Добавить в корзинуПозвонить
Найти в Дзене

Почему исправление прикуса у одних занимает год, а у других — три: 5 ключевых факторов

Почему один и тот же «кривой прикус» у разных людей лечится от 12 до 36 месяцев и какие 5 факторов сильнее всего влияют на сроки. Исправление прикуса может занять как 6 месяцев, так и растянуться до 3,5 лет — даже если на первый взгляд зубы выглядят «примерно одинаково». Длительность лечения определяют пять ключевых факторов: возраст пациента, тип и сложность аномалии прикуса, выбор между брекетами и элайнерами, состояние дёсен и костной ткани, а также дисциплина в соблюдении рекомендаций врача. Врач-ортодонт Сергей Суджаев, основатель клиники «Студия улыбки», объясняет механизмы влияния каждого фактора и показывает на примерах пациентов, почему одинаковые на вид проблемы требуют разного времени для исправления. На консультациях пациенты часто удивляются: «Почему моему другу обещали год для исправления прикуса, а мне — два? Зубы же похоже искривлены!» Действительно, внешне случаи могут выглядеть одинаково, но длительность лечения отличается в разы. Самое быстрое лечение в моей практик
Оглавление

Почему один и тот же «кривой прикус» у разных людей лечится от 12 до 36 месяцев и какие 5 факторов сильнее всего влияют на сроки.

Исправление прикуса может занять как 6 месяцев, так и растянуться до 3,5 лет — даже если на первый взгляд зубы выглядят «примерно одинаково».
Длительность лечения определяют пять ключевых факторов: возраст пациента, тип и сложность аномалии прикуса, выбор между брекетами и элайнерами, состояние дёсен и костной ткани, а также дисциплина в соблюдении рекомендаций врача.

Врач-ортодонт Сергей Суджаев, основатель клиники «Студия улыбки», объясняет механизмы влияния каждого фактора и показывает на примерах пациентов, почему одинаковые на вид проблемы требуют разного времени для исправления.

Почему исправление прикуса у одних занимает год, а у других — три: 5 ключевых факторов
Почему исправление прикуса у одних занимает год, а у других — три: 5 ключевых факторов

На консультациях пациенты часто удивляются: «Почему моему другу обещали год для исправления прикуса, а мне — два? Зубы же похоже искривлены!»

Действительно, внешне случаи могут выглядеть одинаково, но длительность лечения отличается в разы.

Стандартные прогнозы исправления прикуса и зубов на первичной консультации:

  • Лёгкие и средние случаи — 12 месяцев
  • Сложные случаи — 1,5–2 года
  • Особо сложные — 2,5–3,5 года

Самое быстрое лечение в моей практике заняло 6 месяцев — дисциплинированный подросток с небольшой скученностью.

Самое длительное — 3,5 года: сложный дистальный прикус у взрослого пациента с крупными зубами, где требовалось масштабное перемещение с микроимплантами.

Почему такая разница? Давайте разберём пять ключевых факторов на конкретных клинических случаях.

Фактор 1. Возраст пациента и скорость перестройки костной ткани

Зубы способны перемещаться в любом возрасте — это подтверждается практикой и исследованиями.

Но скорость перестройки костной ткани у подростка и у человека после 40 лет сильно отличается.

В молодом возрасте костная ткань более пластична, процессы ремоделирования идут быстрее.

Кроме того, у молодых пациентов обычно больше собственных зубов, а в ортодонтии зубы перемещаются с опорой друг на друга. Чем больше опорных точек, тем эффективнее биомеханика.

Также у молодых пациентов более здоровые зубы: меньше кариесов, пульпитов, проблем с пародонтом.

Подростки: быстрая перестройка костной ткани, но проблемы с дисциплиной

Самый быстрый прогресс наблюдается у подростков 12–16 лет.

Их костная ткань активно откликается на ортодонтическое воздействие, зубы буквально «летят» на место.

Но есть серьёзная проблема: подростки обычно немотивированные и недисциплинированные.

Они забывают носить межчелюстные тяги, пропускают приёмы, ломают брекеты на твёрдой пище. Из-за этого биологическое преимущество нивелируется, и сроки растут.

