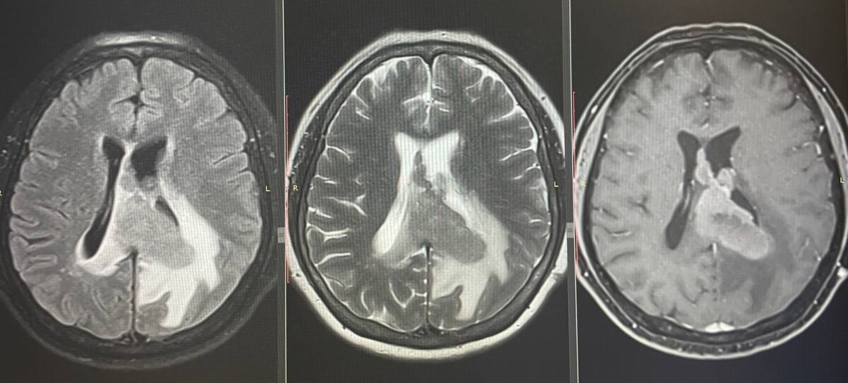
МРТ ГМ того же пациента. Исследование обладает большей информативностью: последовательности FLAIR, T2 и T1 с контрастным усилением дают более наглядную визуализацию лимфомы. #лимфомагммрт
МРТ ГМ того же пациента. Исследование обладает большей информативностью: последовательности FLAIR, T2 и T1 с контрастным усилением дают более наглядную визуализацию лимфомы. #лимфомагммрт
...Читать далее
Публикую дополнение к выше описанному случаю. МРТ ГМ того же пациента. Исследование обладает большей информативностью: последовательности FLAIR, T2 и T1 с контрастным усилением дают более наглядную визуализацию лимфомы.