Найти в Дзене

«Зуб вывернут» — это лечится? Отвечает ортодонт

Иногда на приёме у врача-ортодонта пациент впервые слышит непонятное слово — «тортоаномалия». Звучит как диагноз из научного журнала, но на деле речь идёт о вполне распространённой ситуации: зуб просто повёрнут вокруг своей оси. Это не болезнь и не приговор — а особенность, которую можно и нужно корректировать. В этой статье врач-ортодонт ПРАЙМа Олеся Викторовна Кондрашова gростым языком объясняет, почему возникает тортоаномалия, чем она опасна и как вернуть зубам правильное положение. - Олеся Викторовна, что такое тортоаномалия и как она проявляется? - Слово «тортоаномалия» состоит из двух частей: латинского «tortus»— «закрученный» и греческого «anomalia» — «отклонение от нормы». Проще говоря, это когда зуб «смотрит» не туда, куда должен. Тортоаномалия — это патология прикуса, при которой положения зуба меняются по вертикали, вокруг своей оси. Поворот зуба бывает разной степени: от нескольких градусов до 90˚. В редких случаях он может достигать 180˚, из-за чего передняя поверхность зу

Иногда на приёме у врача-ортодонта пациент впервые слышит непонятное слово — «тортоаномалия». Звучит как диагноз из научного журнала, но на деле речь идёт о вполне распространённой ситуации: зуб просто повёрнут вокруг своей оси. Это не болезнь и не приговор — а особенность, которую можно и нужно корректировать.

В этой статье врач-ортодонт ПРАЙМа Олеся Викторовна Кондрашова gростым языком объясняет, почему возникает тортоаномалия, чем она опасна и как вернуть зубам правильное положение.

Олеся Викторовна ведёт приём в филиале на Бирюзова, 28а.
Олеся Викторовна ведёт приём в филиале на Бирюзова, 28а.

- Олеся Викторовна, что такое тортоаномалия и как она проявляется?

- Слово «тортоаномалия» состоит из двух частей: латинского «tortus»— «закрученный» и греческого «anomalia» — «отклонение от нормы». Проще говоря, это когда зуб «смотрит» не туда, куда должен.

Тортоаномалия — это патология прикуса, при которой положения зуба меняются по вертикали, вокруг своей оси. Поворот зуба бывает разной степени: от нескольких градусов до 90˚. В редких случаях он может достигать 180˚, из-за чего передняя поверхность зуба оказывается обращённой внутрь.

- У кого чаще встречается тортоаномалия — у детей или взрослых?

- Чаще всего она возникает в детском возрасте, во время смены молочных зубов на постоянные (примерно в 6–7 лет).

Молочные зубы обычно растут ровно и плотно, без промежутков, что очень радует родителей. И в этом возрасте крайне редко можно встретить аномалии зубочелюстной системы.

В период сменного прикуса многие родители начинают озадачиваться: на смену аккуратным молочным зубам приходят постоянные — значительно более крупные, и им зачастую просто не хватает места в ещё маленькой челюсти. Из-за этого они могут прорезываться под углом или поворачиваться вокруг своей оси — так появляется тортоаномалия.

Хочу сразу успокоить родителей: почти все постоянные зубы сначала прорезываются под углом — им пока не хватает места. Молочный зуб ещё не выпал, а постоянному уже пора выходить, поэтому он «ищет» свободное пространство, где слизистая тоньше или есть хоть немного пространства.

У взрослых тортоаномалия, как правило, сохраняется с детства, если лечение не проводилось. Иногда она развивается позже — например, из-за дефицита места в зубном ряду, прорезывания зубов мудрости или длительного отсутствия зуба, из-за чего соседние зубы смещаются и поворачиваются.

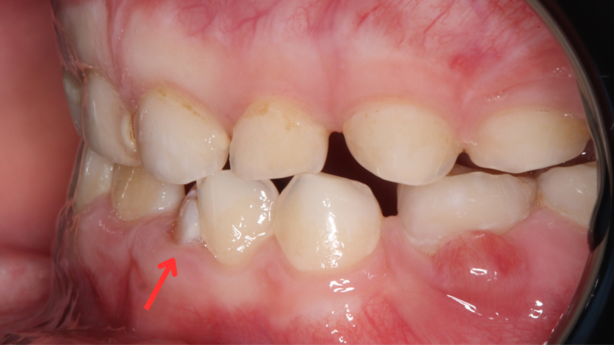
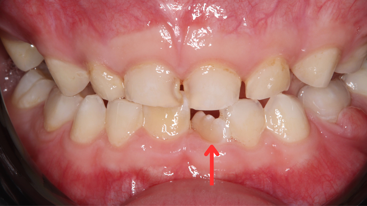
Тортоаномалия чаще всего возникает у детей в период сменного прикуса.
Тортоаномалия чаще всего возникает у детей в период сменного прикуса.