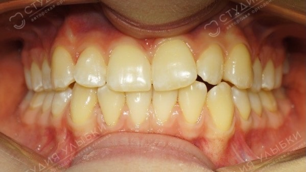
Пример из практики: подросток 15 лет с небольшой скученностью — лечение за 6 месяцев

Ко мне пришёл 15-летний пациент с небольшой скученностью зубов. Прикус в целом был хорошим, физиологичным — требовалась только коррекция положения зубов. Установлена брекет-система, стандартный прогноз — около года.

[ФОТО: ДО ЛЕЧЕНИЯ] 15 лет, небольшая скученность зубов, физиологичный прикус
[ФОТО: ДО ЛЕЧЕНИЯ] 15 лет, небольшая скученность зубов, физиологичный прикус

[ФОТО: ДО ЛЕЧЕНИЯ] 15 лет, небольшая скученность зубов, физиологичный прикус
[ФОТО: ДО ЛЕЧЕНИЯ] 15 лет, небольшая скученность зубов, физиологичный прикус

Но этот пациент оказался исключением. Он приходил на все приёмы день в день, соблюдал все рекомендации, идеально чистил зубы. Родители контролировали процесс, но подросток и сам был мотивирован.

[ФОТО: ПОСЛЕ ЛЕЧЕНИЯ] Результат через 6 месяцев
[ФОТО: ПОСЛЕ ЛЕЧЕНИЯ] Результат через 6 месяцев
[ФОТО: ПОСЛЕ ЛЕЧЕНИЯ] Результат через 6 месяцев
[ФОТО: ПОСЛЕ ЛЕЧЕНИЯ] Результат через 6 месяцев

Итоговый срок лечения: 6 месяцев — в два раза быстрее стандартного прогноза. Это отличная демонстрация того, что даёт сочетание молодого возраста и ответственного подхода.

На первой консультации я всегда объясняю родителям, насколько важна дисциплина их ребёнка для достижения результата в обещанные сроки.
Такие случаи, к сожалению, редкость. Гораздо чаще я вижу обратную картину — об этом расскажу в блоке про дисциплину.

Фактор 2. Сложность и тип аномалии прикуса

Не все «кривые зубы» одинаковы. Аномалии прикуса оцениваются в трёх плоскостях, и от того, сколько из них затронуто, зависит сложность и срок лечения.

Три направления аномалий прикуса

Горизонтальное направление — когда нарушена симметрия и какая-либо из челюстей смещена вперёд или назад относительно другой. В таком случае проводится компенсаторное лечение, направленное на устранение или «камуфлирование» разницы в размерах челюстей.

Горизонтальное направление нарушения прикуса — дистальный прикус, до лечения
Горизонтальное направление нарушения прикуса — дистальный прикус, до лечения
Горизонтальное направление нарушения прикуса — дистальный прикус, после лечения
Горизонтальное направление нарушения прикуса — дистальный прикус, после лечения

Вертикальное направление — например, открытый прикус (вертикальная щель между верхними и нижними резцами) или глубокий прикус, когда верхние резцы перекрывают нижние больше чем наполовину.

Вертикальное направление нарушения прикуса — глубокий прикус, до лечения
Вертикальное направление нарушения прикуса — глубокий прикус, до лечения
Вертикальное направление нарушения прикуса — глубокий прикус, после лечения
Вертикальное направление нарушения прикуса — глубокий прикус, после лечения

Трансверзальное направление (по ширине) — когда одна из челюстей шире или уже противоположной.

Сложность лечения во всех случаях зависит от степени выраженности аномалии и путей её устранения.

Трансверзальное направление нарушения прикуса — до лечения
Трансверзальное направление нарушения прикуса — до лечения
Трансверзальное направление нарушения прикуса — после лечения
Трансверзальное направление нарушения прикуса — после лечения

Объём перемещения зуба определяет продолжительность лечения

Чем больше объём перемещения зуба, тем больше срок лечения. Зуб не может «телепортироваться» — он двигается постепенно, примерно по 1 мм в месяц.

Если нужно сместить зубы на 5–7 мм, развернуть их, изменить наклон и отрегулировать контакты — счёт идёт на годы.

Если нарушена система челюстей в любом направлении, это уже говорит о том, что лечение будет сложным и займёт 1,5–2 года минимум.

