Найти в Дзене

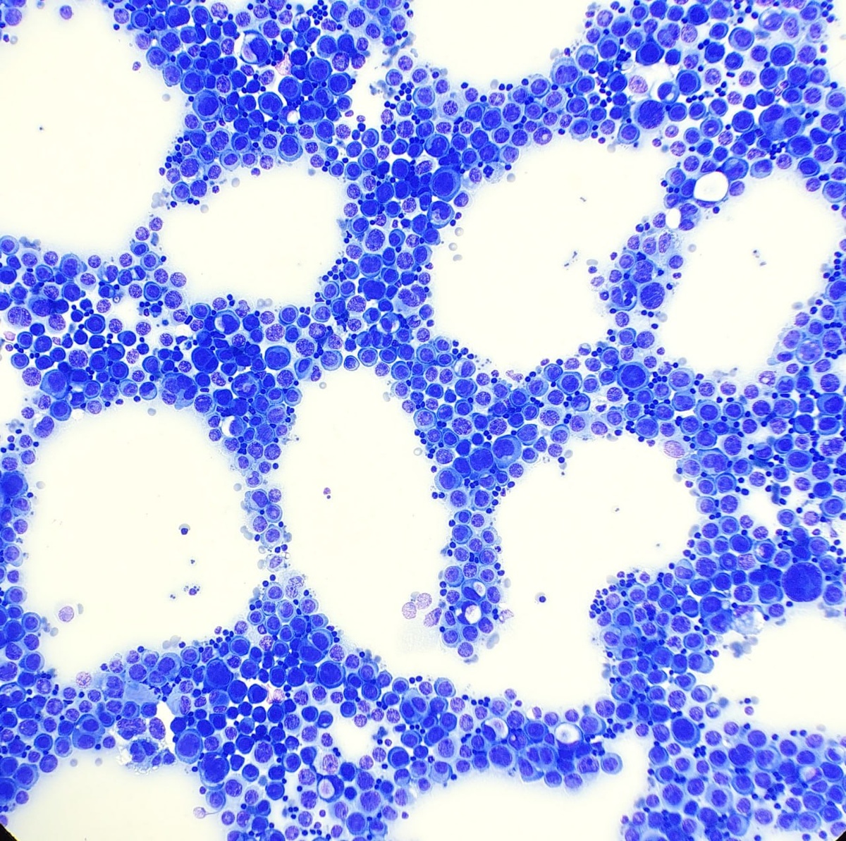
Опухолевые клетки лобулярной карциномы молочной железы и мезотелиальные клетки, формирующие сотовый рисунок в препарате плевральной

жидкости. #цитология #плевральнаяжидкость #молочнаяжелеза #цитологияжидкостей

Опухолевые клетки лобулярной карциномы молочной железы и мезотелиальные клетки, формирующие сотовый рисунок в препарате плевральной жидкости.

#цитология #плевральнаяжидкость #молочнаяжелеза #цитологияжидкостей