Найти в Дзене

🕑Как образуется зубной налёт и почему он не смывается водой

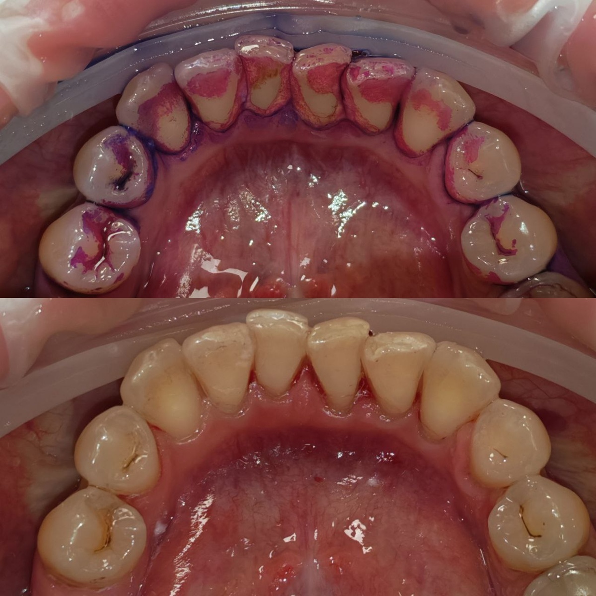
? Всех с выходом в рабочие дни.🥰 Старый Новый год проводим и возвращаемся к обычному ритму.😊 Зубной налёт -это не просто остатки еды. Это биологическая плёнка, которая образуется на зубах "постоянно", даже если вы ничего не ели. Сначала на поверхности зуба появляется тонкий слой из компонентов слюны.(пилликула) Он есть у всех и появляется в течение нескольких часов.🔻 На этот слой быстро прикрепляются бактерии, так и формируется налёт. 📍Важно понимать: налёт "плотно фиксируется" на эмали. Он не лежит сверху, а буквально прилипает к поверхности зуба. Поэтому вода: 👍может смыть остатки пищи 👍освежить полость рта 👍 снизить кислотность НО "не удаляет сам налёт". Чтобы разрушить эту плёнку, нужно механическое воздействие: 👉щётка 👉 нить 👉ёршики 👉монопучковая щётка 👉профессиональная чистка Если налёт регулярно не удалять, он: ✔️ уплотняется ✔️накапливает минералы из слюны ✔️ постепенно превращается в зубной камень 📍Зубной камень — это уже твёрдое образование. Он не убир

🕑Как образуется зубной налёт и почему он не смывается водой?

Всех с выходом в рабочие дни.🥰

Старый Новый год проводим и возвращаемся к обычному ритму.😊

Зубной налёт -это не просто остатки еды.

Это биологическая плёнка, которая образуется на зубах "постоянно", даже если вы ничего не ели.

Сначала на поверхности зуба появляется тонкий слой из компонентов слюны.(пилликула)

Он есть у всех и появляется в течение нескольких часов.🔻

На этот слой быстро прикрепляются бактерии, так и формируется налёт.

📍Важно понимать:

налёт "плотно фиксируется" на эмали.

Он не лежит сверху, а буквально прилипает к поверхности зуба.

Поэтому вода:

👍может смыть остатки пищи

👍освежить полость рта

👍 снизить кислотность

НО "не удаляет сам налёт".

Чтобы разрушить эту плёнку, нужно механическое воздействие:

👉щётка

👉 нить

👉ёршики

👉монопучковая щётка

👉профессиональная чистка

Если налёт регулярно не удалять, он:

✔️ уплотняется

✔️накапливает минералы из слюны

✔️ постепенно превращается в зубной камень

📍Зубной камень — это уже твёрдое образование.

Он не убирается ни водой, ни домашней щёткой.

Даже при хорошей гигиене дома остаются зоны риска:

👉межзубные промежутки

👉область вдоль дёсен

👉труднодоступные участки

Именно там налёт чаще всего и задерживается.

Профилактика нужна не потому, что «плохо чистят»,

а потому что "полностью убрать налёт дома невозможно".

Здоровые зубы:советы💪