Найти в Дзене

Какие обследования нужны перед брекетами и элайнерами: чек-лист для взрослых

Что проверить перед ортодонтическим лечением, какие обследования действительно нужны взрослым и какие вопросы стоит задать врачу, чтобы избежать рисков и лишних затрат Перед установкой брекетов или элайнеров требуется комплексная диагностика. Это не только слепки и фотографии, а оценка состояния зубов, костной ткани, прикуса, дёсен и височно-нижнечелюстного сустава. Часто взрослые пациенты спешат начать лечение и пропускают часть обследований. Или, наоборот, сталкиваются с избыточной диагностикой без объяснений. Такой план лечения оказывается неточным, а риски и сроки увеличиваются. Врач-ортодонт Сергей Суджаев, основатель ортодонтической клиники «Студия улыбки», объясняет, какие обследования действительно важны для подготовки к ортодонтическому лечению у взрослых и что стоит обязательно обсудить на консультации. Первый этап ортодонтической диагностики — клинический осмотр без аппаратуры. На этом этапе врач получает общее представление о прикусе и возможных ограничениях лечения. При ос
Оглавление

Что проверить перед ортодонтическим лечением, какие обследования действительно нужны взрослым и какие вопросы стоит задать врачу, чтобы избежать рисков и лишних затрат

Перед установкой брекетов или элайнеров требуется комплексная диагностика. Это не только слепки и фотографии, а оценка состояния зубов, костной ткани, прикуса, дёсен и височно-нижнечелюстного сустава.

Часто взрослые пациенты спешат начать лечение и пропускают часть обследований. Или, наоборот, сталкиваются с избыточной диагностикой без объяснений. Такой план лечения оказывается неточным, а риски и сроки увеличиваются.

Врач-ортодонт Сергей Суджаев, основатель ортодонтической клиники «Студия улыбки», объясняет, какие обследования действительно важны для подготовки к ортодонтическому лечению у взрослых и что стоит обязательно обсудить на консультации.

Что входит в полную диагностику перед брекетами и элайнерами

Консультация ортодонта и визуальная оценка прикуса

Первый этап ортодонтической диагностики — клинический осмотр без аппаратуры. На этом этапе врач получает общее представление о прикусе и возможных ограничениях лечения.

При осмотре можно оценить профиль лица, наличие асимметрии. При осмотре полости рта можно оценить состояние прикуса и зубов. Проверить, есть ли щелчки в челюстном суставе.

Многие ключевые проблемы видны уже на первичном осмотре. Врач оценивает:

  • Тип прикуса
  • Положение зубов
  • Соотношение челюстей
  • Симметрию лица
  • Дыхание и функциональные особенности

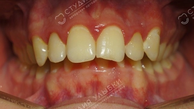
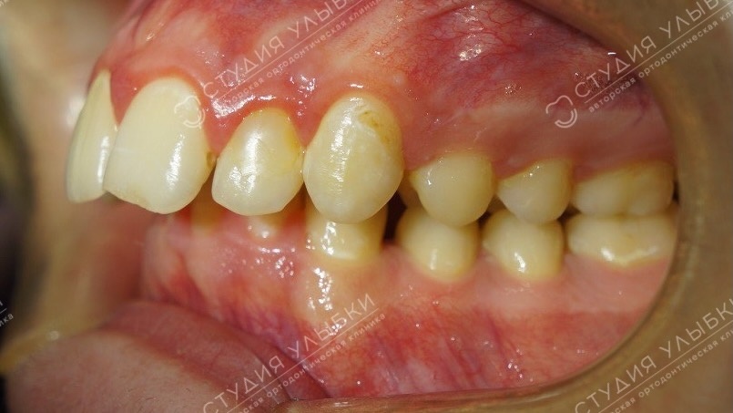
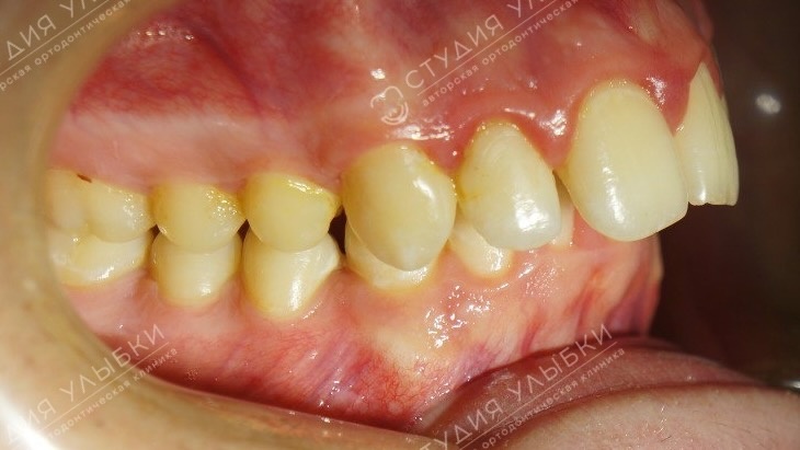
Фотопротокол — стандартные фотографии лица и зубов

