Найти в Дзене
Ray shades of gray

После насыщенных и долгих праздников, с которыми я всех от души поздравляю, вернёмся в рабочий ритм при помощи сложного случая, возможно

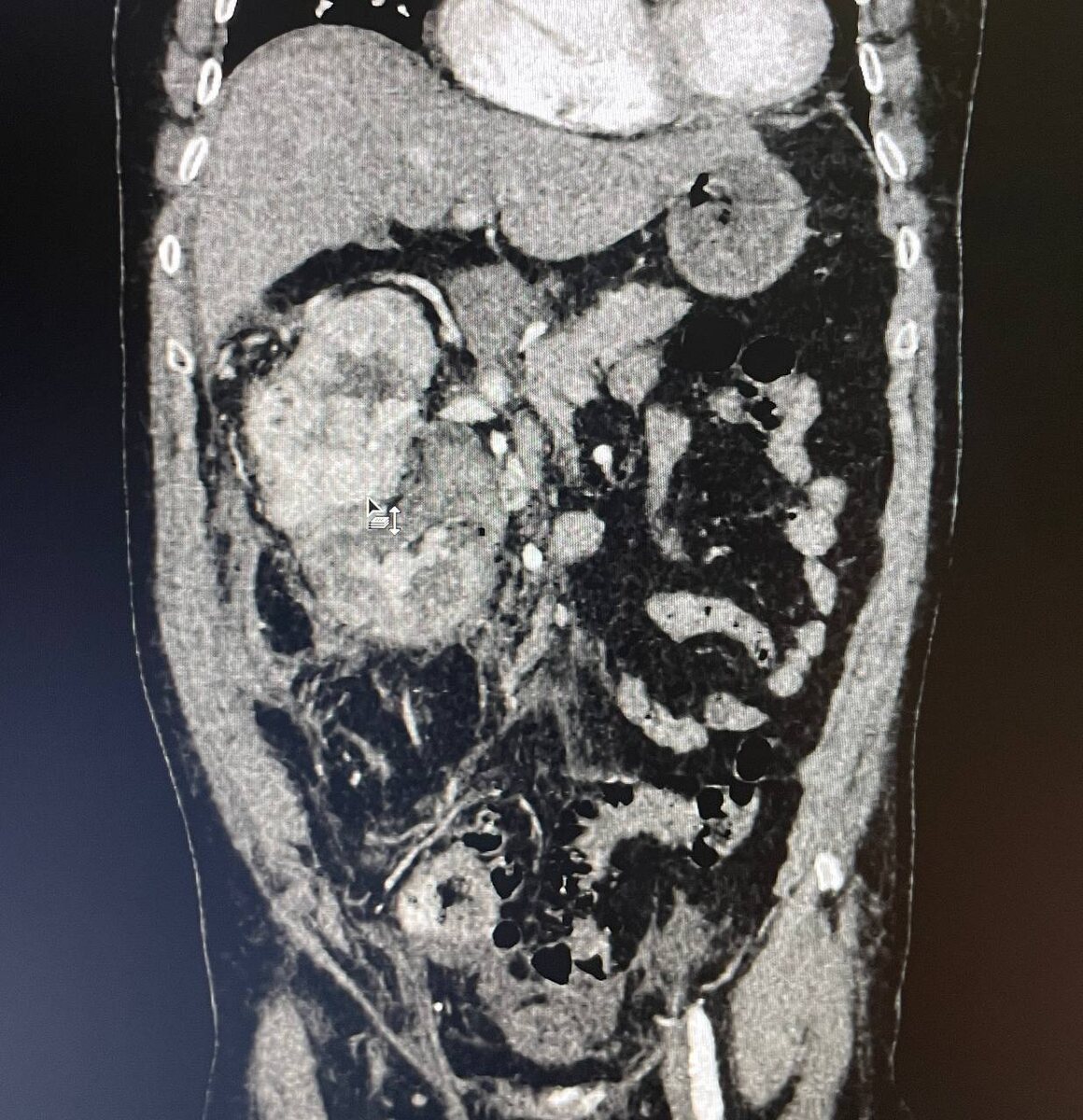
частого в онкологическом стационаре, но редкого в больнице скорой медицинской помощи. К нам на отделение зашли урологи, личное присутствие которых всегда намекает на нечто серьёзное, и попросили в заключении уже описанного исследования добавить классификацию Mayo, так как от этого принципиально зависит тактика лечения пациента с образованием почки. Уверенно сделав вид, что мы поняли о чём речь и сейчас всё допишем, обратились за помощью в интернет, в результате чего классификация была изучена и образованию в почке присвоен уровень II. *Классификацию прикреплю в комментариях. А пока подробнее про исследование. Во II, III сегментах правой почки определяется крупное гиперваскулярное образование единственной правой почки (1 фото, в анамнезе агенезия левой почки), с инвазией в ЧЛС (2 фото), с опухолевым тромбозом почечной вены, с пролапсом опухолевых масс в просвет нижней полой вены (3 фото). Отёк паренхимы правой почки со снижением её выделительной функции. Каликопиелоэктазия с геморраги

После насыщенных и долгих праздников, с которыми я всех от души поздравляю, вернёмся в рабочий ритм при помощи сложного случая, возможно частого в онкологическом стационаре, но редкого в больнице скорой медицинской помощи.

К нам на отделение зашли урологи, личное присутствие которых всегда намекает на нечто серьёзное, и попросили в заключении уже описанного исследования добавить классификацию Mayo, так как от этого принципиально зависит тактика лечения пациента с образованием почки. Уверенно сделав вид, что мы поняли о чём речь и сейчас всё допишем, обратились за помощью в интернет, в результате чего классификация была изучена и образованию в почке присвоен уровень II. *Классификацию прикреплю в комментариях. А пока подробнее про исследование.

Во II, III сегментах правой почки определяется крупное гиперваскулярное образование единственной правой почки (1 фото, в анамнезе агенезия левой почки), с инвазией в ЧЛС (2 фото), с опухолевым тромбозом почечной вены, с пролапсом опухолевых масс в просвет нижней полой вены (3 фото). Отёк паренхимы правой почки со снижением её выделительной функции. Каликопиелоэктазия с геморрагическим содержимым в чашах и лоханке. Остаточная забрюшинная гематома справа (образовалась после попытки установки нефростомы, опухолевые массы в ЧЛС помешали манипуляции, оставленную нефростому можем видеть вдоль заднего листка фасции Героты - выполняет функции дренажа сформировавшейся забрюшинной гематомы).

Также определяется гиперваскулярное образование в латеральной ножке правого надпочечника (mts?, 4 фото). Диффузные изменения печени. Липоматоз поджелудочной железы. Асцит. Дивертикулёз сигмовидной кишки без признаков дивертикулита. Атеросклероз брюшного отдела аорты и подвздошных артерий. ДДЗП.

С учётом степени распространения опухолевых масс, возраста и состояния пациента, продолжена консервативная терапия в виду высокого риска летального исхода при оперативном вмешательстве. Разумеется, пациент диализный.

#классификацияmayo #опухольпочкикт

-2
-3
-4