Какие виды прикуса требуют самого длительного лечения

Есть методы лечения, которые удлиняют срок не из-за сложности, а из-за объёма перемещения.

Например, когда надо дистализировать (сместить назад) всю боковую группу зубов с применением микроимплантов — это очень объёмное перемещение.

Или вытяжение ретинированного клыка — это перемещение зуба, который не прорезался и находится в кости у взрослого человека. Это очень длительный и непредсказуемый этап.

Пример из практики: дистализация боковых зубов с микроимплантами — 1,5 года работы

Пациент обратился с первичной адентией — у него просто с рождения не было боковых резцов. Коренные клыки заняли их место, и это создавало проблему: эстетически выглядело плохо, плюс не хватало зубов для нормальной жевательной функции.

Задача: сместить зубы назад и освободить место для будущей имплантации боковых резцов.

[ФОТО: ДО ЛЕЧЕНИЯ] Коренные клыки на месте боковых резцов
[ФОТО: ДО ЛЕЧЕНИЯ] Коренные клыки на месте боковых резцов
[ФОТО: ДО ЛЕЧЕНИЯ] Коренные клыки на месте боковых резцов
[ФОТО: ДО ЛЕЧЕНИЯ] Коренные клыки на месте боковых резцов

Аппаратура: брекет-система + микроимпланты

Этапы лечения:

  • Удаление молочных клыков
  • Дистализация коренных клыков с опорой на микроимплант
  • Установление дентальных имплантов (приживается около 6 месяцев)
  • Финальная детализация положения зубов
  • Снятие брекетов и фиксация коронок на импланты
  • Ретенционный период
[ФОТО: ОРТОДОНТИЧЕСКИЙ ЭТАП] Место освобождено для имплантации
[ФОТО: ОРТОДОНТИЧЕСКИЙ ЭТАП] Место освобождено для имплантации
[ФОТО: ОРТОДОНТИЧЕСКИЙ ЭТАП] Место освобождено для имплантации
[ФОТО: ОРТОДОНТИЧЕСКИЙ ЭТАП] Место освобождено для имплантации

Фактический срок ортодонтического лечения: 1,5 года

При дистальном прикусе верхние зубы смещаются назад с опорой на микроимпланты. Такое лечение длительное, так как это достаточно объёмное перемещение зубов.

Если у пациента ещё и крупные зубы, это ещё больше удлиняет лечение — больше сопротивление костной ткани при перемещении. В таком случае лечение может длиться 2,5–3 года.

Такие случаи я всегда обсуждаю заранее: честно показываю пациенту, что на сложные перемещения нужно минимум полтора года, а иногда и больше.

[ФОТО: ПОСЛЕ ОРТОДОНТИЧЕСКОГО ЛЕЧЕНИЯ] Результат через 1,5 года
[ФОТО: ПОСЛЕ ОРТОДОНТИЧЕСКОГО ЛЕЧЕНИЯ] Результат через 1,5 года
[ФОТО: ПОСЛЕ ОРТОДОНТИЧЕСКОГО ЛЕЧЕНИЯ] Результат через 1,5 года
[ФОТО: ПОСЛЕ ОРТОДОНТИЧЕСКОГО ЛЕЧЕНИЯ] Результат через 1,5 года

Фактор 3. Выбор аппаратуры: брекеты или элайнеры

«Что быстрее — брекеты или элайнеры?» — это один из самых частых вопросов на консультациях. Ответ неоднозначный.

Почему элайнеры теоретически должны работать быстрее

С точки зрения биомеханики перемещения зубов, лечение на элайнерах должно быть короче. Это связано с тем, что все перемещения закладываются на этапе планирования лечения, и зубы перемещаются ровно настолько и в том направлении, которые заложены врачом. То есть перемещение идёт по заранее запланированной траектории и скорости.

При лечении на брекет-системе перемещение зубов более шаблонное, и врач на каждом приёме должен контролировать направление и объём перемещения зуба и корректировать при необходимости.

Но есть нюанс: есть определённые направления перемещений, при которых элайнеры справляются хуже. Это связано с физическими особенностями материала, из которого изготавливается элайнер. В таких случаях брекеты работают быстрее и предсказуемее.

