Добавить в корзинуПозвонить
Найти в Дзене
Доктор, что это?

❤️ Пациента «без пульса» готовят к выписке в Петербурге

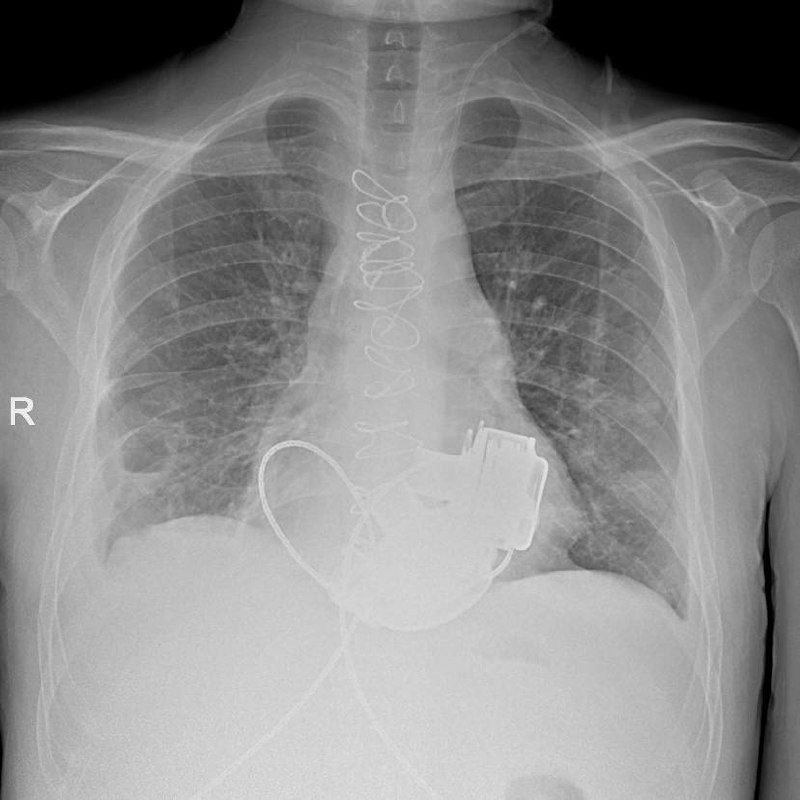
В Мариинской больнице готовят к выписке 36-летнего мужчину, которому имплантировали два искусственных желудочка сердца — редчайшая и высокотехнологичная операция. 🫀 Пациент поступил с кардиомиопатией и терминальной сердечной недостаточностью. Состояние было настолько тяжёлым, что пересадка донорского сердца оказалась невозможна из-за сопутствующих осложнений. Единственным шансом на спасение стала механическая поддержка кровообращения. Хирурги приняли решение установить систему искусственных желудочков — по сути, это устройство полностью берёт на себя насосную функцию сердца. После такой операции у человека нет привычного пульса, потому что кровоток становится непрерывным, а не толчкообразным. ⏱️ Операция длилась около четырёх часов. Самым сложным этапом стала точная синхронизация работы обоих искусственных желудочков, чтобы обеспечить стабильное кровообращение по большому и малому кругу. ⚠️ Послеоперационный период был тяжёлым, но пациент справился. Сейчас он уже адаптировался к ж

❤️ Пациента «без пульса» готовят к выписке в Петербурге

В Мариинской больнице готовят к выписке 36-летнего мужчину, которому имплантировали два искусственных желудочка сердца — редчайшая и высокотехнологичная операция.

🫀 Пациент поступил с кардиомиопатией и терминальной сердечной недостаточностью. Состояние было настолько тяжёлым, что пересадка донорского сердца оказалась невозможна из-за сопутствующих осложнений. Единственным шансом на спасение стала механическая поддержка кровообращения.

Хирурги приняли решение установить систему искусственных желудочков — по сути, это устройство полностью берёт на себя насосную функцию сердца. После такой операции у человека нет привычного пульса, потому что кровоток становится непрерывным, а не толчкообразным.

⏱️ Операция длилась около четырёх часов. Самым сложным этапом стала точная синхронизация работы обоих искусственных желудочков, чтобы обеспечить стабильное кровообращение по большому и малому кругу.

⚠️ Послеоперационный период был тяжёлым, но пациент справился. Сейчас он уже адаптировался к жизни с устройствами, прошёл обучение по их обслуживанию и готовится к выписке.

🔄 Имплантация искусственных желудочков — это не финал лечения, а «мост» к трансплантации. В будущем мужчине всё ещё планируют пересадку донорского сердца, когда это станет возможным.

Это пример того, как технологии механической поддержки кровообращения позволяют спасать пациентов, которые ещё недавно считались безнадёжными.

👨‍⚕️Канал ДЧЭ l ❓Вопросы врачам

-2