Добавить в корзинуПозвонить
Найти в Дзене

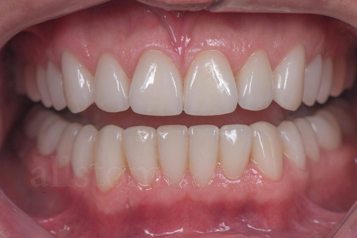
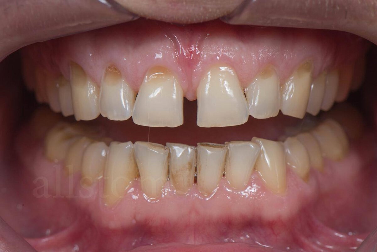
“Красивая улыбка начинается там, где ничего не болит

”🦷✨ Мы с коллегами завершили большую комплексную работу под руководством ортопеда Александра Иванькова. Случай непростой: бруксизм, стираемость, эстетические дефекты. Моя задача в этой команде создать идеальный фундамент. Санация, перелечивание каналов, подготовка зубов. Это та работа, которая скрыта под керамикой, но именно от неё зависит, как долго проживет улыбка. Горжусь результатом и нашей командной работой! Эстетика это прекрасно, но она обязана стоять на здоровой основе. 👉 Полный разбор клинического случая и фото «До/После» смотрите на канале доктора Иванькова: https://t.me/allstom/79

“Красивая улыбка начинается там, где ничего не болит.”🦷✨

Мы с коллегами завершили большую комплексную работу под руководством ортопеда Александра Иванькова. Случай непростой: бруксизм, стираемость, эстетические дефекты.

Моя задача в этой команде создать идеальный фундамент. Санация, перелечивание каналов, подготовка зубов. Это та работа, которая скрыта под керамикой, но именно от неё зависит, как долго проживет улыбка.

Горжусь результатом и нашей командной работой! Эстетика это прекрасно, но она обязана стоять на здоровой основе.

👉 Полный разбор клинического случая и фото «До/После» смотрите на канале доктора Иванькова: https://t.me/allstom/79

-2