Найти в Дзене

Зуб потемнел, посерел или зарозовел, как закаты Санторини? Внутриканальное отбеливание

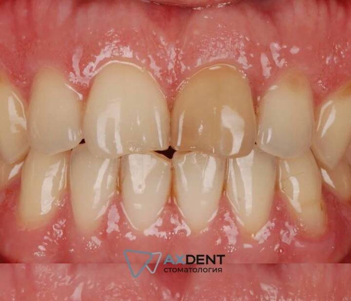
Я не буду набрасываться на читателя с профессиональным бубнежом и объяснять, как именно проводится процедура и с какой этапностью. Это чуть позже. Гораздо важнее понять, зачем вам может понадобиться такая заковыристая манипуляция, как внедрение в канал зуба отбеливающих препаратов. Если обобщить, то проблема всегда выглядит так: все зубы как зубы, а один выделяется вызывающей серостью. Особенно это удручает, если зуб находится в видимой области улыбки. И если бы не он один такой “серенький волчок”, то улыбка смотрелась бы на порядок привлекательнее. Проводить комплексное отбеливание в таком случае бесполезно: темный зуб останется темным, потому что его цвет продиктован не внешними факторами. Это сигнал изнутри. Проблема — не на поверхности эмали, а в глубине зуба, в его «сердце» — дентине. Случай 1: «Серый зуб» после травмы Вы упали с велосипеда, не надели капу во время тренировки по боксу или просто сразились со столбом. Зуб перестает болеть, но спустя время он меняет цвет, что может
Оглавление

Я не буду набрасываться на читателя с профессиональным бубнежом и объяснять, как именно проводится процедура и с какой этапностью. Это чуть позже. Гораздо важнее понять, зачем вам может понадобиться такая заковыристая манипуляция, как внедрение в канал зуба отбеливающих препаратов.

Если обобщить, то проблема всегда выглядит так: все зубы как зубы, а один выделяется вызывающей серостью. Особенно это удручает, если зуб находится в видимой области улыбки. И если бы не он один такой “серенький волчок”, то улыбка смотрелась бы на порядок привлекательнее.

Проводить комплексное отбеливание в таком случае бесполезно: темный зуб останется темным, потому что его цвет продиктован не внешними факторами. Это сигнал изнутри. Проблема — не на поверхности эмали, а в глубине зуба, в его «сердце» — дентине.

Внутриканальное отбеливание — это решение для таких, часто драматичных случаев

Случай 1: «Серый зуб» после травмы

Вы упали с велосипеда, не надели капу во время тренировки по боксу или просто сразились со столбом. Зуб перестает болеть, но спустя время он меняет цвет, что может указывать на повреждение нервно-сосудистого пучка. При некрозе пульпы прекращается питание тканей, сосуды, нервы, гемоглобин распадаются, а продукты распада проникают в дентинные канальцы, буквально пропитывая их. Получаем тусклый зуб серо-синюшного оттенка. Эмаль при этом может быть идеальной, но сквозь нее просвечивает темный, измененный дентин. Осветлить такой зуб — это как пытаться отбелить стекло, за которым висит черная шторка. Бесполезно. Нужно работать с источником цвета.

