Найти в Дзене
КОЛЁК

Силиконовая грудь спасет вам жизнь!

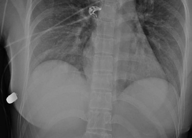
Силиконовый имплант стал настоящим спасителем для девушки, остановив пулю, которая была направлена прямо в её сердце.
Во время обследования врачи обнаружили, что пуля сломала ребро с правой стороны грудной клетки. Удивительно, но она вошла в левую молочную железу и, рикошетом от импланта, попала в правую.
Можно предположить, что некоторые девушки выбирают силиконовые импланты, чтобы повысить свою

Силиконовый имплант стал настоящим спасителем для девушки, остановив пулю, которая была направлена прямо в её сердце.

Рентген ранения
Рентген ранения

Во время обследования врачи обнаружили, что пуля сломала ребро с правой стороны грудной клетки. Удивительно, но она вошла в левую молочную железу и, рикошетом от импланта, попала в правую.

Можно предположить, что некоторые девушки выбирают силиконовые импланты, чтобы повысить свою безопасность на случай возможного попадания пули. А не для того чтобы больше нравиться парням😉

Фото импланта
Фото импланта