Найти в Дзене
Ильинская больница

Мужчина 77 лет. Выраженная резкая боль в эпигастрии до 10/10 по визуально-аналоговой шкале, иррадиация в спину, выраженная тошнота.

- Боль в верхней части живота в течение нескольких дней - Самостоятельный приём препаратов «от желудка» — кратковременный эффект - Утром — резкое усиление боли - Спазмолитики и НПВС без эффекта - Гемодинамика относительно стабильна - Живот вздут, болезненность в эпигастрии - SpO₂ 92% - Перитонеальных симптомов нет - Общий билирубин 85 мкмоль/л, прямой 32 мкмоль/л - Умеренное повышение АСТ/АЛТ - CRP 38 мг/л - Лейкоцитоз с нейтрофилёзом - Hb 193 г/л, Ht до 60% - Липаза и амилаза — в норме ➡️ патологии нет ❗️ Несмотря на «чистое» КТ и отсутствие билиарной гипертензии боль сохранялась ➡️ принято клинически обоснованное решение — выполнить Магнитно-резонансную холангиопанкреатографию (МРХПГ) ✔️ Конкремент до 7 мм в интрапанкреатическом отделе холедоха ✔️ Минимальное расширение общего желчного протока (10–11 мм) ✔️ Желчный пузырь без камней 📊 Важно: до 20–30% камней желчных протоков могут быть рентген-негативными и не выявляться на КТ. В динамике состояние пациента ухудшилось с развитием би
Оглавление

📌 Как всё начиналось

- Боль в верхней части живота в течение нескольких дней

- Самостоятельный приём препаратов «от желудка» — кратковременный эффект

- Утром — резкое усиление боли

- Спазмолитики и НПВС без эффекта

📊 На момент поступления

- Гемодинамика относительно стабильна

- Живот вздут, болезненность в эпигастрии

- SpO₂ 92%

- Перитонеальных симптомов нет

🧪 Лабораторно

- Общий билирубин 85 мкмоль/л, прямой 32 мкмоль/л

- Умеренное повышение АСТ/АЛТ

- CRP 38 мг/л

- Лейкоцитоз с нейтрофилёзом

- Hb 193 г/л, Ht до 60%

- Липаза и амилаза — в норме

📉 КТ органов брюшной полости с контрастированием

-2

➡️ патологии нет

❗️ Несмотря на «чистое» КТ и отсутствие билиарной гипертензии боль сохранялась

➡️ принято клинически обоснованное решение — выполнить Магнитно-резонансную холангиопанкреатографию (МРХПГ)

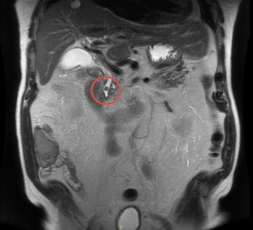
🧲 МРХПГ

✔️ Конкремент до 7 мм в интрапанкреатическом отделе холедоха

✔️ Минимальное расширение общего желчного протока (10–11 мм)

✔️ Желчный пузырь без камней

📊 Важно: до 20–30% камней желчных протоков могут быть рентген-негативными и не выявляться на КТ.

⚠️ Дальнейшее течение

В динамике состояние пациента ухудшилось с развитием билиарного сепсиса и септического шока:

- артериальная гипотензия

- потребность в вазопрессорной поддержке

- перевод в реанимацию

После экстренного выполнения ЭРХПГ и устранения билиарной обструкции:

- гемодинамика стабилизировалась

- вазопрессоры отменены

- состояние пациента улучшилось

📌 Итог

Сильная боль в верхней части живота — не всегда «желудок». Некоторые камни в желчных протоках не видны на КТ, но могут нарушать отток желчи и приводить к тяжёлой инфекции. Если боль не проходит, усиливается или сопровождается ухудшением анализов, важно срочно проходить дополнительное обследование. Раннее выявление и лечение причины может спасти жизнь.

Контакты Ильинской больницы