Найти в Дзене
Parodoctor

Металлический штифт, склерозированные каналы, воспаление - зубу пророчили удаление. Мы стали лечить, что из этого вышло

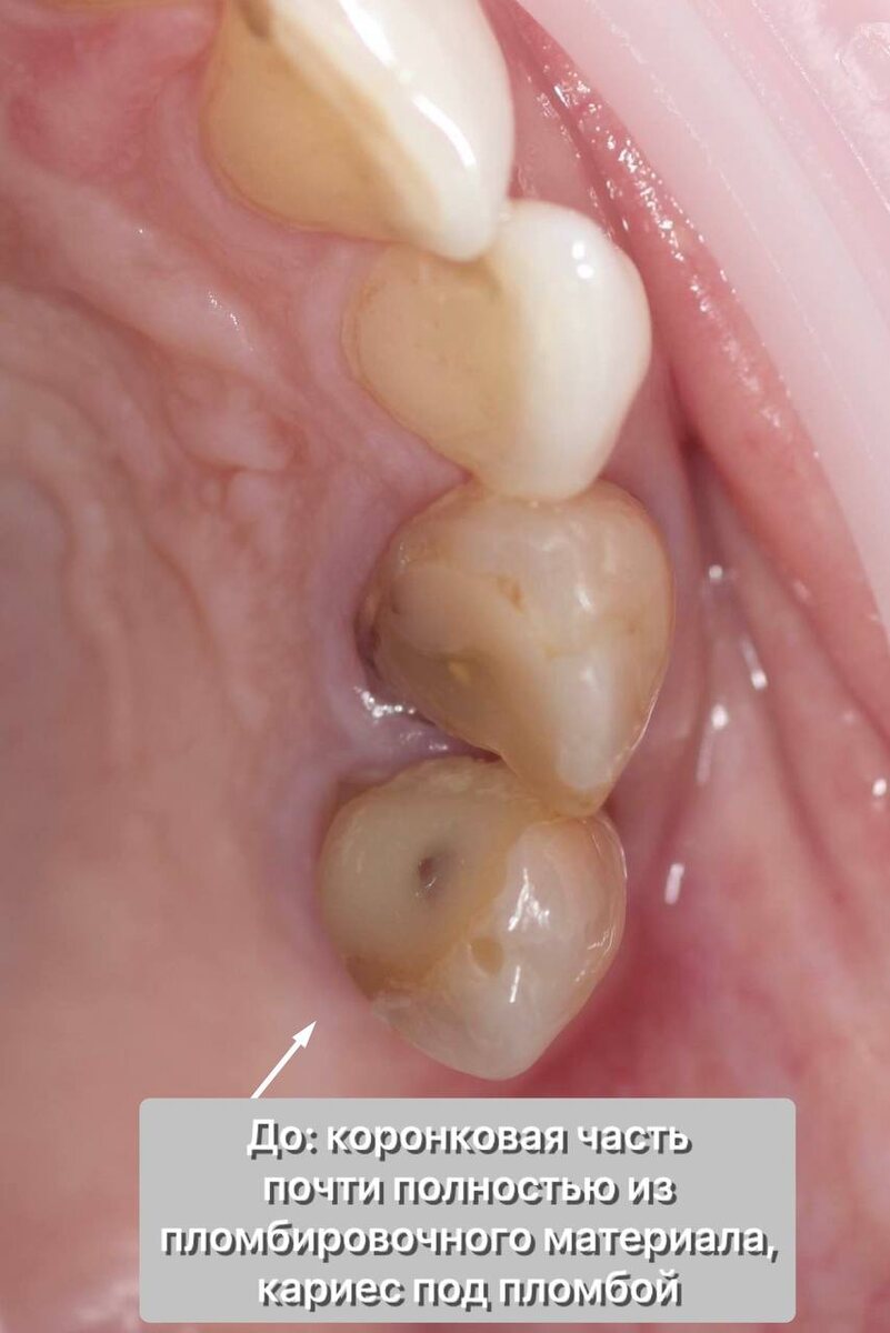
Всё как мы любим - зуб наполовину состоит из огромной дефектной пломбы, собственных стенок почти нет, кариес. Верхушка айсберга, самое интересное поджидало нас "на глубине, под толщей тёмной воды". Но даже это мелочи - на Rg в канале различим металлический штифт, сам канал недопломбирован, визуализируется очаг деструкции на верхушке корня (периодонтит). Несколько врачей в родном городе пациентки посмотрели, покачали головами и сказали одно и то же - удаление, без вариантов. И она стала искать варианты, не хота мириться с потерей родного зуба - хватит в жизни потерь зубовных. Вот таким образом она и оказалась у нас в Санкт-Петербурге, в маленькой клинике на отшибе. Ну что сказать. Всё правильно пациентка сделала, как оказалось. Материал и клинический случай подготовила автор работы - Лариса Юрьевна Михайлова, врач-стоматолог терапевт, эндодонтист стоматологии Parodent. Я адаптировала текст под формат блога. К этой "чудесной" процедуре точно нельзя относиться легкомысленно. Проблема в
Оглавление

Всё как мы любим - зуб наполовину состоит из огромной дефектной пломбы, собственных стенок почти нет, кариес. Верхушка айсберга, самое интересное поджидало нас "на глубине, под толщей тёмной воды".