Фотопротокол — обязательная часть диагностики перед брекетами у взрослых пациентов.

Для оценки линии улыбки делают фотографии — они показывают, насколько зубные ряды заполняют линию улыбки, какая высота уровня десны по отношению к зубам. Также оцениваются профиль лица и асимметрия.

Что включает фотопротокол:

  • Лицо анфас и в профиль
  • Улыбка в покое и при улыбке
  • Положение зубов при смыкании
  • Вид зубных рядов изнутри

Зачем нужен фотопротокол:

  • Фиксация исходного состояния
  • Контроль динамики лечения
  • Выявление асимметрий и эстетических нюансов

Слепки или 3D-сканирование зубных рядов

Для планирования лечения врачу необходимо получить точную модель зубных рядов.

Гипсовые слепки — это прошлый век. Сканирование зубов — более современная и приятная для пациента процедура. Модели получаются цифровые, их можно загрузить в специальные программы для моделирования результата лечения.

Зачем нужно сканирование:

  • Анализ скученности и промежутков
  • Оценка прикуса в статике
  • Планирование перемещения зубов
  • Решение вопроса об удалении зубов
3D-сканирование зубных рядов
3D-сканирование зубных рядов

Рентген-диагностика — какие снимки нужны взрослым

Без рентгенологических исследований невозможно безопасно планировать обследование перед исправлением прикуса.

В клинике всем взрослым назначают КЛКТ челюстей — это максимально информативный метод исследования. Компьютерная томография зубов показывает полную картину состояния костной ткани, корней зубов и суставов.

В детском возрасте, при небольших проблемах достаточно панорамного снимка зубов (ОПГ) и телерентгенографии (ТРГ). Но для взрослых пациентов КЛКТ предпочтительнее.

Что показывают снимки:

  • Состояние корней зубов
  • Объём костной ткани
  • Скрытые воспаления
  • Положение зубов в кости
  • Зубы мудрости, которые спят в кости
  • Рецессию (убыль) костной ткани

При необходимости добавляются прицельные снимки зубов отдельных зубов для более детальной оценки.

Дополнительные обследования — когда они действительно нужны

Не всем взрослым пациентам требуется расширенная ВНЧС диагностика, но в ряде случаев без неё нельзя.

Если на КЛКТ выявляются проблемы с головками суставов, а также когда выявляются значительные боли в челюстном суставе и проблемы с работой сустава, назначают дополнительные исследования:

  • Кондилография — при жалобах на щелчки в суставе челюсти, боль, ограничение открывания рта
  • МРТ ВНЧС — при выраженных симптомах со стороны сустава
  • Консультация пародонтолога — при проблемах с дёснами
  • Осмотр ортопеда — если нужно протезирование
  • Консультация хирурга — при планировании удаления зубов мудрости

Какие проблемы выявляет диагностика у взрослых

Кариес и неплотные пломбы

Перед ортодонтическим лечением нужно провести санацию полости рта — устранить все проблемы с зубами и дёснами. Лечение кариеса перед ортодонтией обязательно, потому что лечение длительное и надо, чтобы ничего не мешало ему.

