Добавить в корзинуПозвонить
Найти в Дзене
Александр Лесников

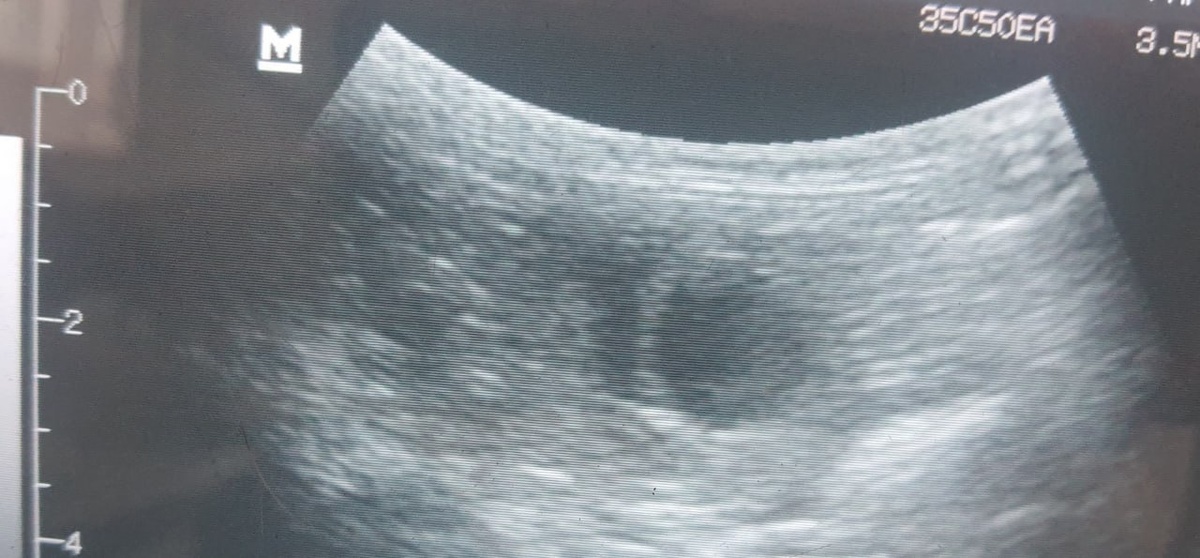
Кисты в почках

Доброкачественное, заполненное жидкостью, образование в ткани почки. Они могут быть одиночными (солитарными) — чаще возрастные изменения, слабо влияющие на функцию почек. Может быть и поликистоз почек (ПКП) — наследственное заболевание, чаще характерное для персидских, экзотических, британских и шотландских пород. При ПКП со временем образуется множество кист в обеих почках, которые постепенно замещают здоровую ткань, приводя к почечной недостаточности. Мероприятия следующие. Биохимический анализ крови: показатели креатинин, мочевина, фосфор, калий, общий белок. Это главный тест на почечную недостаточность. Общий клинический анализ крови: оценка анемии (частое осложнение болезней почек). Общий анализ мочи с микроскопией осадка: удельный вес (плотность) мочи — ключевой показатель концентрационной способн

Кисты в почках. Доброкачественное, заполненное жидкостью, образование в ткани почки. Они могут быть одиночными (солитарными) — чаще возрастные изменения, слабо влияющие на функцию почек. Может быть и поликистоз почек (ПКП) — наследственное заболевание, чаще характерное для персидских, экзотических, британских и шотландских пород. При ПКП со временем образуется множество кист в обеих почках, которые постепенно замещают здоровую ткань, приводя к почечной недостаточности. Мероприятия следующие.

Биохимический анализ крови: показатели креатинин, мочевина, фосфор, калий, общий белок. Это главный тест на почечную недостаточность.

Общий клинический анализ крови: оценка анемии (частое осложнение болезней почек).

Общий анализ мочи с микроскопией осадка: удельный вес (плотность) мочи — ключевой показатель концентрационной способности почек. Наличие белка, кристаллов, инфекции. Если киста одиночная, маленькая (например, <1 см), анализы крови и мочи в норме, кот молод и симптомов нет, то тактика - наблюдение. Повторить УЗИ почек и анализы крови/мочи через 6-12 месяцев для контроля динамики. Если киста не растет и функция не страдает, далее контроль раз в 1-2 года.

Если кисты множественные (подозрение на поликистоз), большие (>1.5-2 см), или анализы показывают начало почечной недостаточности, то применяется тактика активного лечения.

Пожизненный переход на лечебный корм для кошек с болезнями почек (почечная диета) - основа терапии. Кисты и почечная недостаточность часто вызывают гипертензию. Коррекция вторичных симптомов - при снижении гемоглобина — препараты железа, стимуляторы эритропоэза. При повышенном фосфоре — фосфорсвязывающие добавки к пище.

При развитии хронической болезни почек (ХБП) 2-4 стадии могут периодически требоваться капельные инфузии.

В редких случаях (очень большая, симптомная киста) может рассматриваться вопрос о ее хирургическом удалении или аспирации (откачивании жидкости) под контролем УЗИ. Но это сложная процедура с рисками, проводится строго по показаниям.

При приобретении котов лучше делать генетический тест на поликистоз почек (PKD-тест). Особенно актуально, если порода кота входит в группу риска. Делается по образцу буккального соскоба (с внутренней стороны щеки) или крови.

Прогноз при одиночной, простой кисте и нормальной функции почек — благоприятный при динамическом наблюдении.

При поликистозе почек (ПКП) — прогноз осторожный. Заболевание прогрессирующее, но при ранней диагностике и пожизненном грамотном поддерживающем лечении можно значительно замедлить его развитие и обеспечить котику хорошее качество жизни на долгие годы.

Помним про профосмотры!

-2