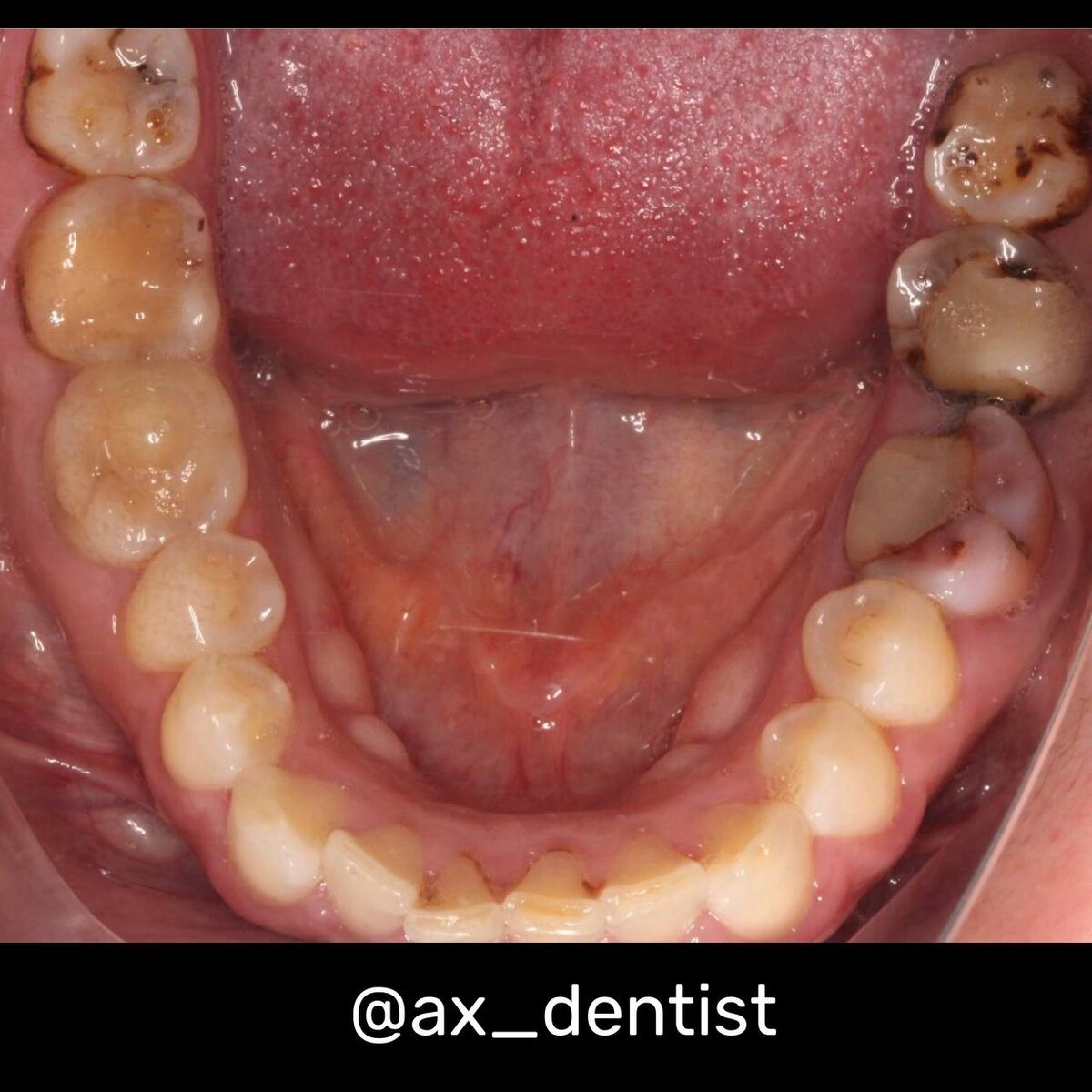
Случай 2: «Резорцин-формалиновый» зуб — наследие старой стоматологии

Нижний шестой зуб окрашен резорцион-формалином
Нижний шестой зуб окрашен резорцион-формалином

Если вам лечили зуб 20-30 лет назад, есть шанс, что каналы пломбировали пастой на основе резорцина и формалина. Она была долговечной, но имела побочный эффект: со временем она намертво окрашивала дентин в ядовито-розовый или густой коричневый цвет. Такой зуб не просто темный. Он выглядит «мертвым» и не поддается никаким внешним методам осветления. Это боль пациента, который годами живет с «пятном» в улыбке, хотя сам зуб давно вылечен. Это эстетическая несправедливость, которую можно устранить только изнутри.