Типичная ошибка пациентов — не до конца вылечивают зубы перед брекетами. Потом приходится прерывать лечение, снимать брекеты, лечить кариес и заново всё устанавливать.

Воспаление дёсен и пародонтит

Состояние дёсен влияет на безопасность ортодонтического лечения. При воспалении дёсен и пародонтите нельзя начинать двигать зубы — это приведёт к ещё большей убыли костной ткани и потере зубов.

Если диагностика выявила проблемы с дёснами, сначала нужна консультация пародонтолога и лечение воспаления.

Дефицит костной ткани

При любом перемещении зуба нужно оценивать объём костной ткани вокруг него. Кость — это фундамент зуба. Чем её меньше, тем зуб менее стабилен.

Часто для устранения скученности надо расширить зубной ряд, но для этого движения нужна костная ткань с щёчной стороны зубов. Если её недостаточно, тогда надо искать другой путь — например, удаление отдельных зубов.

Объём кости ограничивает возможности перемещения зубов. Без КЛКТ этого не увидеть.

Проблемы височно-нижнечелюстного сустава

Лечение без диагностики ВНЧС может ухудшить состояние сустава. Если у пациента уже есть щелчки, боли, ограничение открывания рта, а врач этого не учёл в плане лечения — симптомы могут усилиться.

Предварительная диагностика помогает выявить проблему и скорректировать план так, чтобы не навредить суставу.

Необходимость удаления зубов

Когда зубам не хватает места в челюсти (большая скученность), есть два выхода: расширить зубной ряд или удалить несколько зубов, чтобы освободить место для остальных. Расширение работает, только если вокруг зубов достаточно костной ткани. Если кости мало, единственный выход — это удаление отдельных зубов.

Также часто приходится удалять зубы мудрости. Типичная ошибка — не удаляют зубы мудрости перед лечением. Потом они прорезываются и начинают давить на зубной ряд сзади. Под этим давлением передние зубы снова съезжаются и искривляются — весь результат лечения пропадает, приходится переделывать.

Чаще всего диагностика выявляет проблемы с ранней потерей зубов и смещением соседних зубов в результате потери опоры. Зубы мудрости, которые спят в кости. Рецессию костной ткани.

Пример из практики:

Пациенту 25 лет, не прорезался верхний седьмой зуб. На КЛКТ обнаружили несколько минизубов, которые расположились над ним и мешали прорезыванию.

Мы удалили эти минизубы, чтобы седьмой зуб смог прорезаться. Без КЛКТ эту проблему обнаружить было бы невозможно — на обычном панорамном снимке такие детали не видны.

Полный диагностический протокол для взрослого пациента

Сканирование зубных рядов, фотопротокол и КЛКТ лицевого отдела черепа назначают всем пациентам. МРТ и кондилографию — если есть выраженные проблемы с суставом.

Обязательный минимум для взрослых:

  • Консультация ортодонта с осмотром
  • Фотопротокол (лицо и зубы)
  • 3D-сканирование зубных рядов
  • КЛКТ лицевого отдела черепа

Дополнительно по показаниям:

  • Прицельные снимки отдельных зубов
  • Кондилография при проблемах с суставом
  • МРТ ВНЧС при выраженных болях
  • Консультация пародонтолога
  • Консультация хирурга
Если нужны дополнительные методы обследования, естественно, это приводит к увеличению стоимости. Но это оправданные затраты — они помогают избежать осложнений после брекетов и переделок во время лечения.

Что спросить у врача на консультации перед началом лечения

Лечение длительное и сложное, пациент должен знать все детали. Особенно длительность и какие манипуляции его ждут (удаление зубов, установка микроимплантов, дополнительные обследования и так далее).

Вопросы про обследования

Какие исследования нужны именно в моём случае и почему? Если врач назначает дополнительные обследования — попросите объяснить, что они покажут и как повлияют на план лечения.

Вопросы про зубы и дёсны

Есть ли проблемы, которые нужно решить до начала ортодонтии? Нужна ли санация полости рта, лечение дёсен, удаление зубов мудрости?