В каких случаях рекомендуются элайнеры, даже если сроки увеличиваются

Даже если сроки могут быть чуть длиннее, элайнеры рекомендуются в следующих ситуациях:

  • Аллергия на металл — брекет-система противопоказана
  • Низкий уровень гигиены полости рта — с элайнерами проще поддерживать чистоту
  • Нарушения структуры эмали — брекеты могут повредить хрупкую эмаль
  • Много коронок и виниров — брекеты плохо фиксируются к искусственным материалам

Пример из практики: пациентка 43 лет выбрала элайнеры ради эстетики — срок лечения увеличился на 3 месяца

Пациентка 43 лет обратилась со средней скученностью зубов. На брекетах мы бы справились примерно за 12 месяцев.

Причина выбора элайнеров: работа связана с постоянным общением с людьми, публичные выступления. Пациентка категорически отказалась от брекетов из-за эстетики и комфорта.

[ФОТО: ДО ЛЕЧЕНИЯ] 43 года, средняя скученность
[ФОТО: ДО ЛЕЧЕНИЯ] 43 года, средняя скученность

Такие пациенты есть в практике. Решающее значение оказывают эстетические характеристики элайнеров (хотя носить брекеты в последнее время стало модным) и удобство в ношении.

[ФОТО: ПОСЛЕ ЛЕЧЕНИЯ] Результат через 15 месяцев на элайнерах
[ФОТО: ПОСЛЕ ЛЕЧЕНИЯ] Результат через 15 месяцев на элайнерах

Результат: лечение заняло 15 месяцев вместо 12 на брекетах. Пациентка довольна — за всё время лечения никто даже не заметил, что она что-то носит.

Иногда часть перемещений делается частично (на задних зубах) с помощью брекетов, а потом происходит переход на элайнеры. Такой комбинированный подход даёт хороший баланс между скоростью и комфортом.

Я часто объясняю пациентам, что элайнеры не всегда быстрее, но для занятых взрослых они могут быть выгоднее по жизненному времени и комфорту.

Фактор 4. Состояние пародонта и дёсен

Здоровье дёсен и костной ткани напрямую влияет на скорость и безопасность лечения.

Гингивит в острой стадии является противопоказанием для ортодонтического лечения. Перемещение зубов усугубит воспаление, и мы рискуем потерять костную ткань.

Чем лучше состояние костной ткани и связочного аппарата, который удерживает зуб (пародонта), тем более физиологично зубные ряды воспринимают нагрузку, и тем эффективнее и безопаснее идёт лечение.

Лечение прикуса у пациентов с проблемами пародонта

У пациентов старше 35–40 лет часто приходится разбивать лечение на этапы из-за состояния пародонта или других проблем. В таких случаях сначала проводится пародонтологическая подготовка, и только потом начинается ортодонтическое перемещение зубов.

Пример из практики: пациентка 27 лет с убылью костной ткани — совместная работа с пародонтологом

Обратилась девушка 27 лет за исправлением зубов. На первый взгляд — типичный случай для быстрого лечения. Но при диагностике была обнаружена убыль костной ткани в области нижних резцов.

Задача: выровнять зубы, но при этом не усугубить состояние костной ткани и не спровоцировать рецессию (опущение) десны.

[ФОТО: ДО ЛЕЧЕНИЯ] Убыль костной ткани в области нижних резцов
[ФОТО: ДО ЛЕЧЕНИЯ] Убыль костной ткани в области нижних резцов

Мы подключили врача-пародонтолога. Перед ортодонтическим лечением он провёл лоскутную операцию — подсадил костную ткань и поднял уровень десны в проблемной зоне. Это заняло около 2 недель на подготовку.

Затем поставили брекеты, но работали по специальной методике: форсированно меняли дуги, чтобы за счёт микровоспаления (которое возникает при перемещении зуба) искусственная костная ткань лучше срослась с биологической.

[ФОТО: ПОСЛЕ ЛЕЧЕНИЯ] Результат через 12 месяцев — костная ткань сохранена
[ФОТО: ПОСЛЕ ЛЕЧЕНИЯ] Результат через 12 месяцев — костная ткань сохранена

Результат: само ортодонтическое лечение заняло 12 месяцев. Плюс 2 недели подготовки. Костная ткань сохранена, рецессии нет. Девушка теперь наблюдается у пародонтолога — это важно для долгосрочного результата.

