Добавить в корзинуПозвонить
Найти в Дзене
ProЗубы

🦷 Подростковый случай: когда клыкам просто не хватало места

Перед нами — подросток с выраженным сужением верхней челюсти. Что это означало на практике? ▪️ для клыка (13 зуба) не было места ▪️ для противоположного клыка (23 зуба) — тоже ▪️ скученность в центральном отделе ▪️ нарушенное смыкание зубов В таких ситуациях часто кажется, что «зубы слишком крупные». Но проблема была в узкой челюсти, а не в размере зубов. Что сделали 👇 ✔️ использовали расширяющие дуги ✔️ создали пространство для клыков ✔️ аккуратно подтянули их и установили в правильное положение ✔️ нормализовали смыкание верхних и нижних зубов — по I классу На фото «После» ребёнок всё ещё находится на этапе лечения — брекеты не сняты, продолжается финальная коррекция. ✅ Но уже сейчас видно главное: челюсть расширена, зубы выстроены, прикус стабилизируется 👍 Ортодонтия у подростков — это про своевременное вмешательство, когда можно направить рост и избежать более сложных решений в будущем. P.S. На фото работа нашего врача-ортодонта Масенко Р.А. 📍Сочи, ул. Парковая, 34/1 (цен

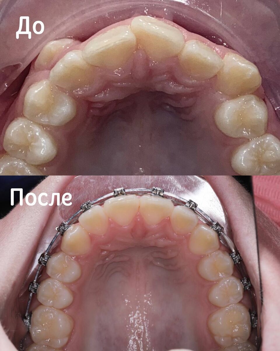
🦷 Подростковый случай: когда клыкам просто не хватало места

Перед нами — подросток с выраженным сужением верхней челюсти.

Что это означало на практике?

▪️ для клыка (13 зуба) не было места

▪️ для противоположного клыка (23 зуба) — тоже

▪️ скученность в центральном отделе

▪️ нарушенное смыкание зубов

В таких ситуациях часто кажется, что «зубы слишком крупные».

Но проблема была в узкой челюсти, а не в размере зубов.

Что сделали 👇

✔️ использовали расширяющие дуги

✔️ создали пространство для клыков

✔️ аккуратно подтянули их и установили в правильное положение

✔️ нормализовали смыкание верхних и нижних зубов — по I классу

На фото «После» ребёнок всё ещё находится на этапе лечения — брекеты не сняты, продолжается финальная коррекция.

✅ Но уже сейчас видно главное:

челюсть расширена, зубы выстроены, прикус стабилизируется 👍

Ортодонтия у подростков — это про своевременное вмешательство, когда можно направить рост и избежать более сложных решений в будущем.

P.S. На фото работа нашего врача-ортодонта Масенко Р.А.

📍Сочи, ул. Парковая, 34/1 (центр Сочи)

📱 WhatsApp / Telegram / MAX: +7 918 209-00-27