Случай 3: Потемнение после удаления “нерва”
Вам пролечили каналы, убрали нервно-сосудистый пучок по причине его воспаления. Зуб условно здоров. Под “условно” имею в виду, что в зубе остановлены патологические процессы, пульпа больше не “распадается” под действием патогенов, боли нет, воспаления нет. Но зуб теперь мертвый. Нет питания, нет обменных процессов, нет снабжения строительными материалами. Потемнение в таком случае вполне закономерно, но есть и другой провокатор темного цвета. Некачественно пролечили, не до конца извлекли пульпу, и зуб темнеет из-за разложения остаточной органики.

Что реально требуется зубу, который лишился нерва? И неважно, по какой причине это произошло

Первое, о чем нужно позаботиться, — защитить такой зуб коронкой. Лишенные минерализации и питания мёртвые зубы всегда в группе риска по внезапному перелому корня. Но керамическая коронка — конструкция, пропускающая свет. И в этом их сила, потому что светопроницаемость керамики делает её аналогичной по эстетике родной натуральной эмали. И вот тут возникает заминка.

Если мы закрываем керамической коронкой темный изнутри зуб, то серость будет пробиваться через керамическую "заслонку", и мы не получим желанной красоты.

На помощь приходит внутриканальное отбеливание

Давайте по шагам разберём, как оно происходит, и почему это — ювелирная работа, а не простая процедура.

Этап нулевой: понять, что без перелечивания не обойтись

Всё начинается с компьютерной томографии. Смотрим, как запломбированы каналы, есть ли очаги воспаления, как уложен старый пломбировочный материал, есть ли гранулёмы. Пока мы не решим обнаруженне проблемы, ни о каком отбеливании речи быть не может.

Этап первый: аккуратно войти и всё очистить

Под микроскопом аккуратно снимаем старую пломбу и лечим или перелечиваем каналы.

Самая кропотливая работа — полностью удалить старые наполнители из всех каналов, не повредив при этом тонкие стенки корня. Используются ультразвуковые насадки и специальные тончайшие инструменты. Цель — пройти каждый канал до самого кончика корня и сделать его стерильно чистым.

Этап второй: заново запломбировать и запечатать

Когда каналы идеально очищены и высушены, их нужно герметично заполнить заново. Канал пломбируется до самой верхушки, без пустот. Это создаёт надёжный барьер, который не позволит бактериям снова проникнуть в кость. На этом этапе воспаление у корня, если оно было, начинает затухать, и зуб, наконец, становится по-настоящему здоровым. Но он всё ещё остаётся тёмным.

Этап третий: отбеливание — работа с последствиями

Только теперь, когда зуб качественно пролечен и «законсервирован», можно браться за его цвет. Через аккуратное отверстие на жевательной поверхности вводим в очищенную полость зуба специальный отбеливающий гель. Его задача — проникнуть в поры дентина и разрушить глубоко въевшийся пигмент.

Отверстие закрывается временной, но абсолютно герметичной пломбой. Гель остаётся внутри зуба на несколько дней, выполняя свою работу. Через неделю вы возвращаетесь: врач снимает временную пломбу, промывает полость и смотрит на результат. Если темнота ещё интенсивная, процедуру можно повторить. Мы движемся к цели постепенно.

Этап четвёртый: окончательное восстановление

Зуб стал светлее? Отлично. Теперь нужно обеспечить зубу долгую жизнь и добиться идеального цвета с помощью коронки. Полость снова тщательно очищается, на её дно укладывается защитная прокладка, а сверху ставится прочная постоянная пломба. Всё. Зуб к коронации готов. Он клинически здоров, осветлен, восстановлен.

С таким подходом ваш зуб никак не выдаст своё темное прошлое и будет смотреться такой же чистой жемчужиной, как и его коллеги по зубному ряду.

Такой путь — установка коронки с перелечивание с предварительным внутриканальным отбеливанием — это целый проект. Он требует времени, терпения и инвестиций. Но он решает проблему комплексно: устраняет скрытую угрозу для здоровья (очаг инфекции у корня) и дарит вам возможность снова улыбаться, не пряча потемневший зуб. Вы получаете не просто косметический эффект, а полностью реабилитированный, функциональный и красивый зуб. Это и есть современная стоматология — когда лечение и эстетика идут рука об руку.