Вопросы про суставы

Нужно ли дополнительно обследовать ВНЧС? Если есть щелчки или дискомфорт — обязательно сообщите врачу.

Вопросы про план лечения

Сроки лечения, необходимость удаления зубов, выбор метода (брекеты или элайнеры), какие этапы предстоят.

Вопросы про стоимость

Что входит в диагностику и фиксируется ли это в плане лечения? Какие дополнительные расходы могут возникнуть?

FAQ — обследования перед брекетами и элайнерами

Какие обследования нужны перед установкой брекетов или элайнеров?

Перед ортодонтическим лечением взрослым пациентам обычно нужны: осмотр ортодонта, фотопротокол, 3D-сканирование зубов и КЛКТ челюстей. Дополнительные исследования назначаются по показаниям.

Обязательно ли делать КЛКТ перед брекетами?

Для взрослых пациентов КЛКТ — стандарт диагностики. Она необходима для оценки объёма костной ткани, положения корней зубов, состояния суставов и выявления скрытых проблем. Без неё план лечения будет неточным.

Какие снимки делают перед установкой брекетов

Взрослым пациентам выполняется КЛКТ лицевого отдела черепа.

Зачем делать фотопротокол перед ортодонтическим лечением?

Фотопротокол фиксирует исходное состояние лица и зубов, помогает врачу планировать лечение и позволяет объективно оценить результат после его завершения.

Нужно ли проверять суставы перед брекетами или элайнерами?

Проверка ВНЧС требуется, если есть боли в челюстном суставе, щелчки в суставе челюсти, хруст или ограничение открывания рта. В таких случаях ортодонт может назначить кондилографию или МРТ ВНЧС.

Какие проблемы чаще всего находят на диагностике перед брекетами?

Чаще всего выявляют кариес, старые или неплотные пломбы, воспаление дёсен, дефицит костной ткани, зубы мудрости в кости или скрытые проблемы с суставом. Эти состояния важно устранить до начала ортодонтического лечения.

Можно ли ставить брекеты если есть кариес или воспаление дёсен?

Нет. Все очаги кариеса и воспаления дёсен необходимо вылечить до установки брекетов или элайнеров. Иначе риск осложнений после брекетов во время лечения значительно возрастает. Это одно из главных противопоказаний к ортодонтическому лечению до момента санации.

Заключение

Диагностика перед ортодонтическим лечением — это основа безопасного и предсказуемого результата, особенно у взрослых пациентов.

Чем точнее обследование на старте, тем меньше рисков, переделок и неожиданных затрат во время ортодонтического лечения.

Если вы планируете установку брекетов или элайнеров, разумно начать с консультации ортодонта и подробного обсуждения диагностики. В ортодонтическом центре «Студия улыбки» взрослым пациентам объясняют, какие обследования действительно нужны, и не назначают лишних процедур.

С заботой о Вашем здоровье и красоте.
Ждем на консультации в ортодонтической клинике «Студия улыбки» +7 (985) 786-02-94. Консультации ведет главный врач клиники — врач-ортодонт Сергей Суджаев.
Если Вам понравилась статья, ставьте лайк и подписывайтесь на наш канал. Больше информации на нашем сайте https://studia-ulybki.ru/

Автор статьи

Сергей Суджаев

Врач-ортодонт, основатель и главный врач ортодонтической клиники «Студия улыбки».

  • Член европейского, американского и российского общества ортодонтов.
  • Эксперт СМИ, участник научных конгрессов и семинаров.
  • С отличием окончил ординатуру на кафедре ортодонтии и детского протезирования МГМСУ.
  • Несколько лет проработал на кафедре ортодонтии Московского медико-стоматологического университета и вел научную деятельность.
  • Стажировался в частных клиниках в Германии и США.
  • Опыт работы 14 лет.
Автор статьи: Сергей Суджаев. Врач-ортодонт, основатель и главный врач ортодонтической клиники «Студия улыбки».
Автор статьи: Сергей Суджаев. Врач-ортодонт, основатель и главный врач ортодонтической клиники «Студия улыбки».