Без пародонтологической подготовки мы бы рисковали потерять опору для зубов. Да, сроки выросли, но безопасность всегда важнее скорости.

Фактор 5. Дисциплина пациента

Дисциплина пациента влияет на сроки лечения очень сильно. Необходимо вовремя посещать своего ортодонта и соблюдать все рекомендации.

Даже при идеальном плане лечения и современной аппаратуре, если пациент не соблюдает рекомендации — сроки увеличиваются на месяцы.

Что критично важно в лечении прикуса

Вовремя посещать приёмы. Каждый пропущенный визит — это минимум +1–2 месяца к сроку. Зуб продолжает двигаться по старой дуге, которая уже «отработала», и прогресс останавливается.

Носить межчелюстные тяги (эластики). Они нужны для финальной доработки прикуса. Без них лечение просто не завершится, сколько бы времени ни прошло.

Беречь аппаратуру. Отклеившийся брекет означает, что этот зуб перестал двигаться. Пока пациент не придёт на внеплановый приём, время потеряно.

Какие ошибки пациентов чаще всего удлиняют лечение

Что чаще всего удлиняет лечение:

  1. Неправильное ношение межчелюстных тяг — пациенты носят их нерегулярно или надевают неправильно
  2. Пропуски плановых приёмов — каждый пропущенный визит откатывает прогресс назад

Пример из практики: подросток 15 лет без дисциплины — 24 месяца без результата

Подросток 15 лет, стандартный случай. Планируемый срок — 18 месяцев на брекет-системе.

[ФОТО: ДО ЛЕЧЕНИЯ] 15 лет, стандартный случай
[ФОТО: ДО ЛЕЧЕНИЯ] 15 лет, стандартный случай

Главная проблема: дисциплина, точнее её полное отсутствие.

Подросток вообще не чистил зубы. На каждом приёме и с ним, и с родителями проводились профилактические беседы о важности качественной гигиены полости рта, но эффекта не было. Межчелюстные тяги (эластики) тоже не носились — из-за этого не было прогресса. Развился кариес практически на всех зубах.

[ФОТО: ПРОМЕЖУТОЧНЫЙ РЕЗУЛЬТАТ ЧЕРЕЗ 24 МЕСЯЦА] Результат не достигнут, множественный кариес
[ФОТО: ПРОМЕЖУТОЧНЫЙ РЕЗУЛЬТАТ ЧЕРЕЗ 24 МЕСЯЦА] Результат не достигнут, множественный кариес

Фактический срок: 24 месяца
Результат: не достигнут

Планировали 18 месяцев, по факту прошло 24, но желаемый результат так и не был достигнут. Лечение пришлось завершить преждевременно — из-за кариеса дальше было опасно продолжать. Пациент был направлен к терапевту лечить кариес.

Другие частые проблемы в дисциплине лечения прикуса

Бывало, что пациенты уезжали в длительные командировки на несколько месяцев или даже лет — лечение приходилось останавливать или начинать заново.

Ношение межчелюстных тяг обязательно для завершения лечения, но не все могут заставить себя. Кто-то из-за недостатка дисциплины, кто-то из-за работы (публичные выступления, переговоры — тяги мешают говорить).

Я честно показываю пациентам, что каждый пропущенный визит или сломанный брекет — это плюс 1–2 месяца к сроку. Скорость лечения — это всегда совместный проект врача и пациента.

Как врач-ортодонт определяет срок лечения на консультации

Точный прогноз возможен только после полной диагностики — снимков, моделей, анализа. Но уже на первой консультации оцениваются ключевые параметры:

Симметрия челюстей в трёх направлениях

Если челюсти развиты симметрично в трёх направлениях (горизонталь, вертикаль, ширина), тогда лечение несложное и вполне может длиться около года.

Если же размер в одном или во всех направлениях отличается, тогда лечение будет почти всегда дольше — 1,5–2 года и более.

Со значительной степенью вероятности это можно увидеть уже на этапе консультации.

