me/presseco