Добавить в корзинуПозвонить
Найти в Дзене

Сколько лет простоят виниры???

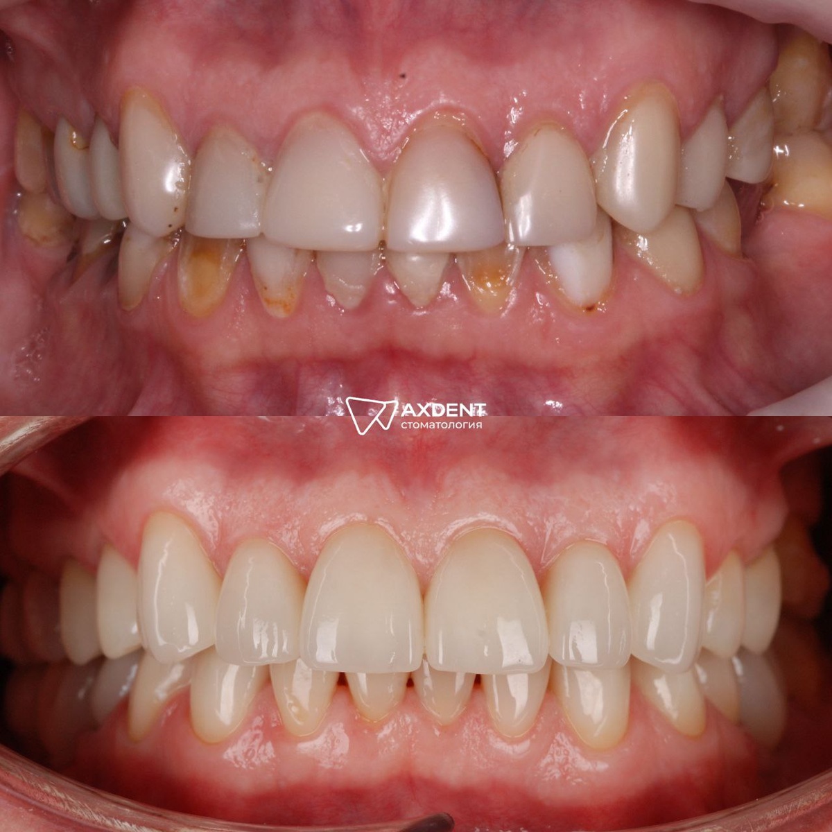
Краеугольный вопрос для всех! Без преувеличения. Человек уже не может и не хочет видеть свою улыбку в удручающем состоянии. Он хочет сиять, ослеплять, красиво хохотать в компании друзей. А как для женщин это важно! Сделала макияж, прическу, улыбнулась, а во рту так же красиво, как и вокруг этого самого рта. И селфи с подружками сделать опять же таки важно с красивой улыбкой. Ну вы сами понимаете. Но включается счётчик. “Это я сейчас вложу кучу денег. Похожу красивый лет пять, а потом что? Опять сколы, потемнения, трещины?”. Если бы я был далек от стоматологии, тоже бы прикидывал, измерял вложения и риски, сидел бы с калькулятором и нахмуренным лбом, устраивал допрос докторам. Но вот пример на фото… Пациентка получила “винирную улыбку” у нас пять лет назад. Пришла на осмотр и мы решили обновить фотогалерею. И что же мы видим? Виниры стоят так, будто мы их поставили вчера. Все керамические реставрации состоятельны, швы идеальны, рецидивов нет. Что мешает простоять этим конструкциям еще 1

Краеугольный вопрос для всех! Без преувеличения. Человек уже не может и не хочет видеть свою улыбку в удручающем состоянии. Он хочет сиять, ослеплять, красиво хохотать в компании друзей. А как для женщин это важно! Сделала макияж, прическу, улыбнулась, а во рту так же красиво, как и вокруг этого самого рта. И селфи с подружками сделать опять же таки важно с красивой улыбкой. Ну вы сами понимаете.

Но включается счётчик. “Это я сейчас вложу кучу денег. Похожу красивый лет пять, а потом что? Опять сколы, потемнения, трещины?”.

Если бы я был далек от стоматологии, тоже бы прикидывал, измерял вложения и риски, сидел бы с калькулятором и нахмуренным лбом, устраивал допрос докторам. Но вот пример на фото…

Пациентка получила “винирную улыбку” у нас пять лет назад. Пришла на осмотр и мы решили обновить фотогалерею. И что же мы видим? Виниры стоят так, будто мы их поставили вчера. Все керамические реставрации состоятельны, швы идеальны, рецидивов нет. Что мешает простоять этим конструкциям еще 10 лет? Ничего. Конечно, есть одно условие.

Если ваши зубы живые, если они правильно препарированы (то есть обточены бережно и точно), если там ещё есть, за что бороться и ткани сохранены, то срока службы у ваших виниров как таковых нет. Будут стоять, служить, радовать до упора. Запоминаем. Основной фактор - качество зубов. Изношенные зубы - другая история. Мы не ожидаем от них 30-летней службы, но и удалять с криком “имплантация форева” не верная стратегия.

Вот например, с этой улыбкой вот еще какое происшествие было. Уже после установки виниров, примерно 1,5 года назад, нам пришлось удалить зуб внизу. До этого мы сохраняли его, но случился перелом корня, не оставивший шансов. На судьбе остальных зубов это никак не сказалось - установили имплант, короновали его и, уверен, через 5 лет про этот зубной ряд сможем точно так же сказать: “Стоит без нареканий, кругом красота и симметрия”.

Всегда надо соизмерять приложенные усилия и результат.

Установить виниры на сохранные зубы, исправить эстетику, добиться идеальной картинки можно без опасений о продолжительности службы ваших новых зубов. Главное - сделать всё качественно. А чтобы узнать точные прогнозы, нужна очная консультация.