Найти в Дзене

Hallux rigidus (артроз сустава большого пальца): симптомы, стадии, лечение и когда нужна операция

Большой палец стопы — главный рычаг при отталкивании. Именно он завершает каждый шаг.
Когда первый плюснефаланговый сустав теряет подвижность, человек начинает незаметно подстраиваться: разворачивает стопу наружу, переносит нагрузку на внешний край, быстрее устаёт и со временем получает боль в плюсне, колене или пояснице. Hallux rigidus — это артроз сустава большого пальца.
Хрящ истончается, суставная щель сужается, сверху формируются костные разрастания, и палец превращается в жёсткий «шарнир». Если хотите быстро сориентироваться по вариантам лечения и операциям на стопе, загляните на doctoroleynik.com. Чаще всего hallux rigidus развивается после: В клинической практике при одностороннем процессе след травмы в анамнезе встречается очень часто. Типичный возраст — после 50 лет, женщины сталкиваются с проблемой чаще мужчин.
Несмотря на небольшой размер сустава, нагрузка на него серьёзная: при шаге через него может проходить более массы тела. Это не «косточка» (hallux valgus). При valgus
Оглавление

Hallux rigidus (артроз сустава большого пальца): симптомы, стадии, лечение и когда нужна операция

«Палец не гнется» это не мелочь

Большой палец стопы — главный рычаг при отталкивании. Именно он завершает каждый шаг.
Когда первый плюснефаланговый сустав теряет подвижность, человек начинает незаметно подстраиваться: разворачивает стопу наружу, переносит нагрузку на внешний край, быстрее устаёт и со временем получает боль в плюсне, колене или пояснице.

Hallux rigidus — это артроз сустава большого пальца.
Хрящ истончается, суставная щель сужается, сверху формируются костные разрастания, и палец превращается в жёсткий «шарнир».

Если хотите быстро сориентироваться по вариантам лечения и операциям на стопе, загляните на doctoroleynik.com.

Что это и почему возникает

Чаще всего hallux rigidus развивается после:

  • травмы большого пальца;
  • повторных микротравм (бег по жёсткому покрытию, футбол, прыжки);
  • ситуации «ударил палец — и забыл».

В клинической практике при одностороннем процессе след травмы в анамнезе встречается очень часто.

Типичный возраст — после 50 лет, женщины сталкиваются с проблемой чаще мужчин.
Несмотря на небольшой размер сустава, нагрузка на него серьёзная: при шаге через него может проходить более массы тела.

Чем hallux rigidus НЕ является

Это не «косточка» (hallux valgus). При valgus ведущая история это деформация и отклонение пальца. При rigidus ведущая история это износ сустава и жесткость: палец внешне может выглядеть почти нормально, но ходить больно.

Симптомы, которые стоит заметить

Задайте себе простой вопрос:
больно именно при отталкивании и палец плохо поднимается вверх?

Частые признаки:

  • боль в суставе большого пальца при ходьбе, беге, подъёме в горку;
  • скованность после покоя, ощущение «деревянного» пальца;
  • натирание и выпирание сверху сустава (костный выступ упирается в обувь);
  • уменьшение подъёма пальца вверх — вместо 40–60° остаётся 20°, 10° и меньше;
  • иногда покалывание или онемение из-за раздражения нерва.

Стадии: как врачи выбирают лечение

Чаще всего ориентируются на классификацию Coughlin–Shurnas:

  • 0–1 стадия
    Подъём пальца сохранён частично, боль только в крайних положениях, суставная щель сохранена.
  • 2 стадия
    Подвижность снижается до 10–30°, боль становится регулярной, щель заметно сужается.
  • 3–4 стадия
    Подвижность ≤10°, постоянная боль, на поздней стадии болит даже без активного движения.

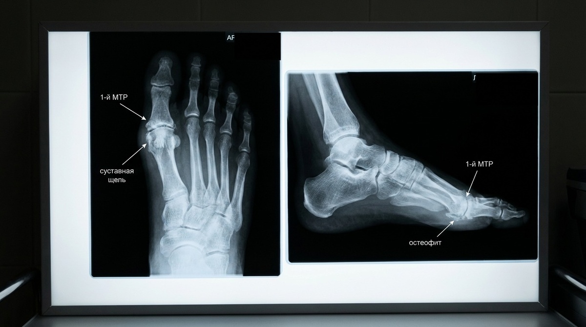
Диагностика: что нужно для точного плана лечения

-2

Обычно достаточно:

  • осмотра;
  • рентгена стопы под нагрузкой в нескольких проекциях.

По снимкам видно степень износа сустава, по осмотру — реальные градусы движения.
МРТ требуется редко — в спорных случаях или при подозрении на локальные повреждения хряща.

Важно: если сустав внезапно стал красным, горячим и резко болезненным, это может быть не артроз, а воспалительное состояние (например, подагра). Алгоритм лечения там другой.

Лечение без операции: рабочая тактика на ранних стадиях

-3

На ранних стадиях задача простая — уменьшить боль и убрать конфликт сустава с обувью.

Обычно используют:

  • обувь с жёсткой подошвой и перекатом (rocker);
  • ортопедические стельки, ограничивающие сгибание большого пальца;
  • корректировку нагрузки;
  • курсы противовоспалительных препаратов при обострениях.

Инъекция кортикостероида может временно уменьшить боль, но артроз не останавливает.

Важный момент:
агрессивная «разработка через боль» часто ухудшает состояние, если проблема связана с костным конфликтом.

Когда операция становится разумным решением

Операцию рассматривают не «по снимку», а по качеству жизни.

Показания:

  • боль мешает ходить, работать, заниматься спортом;
  • консервативные меры не дают устойчивого эффекта;
  • подвижность пальца быстро снижается;
  • костные выступы постоянно натираются обувью;
  • при поздних стадиях боль появляется даже без активного движения.

Какие операции делают и что они решают

Хейлэктомия
Удаляют костные разрастания сверху сустава, чтобы вернуть подвижность и убрать конфликт с обувью. Подходит при ранних и средних стадиях.

Остеотомии
Иногда дополняют хейлэктомию, чтобы улучшить механику отталкивания.

Артродез (сращение сустава)
Применяется при тяжёлых стадиях. Движения не будет, но боль обычно уходит надёжно.

Артропластика / интерпозиционные методики
Попытка сохранить движение. Подходит не всем и требует тщательного отбора.

Восстановление: ориентиры

  • После хейлэктомии ходьба в специальной обуви часто разрешается уже в первые недели, комфорт возвращается в среднем за 4–8 недель.
  • После артродеза восстановление более длительное и требует строгого соблюдения режима нагрузки.

Итог

Hallux rigidus — это не «возрастная мелочь» и не просто жёсткий палец.
Это состояние, которое меняет походку, перегружает соседние суставы и постепенно ограничивает движение.

Чем раньше появляется точный диагноз и понятный план действий, тем больше шансов обойтись без тяжёлых решений.
А если операция всё-таки нужна, современные методы позволяют вернуть предсказуемую и безболезненную ходьбу.

Если хотите разобрать варианты «что подходит именно вам» по стадии, нагрузкам и обуви, начните с материалов на doctoroleynik.com и дальше уже обсуждайте план очно.