Но даже это мелочи - на Rg в канале различим металлический штифт, сам канал недопломбирован, визуализируется очаг деструкции на верхушке корня (периодонтит).

-2

Несколько врачей в родном городе пациентки посмотрели, покачали головами и сказали одно и то же - удаление, без вариантов.

-3

И она стала искать варианты, не хота мириться с потерей родного зуба - хватит в жизни потерь зубовных. Вот таким образом она и оказалась у нас в Санкт-Петербурге, в маленькой клинике на отшибе.

Ну что сказать. Всё правильно пациентка сделала, как оказалось.

Материал и клинический случай подготовила автор работы - Лариса Юрьевна Михайлова, врач-стоматолог терапевт, эндодонтист стоматологии Parodent. Я адаптировала текст под формат блога.

Извлечение металлического штифта из канала - задачка со звёздочкой

К этой "чудесной" процедуре точно нельзя относиться легкомысленно.

Проблема в том, что мы никогда заранее не знаем, в каком состоянии окажется корень. Штифт - это металлический стержень, который "зацементирован" внутри канала. Иногда - на совесть, на века. Чтобы его достать, нужно аккуратно разрушить материал вокруг, да ещё и не повредив стенки корня.

А стенки могут быть уже истончены предыдущим лечением. Или в корне могут обнаружиться трещины, ступеньки. Или канал вообще окажется перфорирован.

Любая из этих находок может превратить позитивное "перелечивание" в печальное "удаление".

Поэтому Лариса Юрьевна всегда предупреждает пациентов - гарантий успешного излечения нет. Мы идём и смотрим, делаем, пробуем. Если корень позволит - лечим. Если нет - честно об этом говорим.

Диагностическое раскрытие - как не платить за лечение, которое не состоялось

Отдельно про деньги, потому что это важно.

Когда пациент соглашается на перелечивание зуба со штифтом, он берёт на себя риск - после (или в моменте) извлечения штифта может случиться так, что зуб уже не спасти. Деньги потрачены, а зуб приговорён. Вдвойне обидно.

Специалисты по перелечиванию решают это так - в первый же визит оценивают прогноз. Если после раскрытия становится ясно, что полноценное функционирование зуба сомнительно - предлагают удаление. Данное вмешательство оплачивается как диагностическое раскрытие, что значительно дешевле полного перелечивания.

Пациент не платит за лечение, которое не состоялось. Это честно и это правильно.

Клинический случай - перелечивание склерозированного канала с металлическим штифтом и очагом деструкции костной ткани периапикально

Штифт извлекли, ура!

-4

А что с корнем после извлечения?

И снова хорошие новости - корень в отличном состоянии. Ни трещин, ни истончения стенок, ни перфораций. Старый пломбировочный материал из канала удалили полностью.

Это всегда важный момент - старая пломбировка, скорее всего, инфицирована и может препятствовать заживлению воспалительного процесса. Оставить хоть кусочек - значит, оставить источник инфекции.

Но повозиться с этим зубом, всё же, пришлось.

Склерозированные каналы зуба

Апикальная часть каналов - та, что ближе к верхушке корня, оказалась склерозированной. Это значит, что просветы каналов сузились, "заросли" минерализованной тканью. Инструмент не проходит.

-5
Бывает - таким образм организм реагирует на хроническое воспаление, пытается "закрыться" от инфекции, канал сужается, "закупоривается".

Пройти каналы до конца удалось - но не сразу. Потребовалось терпение, время и ювелирная работа под микроскопом:

-6

Каналы пройдены на всю рабочую длину, полностью очищены от старого материала:

-7

Запломбированы заново:

-8

Зуб уже отлично выглядит и участвует в жевании, не беспокоит.

-9

Но история ещё не окончена. Впереди - время на заживление. Нужно убедиться, что воспалительный процесс вокруг верхушки корня пошёл на убыль. Для этого через несколько месяцев сделаем контрольную КТ.

Если всё хорошо - восстановим зуб искусственной коронкой.

Вывод

Металлический штифт в канале - не всегда приговор. Сложный случай - лечим, если есть шансы. Даже несколько консультаций с рекомендацией "удалять" - не всегда приговор. Всё зависит от ВРАЧА. А врачи все разные, не роботы. У всех разный опыт, навыки, способности.

Успех гарантировать в 100 случаев из 100, однако, тоже нельзя. Каждый сложный зуб, который уже кто-то подпортил - это честный разговор с пациентом. Мы попробуем, но может не получиться. Мы идём и смотрим, что "скажет" корень.

В этом случае корень сказал "да". Штифт удалён, каналы пройдены и адекватно запломбированы.

Всё-таки лучше собственного зуба ничего быть не может. И, иногда, стоит поискать врача, который попробует его спасти. Даже если врач этот в другом городе и запись к нему на несколько месяцев расписана.

Больше статей по терапии:

Наша терапия | Parodoctor | Дзен

Вопросы задавайте в моём Telegram-канале - там я их точно увижу и отвечу. В Дзене сотни комментариев под сотнями статей и я физически не успеваю всё мониторить - не смотрю и не отвечаю, никого не удаляю (все вопросы к Дзен, обиды направляйте площадке, пожалуйста). В Telegram все вопросы в одном месте, удобно отвечать, можно фото прикрепить. Так что жду в тг:

Parodoctor

С уважением, Лежачёва Наталия Александровна, хирург-пародонтолог и главный врач стоматологии Parodent, СПб.