Что входит в прогноз лечения на первичной консультации

На первичной консультации:

  • Собираются данные диагностики — клинический осмотр, фотографии, при необходимости направление на дополнительные снимки
  • Оцениваются все 5 факторов — возраст, сложность прикуса, состояние пародонта, возможности аппаратуры, готовность к сотрудничеству
  • Даётся вилка сроков и объясняется, от чего она зависит
  • Показываются варианты — брекеты или элайнеры, с учётом плюсов и минусов каждого метода

Срок всегда обсуждается до установки брекетов или элайнеров, а не после начала лечения.

Частые вопросы о сроках исправления прикуса

Можно ли сократить лечение прикуса, если нужно очень быстро?

При любом лечении нужно взвешивать положительные и отрицательные стороны от предполагаемого лечения. То, что полезно 15-летнему пациенту, может быть очень вредно более взрослому пациенту.

Иногда полноценное лечение проводить нельзя — оно больше навредит. В таких случаях лечение проводится частично, устраняя наиболее острые проблемы. Такое ограниченное лечение быстрее.

В целом, при небольших объёмах перемещения лечение на элайнерах может быть сильно быстрее, так как зубы перемещаются по заранее смоделированной траектории.

Элайнеры всегда лечат быстрее брекетов?

Нет, скорость зависит от плана и сложности случая. Элайнеры часто выбирают ради комфорта и эстетики, а не ради рекордных сроков. В некоторых случаях брекеты работают эффективнее и быстрее.

Что будет, если пропускать приёмы к ортодонту или не носить эластики?

Сроки растут, а результат становится менее предсказуемым. Это самая частая причина «растянувшегося» лечения. Каждый пропущенный визит — это минимум +1–2 месяца к общему сроку.

Почему у друга лечение прикуса прошло быстрее?

У всех разные случаи и разная сложность лечения. Даже если внешне зубы выглядят «одинаково кривыми», внутренняя биомеханика, плотность костной ткани, наклон корней, размер зубов могут кардинально отличаться.

Стоит ли начинать исправление прикуса в 40+ лет, если это займёт 2–3 года?

Да, если прикус мешает жевать, зубы стираются или вы хотите улучшить эстетику улыбки. Это зависит от состояния зубов и окружающих тканей. Три года — это инвестиция в десятилетия комфорта и здоровья.

Сроки исправления прикуса — это всегда индивидуальный прогноз, который зависит от пяти ключевых факторов:

  1. Возраст — влияет на скорость перестройки костной ткани и количество здоровых зубов
  2. Сложность аномалии прикуса — объём перемещения определяет время
  3. Выбор аппаратуры — брекеты и элайнеры работают по-разному в разных ситуациях
  4. Состояние пародонта и костной ткани — здоровые ткани ускоряют процесс
  5. Дисциплина пациента — самый непредсказуемый, но критичный фактор

Не существует «среднего срока для всех». Каждый случай уникален, и точный прогноз возможен только после полной диагностики и оценки всех пяти факторов.

Если вы хотите понять, сколько займёт именно ваше лечение и какие есть варианты по срокам и аппаратуре, вы можете записаться на консультацию в ортодонтическом центре «Студия улыбки». Врач‑ортодонт Сергей Суджаев разберёт ваш случай, предложит план и ответит на вопросы.

С заботой о Вашем здоровье и красоте.
Ждем на консультации +7 (985) 786-02-94
Если Вам понравилась статья, ставьте лайк и подписывайтесь на наш канал. Больше информации на нашем сайте https://studia-ulybki.ru/

Автор статьи

Сергей Суджаев. Врач-ортодонт, основатель и главный врач ортодонтической клиники «Студия улыбки».
Сергей Суджаев. Врач-ортодонт, основатель и главный врач ортодонтической клиники «Студия улыбки».

Сергей Суджаев

Врач-ортодонт, основатель и главный врач ортодонтической клиники «Студия улыбки».

  • Член европейского, американского и российского общества ортодонтов.
  • Эксперт СМИ, участник научных конгрессов и семинаров.
  • С отличием окончил ординатуру на кафедре ортодонтии и детского протезирования МГМСУ.
  • Несколько лет проработал на кафедре ортодонтии Московского медико-стоматологического университета и вел научную деятельность.
  • Стажировался в частных клиниках в Германии и США.
  • Опыт работы 14 лет.