Добавить в корзинуПозвонить
Найти в Дзене

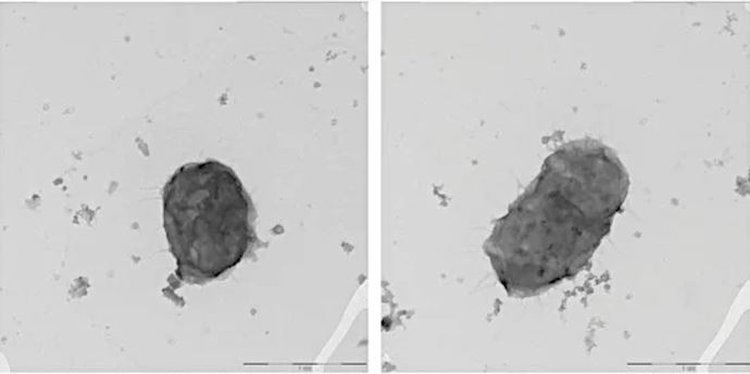
Новый род и вид бактерий для биотоплива или переработки морских ресурсов открыли российские ученые

Исследователи Тихоокеанского института биоорганической химии имени Г.Б. Елякова ДВО РАН в сотрудничестве с учёными Национального научного центра морской биологии имени А.В. Жирмунского ДВО РАН и ФНЦ Биоразнообразия ДВО РАН открыли новый род и вид морских бактерий, способных расщеплять сложные углеводы водорослей, в частности альгинат. Исследователи выделили уникальный микроорганизм из жидкости, заполняющей внутреннюю полость морского ежа Strongylocentrotus intermedius, которого выловили в проливе Фриза (Курильские острова) на глубине 400 метров. Этот микроорганизм получил название Algorimicrobium bowmanii. Генетический анализ показал, что бактерия, вместе с ещё семью известными видами, ранее относимыми к Bizionia, образует самостоятельную эволюционную ветвь. Поэтому учёные предложили выделить их в новый род — Algorimicrobium. Геномное исследование нового штамма KMM 8389T выявило уникальный набор ферментов, ориентированных на расщепление полисахаридов водорослей. У бактерии есть гены, о
   Фото: ТИБОХ ДВО РАН
Фото: ТИБОХ ДВО РАН

Исследователи Тихоокеанского института биоорганической химии имени Г.Б. Елякова ДВО РАН в сотрудничестве с учёными Национального научного центра морской биологии имени А.В. Жирмунского ДВО РАН и ФНЦ Биоразнообразия ДВО РАН открыли новый род и вид морских бактерий, способных расщеплять сложные углеводы водорослей, в частности альгинат.

Исследователи выделили уникальный микроорганизм из жидкости, заполняющей внутреннюю полость морского ежа Strongylocentrotus intermedius, которого выловили в проливе Фриза (Курильские острова) на глубине 400 метров.

Этот микроорганизм получил название Algorimicrobium bowmanii. Генетический анализ показал, что бактерия, вместе с ещё семью известными видами, ранее относимыми к Bizionia, образует самостоятельную эволюционную ветвь. Поэтому учёные предложили выделить их в новый род — Algorimicrobium.

Геномное исследование нового штамма KMM 8389T выявило уникальный набор ферментов, ориентированных на расщепление полисахаридов водорослей. У бактерии есть гены, отвечающие за производство гликозидгидролаз (GH13, GH31, GH65) и полисахаридлиаз (PL6, PL7, PL12, PL17), что свидетельствует о потенциальной роли в переработке остатков морских растений.

Это открытие не только проливает свет на эволюционные взаимоотношения внутри семейства Flavobacteriaceae, но и имеет практическое значение.

Способность бактерии расщеплять альгинат — ключевой компонент клеточных стенок бурых водорослей — делает её перспективным кандидатом для биотехнологий, например, для переработки морских биоресурсов или производства биотоплива.

Работа выполнялась при финансовой поддержке Минобрнауки России (соглашение № 075-15-2025-467).

Результаты исследования были опубликованы в журнале Microorganisms.

Источник: ТИБОХ ДВО РАН.

Оригинал статьи на AgroXXI.ru

Интересна тема? Подпишитесь на наши новости в ДЗЕН | Канал в Telegram | Группа Вконтакте | Дзен.новости.