- Почему возникает патология?

- Основная причина — дефицит места в зубном ряду. Как мы уже говорили выше, постоянные зубы всегда крупнее молочных. Если между молочными зубами нет промежутков и наблюдается сужение зубных рядов, то пространства для правильного прорезывания просто не хватает.

К другим распространённым причинам относятся:

📍 неправильное положение зачатка зуба,

📍 наличие сверхкомплектных (лишних) зубов,

📍 ранняя потеря молочного зуба, из-за которой соседние зубы смещаются и занимают его место ,

📍 макродентия (аномально крупные зубы),

📍 вредные привычки (кусание ручки, карандаша, губ, сосание пальца).

- Какие зубы чаще всего подвержены повороту вокруг своей оси?

- В большинстве случаев тортоаномалия возникает у однокорневых зубов — в первую очередь у резцов и клыков верхней и нижней челюсти. Нередко аномалия встречается и у премоляров.

- Какие последствия влечёт за собой игнорирование аномалии?

- Любая аномалия положения зубов может привести к негативным последствиям. Когда зубы стоят неровно — особенно если таких несколько и они повёрнуты под разными углами — между ними легко застревает пища, а качественно почистить такие участки становится крайне сложно.

В результате постоянно скапливается мягкий зубной налёт, который создаёт идеальную среду для размножения бактерий. Под налётом сначала появляются белые меловые пятна — признак деминерализации эмали. Со временем эмаль истончается, пятна увеличиваются, и на этом месте формируется кариозная полость.

Кроме того, постоянное скопление налёта и бактерий со временем может привести к развитию гингивита (воспаление дёсен), кровоточивости дёсен, раздражению слизистой оболочки полости рта.

- Как современная ортодонтия может помочь исправить тортоаномалию?

- Сегодня существует множество эффективных методов коррекции тортоаномалии. Выбор подхода зависит от степени патологии, возраста пациента, а также его готовности сотрудничать с врачом.

У детей младшего возраста, у которых только началась смена зубов и стали появляться данные аномалии, я использую аппарат Марко-Росса, у пациентов чуть постарше — аппарат Дерисхвайлера, известный также как расширяющий аппарат с винтом Хааса.

Хорошо справляются с тортоаномалией съемные ортодонтические аппараты (пластинки).

У подростков и взрослых пациентов используются брекеты и элайнеры.

Брекеты также помогут справиться с тортоаномалией.
Брекеты также помогут справиться с тортоаномалией.

- Существуют ли меры профилактики данной патологии?

- Тортоаномалию нельзя предотвратить напрямую, но можно снизить риск развития нарушений зубочелюстной системы в целом. Вот основные профилактические меры:

✔ употреблять твёрдую пищу — она тренирует жевательные мышцы, стимулирует слюноотделение (что способствует самоочищению зубов), и стимулирует развитие челюстей,

✔ избавиться от вредных привычек — сосание пальцев, языка, прикусывание щек,

✔ наблюдать за функциями: правильное носовое дыхание, жевание, глотание и речь. При нарушениях обратиться к логопеду или ЛОР-врачу,

✔ при короткой уздечке языка или губы — своевременно обратиться к врачу-ортодонту или логопеду,

✔ при ранней потере зуба — обязательно установить замещающую конструкцию (например, коронку с распоркой) или протез, чтобы соседние зубы не сместились.

.

🦷 Записаться на консультацию по исправлению прикуса к Олесе Викторовне в ПРАЙМ можно по телефону - +74912 292000.

_________________________________

Наши клиники в г. Рязань:

◾ Есенина, 110

◾ Советской армии, 9

◾ Бирюзова, 28а

◾ Интернациональная, 23

◾ Полетаева, 34 (клиника корпоративного университета)

https://www.prime-med.ru/