Добавить в корзинуПозвонить
Найти в Дзене
Naked Science

В кишечнике млекопитающих нашли древний антибиотик избирательного действия

Группа биологов и иммунологов выяснила роль белка интелектин-2 (Itln2), функции которого долгое время оставались для науки белым пятном. Исследование показало, что это древнее оружие слизистых оболочек, работающее как «двойной агент»: белок одновременно укрепляет защитный барьер кишечника и прицельно уничтожает широкий спектр бактерий. Интелектины — семейство белков, которые выделяются на слизистых оболочках. Если роль первого из них (Itln1) была известна, то его «брат» интелектин-2 (Itln2) оставался загадкой. Врачи замечали, что уровень этого белка меняется при заражении глистами или при болезни Крона, но не понимали механизм его работы. Ситуацию осложнял курьезный факт: самые популярные лабораторные мыши (линия C57BL/6), на которых десятилетиями изучали иммунитет, вообще лишены этого гена из-за давней мутации. Ученые пытались понять, как работает защита кишечника, глядя на животных, у которых «вырезан» кусок этой защиты. Чтобы исправить это, авторы исследования, опубликованного в жур
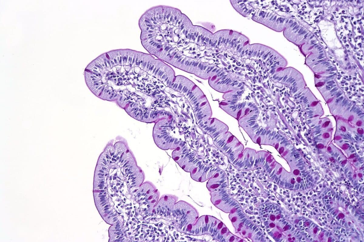
   Ворсинки в двенадцатиперстной кишке / © CoRus13
Ворсинки в двенадцатиперстной кишке / © CoRus13

Группа биологов и иммунологов выяснила роль белка интелектин-2 (Itln2), функции которого долгое время оставались для науки белым пятном. Исследование показало, что это древнее оружие слизистых оболочек, работающее как «двойной агент»: белок одновременно укрепляет защитный барьер кишечника и прицельно уничтожает широкий спектр бактерий.

Интелектины — семейство белков, которые выделяются на слизистых оболочках. Если роль первого из них (Itln1) была известна, то его «брат» интелектин-2 (Itln2) оставался загадкой. Врачи замечали, что уровень этого белка меняется при заражении глистами или при болезни Крона, но не понимали механизм его работы.

Ситуацию осложнял курьезный факт: самые популярные лабораторные мыши (линия C57BL/6), на которых десятилетиями изучали иммунитет, вообще лишены этого гена из-за давней мутации. Ученые пытались понять, как работает защита кишечника, глядя на животных, у которых «вырезан» кусок этой защиты. Чтобы исправить это, авторы исследования, опубликованного в журнале Nature Communications, создали специальную линию мышей с восстановленным геном Itln2.

Используя специальные чипы с тысячами различных углеводов, исследователи выяснили, что Itln2 работает как высокоточный сканер. Он распознает специфический сахар — терминальную β-D-галактопиранозу. Этот сахар входит в состав клеточных стенок и защитных капсул множества бактерий (и полезных, и вредных, грамположительных и грамотрицательных). Для бактерий это важная структурная молекула. Но еще этот вид галактозы есть в организме человека: в муцинах — белках, из которых состоит наша слизь.

Такой выбор мишени позволяет белку действовать в двух направлениях. Во-первых, для обороны: Itln2 находит сахар в муцинах слизи, связывается с ними и «сшивает» между собой, как цемент. Это делает защитный слой кишечника плотнее и непроходимее для врагов.

Во-вторых, для нападения: белок находит бактерии по этому маркеру и атакует их. Мышиная версия Itln2 напрямую разрушает оболочки бактерий, вызывая их гибель. Человеческий вариант (hItln2) действует иначе: он склеивает бактерии в комки, останавливая их размножение.

Любопытно, что белок способен связываться и с бактериями, и с клетками человека (так как нужный сахар есть и там, и там). Однако убивает он только микробы, оставляя человеческие ткани невредимыми. Каким образом он отличает наши клетки от бактериальных, пока не известно.

Авторы исследования пришли к выводу, что интелектины — это не просто очередные антибиотики, а «эволюционно древнее решение», появившееся у хордовых задолго до сложной иммунной системы с антителами, Т-клетками и другими адаптивными элементами.