Найти в Дзене

Мужчина - дело наживное

Вера с мужем очень хотели ребенка. С того самого момента, как поженились. Спустя год результата не было. Ну, ничего, может, попозже получится. Но и через два года зачать не удавалось. Начались обследования. У мужа все было хорошо. Причина бесплодия обнаружилась у Веры - поставили диагноз синдрома поликистозных яичников. Она лечилась еще год. Предлагали то одну схему, то другую, то одни гормоны,

Вера с мужем очень хотели ребенка. С того самого момента, как поженились. Спустя год результата не было. Ну, ничего, может, попозже получится. Но и через два года зачать не удавалось. Начались обследования. У мужа все было хорошо. Причина бесплодия обнаружилась у Веры - поставили диагноз синдрома поликистозных яичников. Она лечилась еще год. Предлагали то одну схему, то другую, то одни гормоны, то другие. Потом пробовали стимулировать — без толку. Все так и продолжалось, пока она не попала к другому врачу. 

— Ой, Вера, столько времени потратила! Без операции ничего у тебя не получится! 

Операцию Вере предлагали и раньше, но как-то ненавязчиво, да и не хотелось ей ложиться на операционный стол, все надеялась, что обойдется таблетками. 

Вера сразу согласилась. Куда дальше уж тянуть. 

—Только побереги себя после операции, подожди хотя бы месяц, пока половую жизнь исключите. 

Вера, конечно, врачу доверяла и уважала, но подождать не получилось. Она забеременела в этом же цикле. Беременность протекала тяжеловато: долго мучил токсикоз, и отеки, и, бывало, давление скакало. 

На доношенном сроке путем операции кесарево сечение появилась на свет девочка. Назвали ее Мариной. 

Все было хорошо, даже планировали потом идти за вторым. 

Когда Марине исполнилось 4 года, муж Веры сказал, что уходит из семьи. Ушел он, конечно, не в пустоту, а к другой, свободной от детей. Видимо, не выдержала нежная мужская душа семейных тягот. 

Развелись. Алименты то есть, то нет. 

Вера продолжала растить дочку, рассчитывая в основном только на себя. Через несколько лет появился в ее жизни мужчина. Вроде, хороший, вроде, порядочный. Даже дочке подарки приносил. Даже вскользь возникали разговоры о совместной жизни. 

И тут нежданно-негаданно Вера забеременела. 

Ее мужчина воспринял ситуацию адекватно. Вначале. 

А потом испарился. И чтобы все выглядело не совсем уж некрасиво, ушел якобы после вызванной ссоры, обиделся. Психанул. Она тоже психанула и записалась на аборт. 

Но потом передумала. 

—У меня так долго не получалось забеременеть, ну, вы знаете. 

А тут так просто получилось. Я не знаю, что делать. Мне ужасно жалко. Но и растить одной двоих … 

Вера — наша коллега. Мы сидим в ординаторской втроем, с нами еще заведующая. 

—Вера, никто не сделает за тебя выбор. Но да, с двумя будет непросто… А с этим…совсем все? 

—Все. Я унижаться не буду. 

—Хочешь — рожай, поставим на учет. А не хочешь - прервем, выскоблим..— говорит заведующая. - Но лучше вакуум сделать в городе, чем выскабливать. У тебя 9 недель, есть еще время подумать. 

Вера снова подошла через месяц. 

Уже после аборта. На него она решилась практически сразу. Ей провели вакуум-аспирацию. Со слов Веры, были какие-то сложности : то ли в полость матки никак не могли попасть, то ли убрать все сразу не получалось… 

Она пришла проконсультироваться. После операции уже три с лишним недели прошло, а выделения никак не прекратятся. 

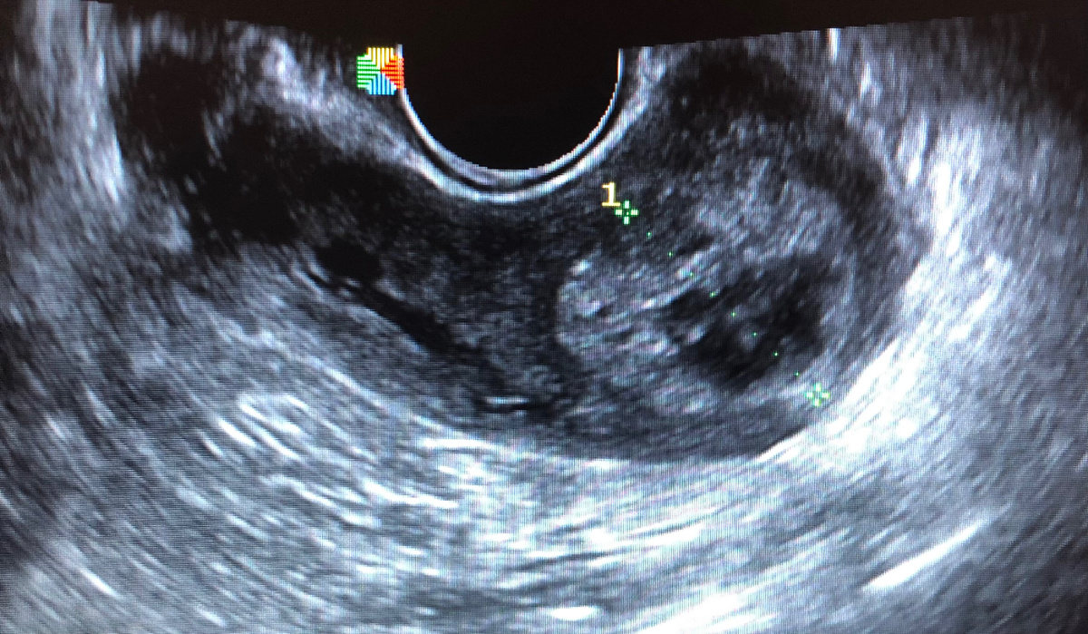
-Надо УЗИ, - говорит заведующая. - Эльмир, сделаешь ? 

-Да, конечно. 

-Тут сгустки крови и остатки тканей… 

-Значит, так и придется тебя выскабливать , - заведующая посмотрела на Веру. 

-Я так устала уже. Уже жалею.. Хотя нет, не жалею, зачем мне ребенок от такого мужчины. Неизвестно, какие там от него гены. 

Сделайте что-нибудь уже… Хочу, чтобы этот кошмар поскорее закончился. 

Эхо-картина остатков плодного яйца после аборта
Эхо-картина остатков плодного яйца после аборта

Вечером того же дня после выскабливания Вера ушла домой. 

Ну, а чего лежать. Дома дела ждут, дочь. Рекомендации она все получила, приходила каждый день на необходимые процедуры. 

На УЗИ через несколько дней все было чисто. Физически кошмар закончился. Но не в голове…

После этого печального эпизода своей жизни Вера еще долго не решалась на какие-либо отношения. 

Потом перестала бояться. Но, правда, пока до сих пор ничего серьезного не получается. Да и нужны больно эти отношения. Зато дочь растет, единственная любимая, умница, красавица.

А мужчина — дело наживное. Может, потом как -нибудь что и получится.