Добавить в корзинуПозвонить
Найти в Дзене
Новости Крыма | КИА

Без температуры и кашля: как распознать пневмонию

Пневмония всё чаще становится причиной госпитализации в Крыму. Каждого второго пациента в стационарах сейчас лечат от респираторных заболеваний. Почему бактериальная пневмония опаснее вирусной и как может маскироваться инфекция, корреспонденту Крымского информационного агентства рассказала главный внештатный специалист по инфекционным болезням Минздрава РК Татьяна Одинец. По словам специалиста, чаще всего пневмонию диагностируют у пожилых людей, а также у пациентов с хроническими заболеваниями сердечно-сосудистой и дыхательной систем. «В среднем неосложнённые формы ОРВИ и гриппа в условиях стационара лечатся за 5–7 дней. Если возникают осложнения, например, бронхит, терапия может занять до 10–12 дней. При пневмонии лечение более длительное — от двух до трёх недель», — пояснила врач. По её словам, среди пациентов стационаров есть больные, которым требуется изоляция — это случаи вирусной пневмонии. Также фиксируются случаи бактериальной пневмонии, таких пациентов лечат в пульмонологическ

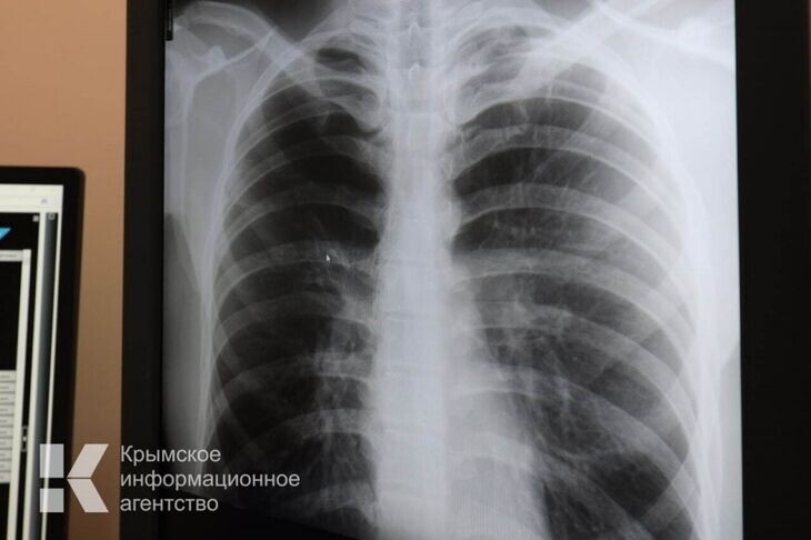
Пневмония всё чаще становится причиной госпитализации в Крыму. Каждого второго пациента в стационарах сейчас лечат от респираторных заболеваний. Почему бактериальная пневмония опаснее вирусной и как может маскироваться инфекция, корреспонденту Крымского информационного агентства рассказала главный внештатный специалист по инфекционным болезням Минздрава РК Татьяна Одинец.

По словам специалиста, чаще всего пневмонию диагностируют у пожилых людей, а также у пациентов с хроническими заболеваниями сердечно-сосудистой и дыхательной систем.

«В среднем неосложнённые формы ОРВИ и гриппа в условиях стационара лечатся за 5–7 дней. Если возникают осложнения, например, бронхит, терапия может занять до 10–12 дней. При пневмонии лечение более длительное — от двух до трёх недель», — пояснила врач.

По её словам, среди пациентов стационаров есть больные, которым требуется изоляция — это случаи вирусной пневмонии. Также фиксируются случаи бактериальной пневмонии, таких пациентов лечат в пульмонологических отделениях. Эта форма заболевания считается наиболее опасной и протекает тяжелее из-за выраженной интоксикации организма.

ЧИТАЙТЕ ТАКЖЕ: От насморка до реанимации: в Крым пробралась суперинфекция

«Для развития вирусной пневмонии необходимо либо большое количество вируса в организме, либо сильно ослабленный иммунитет. Слизистая оболочка верхних дыхательных путей — нос и ротоглотка — обычно способна задерживать вирус. Чаще он доходит лишь до уровня трахеи. А вот бактерии живут непосредственно в лёгочной ткани и при активации вызывают воспаление именно там. Поэтому бактериальные пневмонии встречаются чаще, чем вирусные», — отметила Одинец.

При этом симптомы вирусной и бактериальной пневмонии практически идентичны: высокая температура, ломота в теле, головная боль, одышка, кашель и боль в грудной клетке. В отдельных случаях вирусная пневмония может протекать скрыто и почти не ощущаться пациентом. К скрытым признакам вирусной пневмонии специалист отнесла немотивированную слабость, ощущение «разбитости» и появление одышки.

«Иногда только опытный врач может заподозрить заболевание по жёсткому дыханию. В таких случаях диагноз подтверждается при помощи рентгенографии или КТ. Вирусы размножаются очень быстро. Любой человек, который хотя бы раз болел ОРВИ, чувствует приближение болезни — появляется характерный дискомфорт. Если организм атакуют сразу несколько вирусов, заболевание может развиться стремительно — в течение нескольких часов», — добавила Одинец.

Читайте новости Крыма первыми в нашем Telegram-канале и даже когда не работает мобильный интернет в национальном мессенджере MAX.