Добавить в корзинуПозвонить
Найти в Дзене

Каждый прием пищи был испытанием. Как мы вернули улыбку и уверенность за 3 дня

История Владлены Владимировны — это пример того, как современная стоматология может кардинально изменить жизнь, даже когда ситуация кажется безнадежной. До обращения в клинику ее ежедневная реальность была полна ограничений: На консультации стоматолог-хирург, имплантолог Айк Карапетович Шароян обнаружил серьезные проблемы: Решение: современные методы вместо долгих мучений Врач предложил решение, которое позволило обойти сложности и получить результат всего за 3 дня — восстановление по усовершенствованной методике All-on-5 на верхнюю челюсть и All-on-4 на нижнюю. Что успели сделать за 3 дня: Результат, который говорит сам за себя: Хотите узнать, подойдет ли вам такой подход? Мы проводим бесплатные консультации — очно в клинике или онлайн для пациентов из других городов. Запишитесь, чтобы обсудить ваш случай и найти оптимальное решение. Позвоните: +7 (495) 463-24-34, не откладывайте возвращение качества жизни. Ведь для этого нужно всего 3 дня.

История Владлены Владимировны — это пример того, как современная стоматология может кардинально изменить жизнь, даже когда ситуация кажется безнадежной.

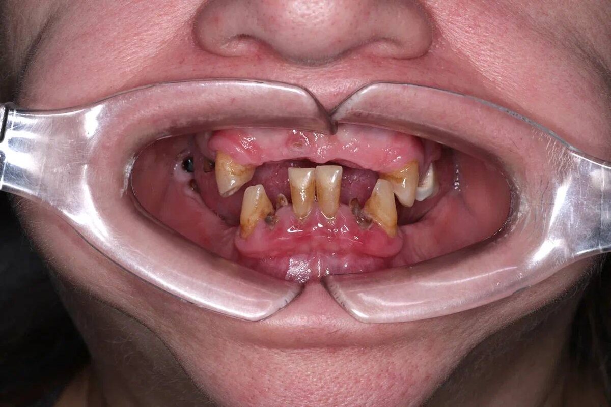
Владлена Владимировна, г. Москва, клиника доктора Севака Estetus
Владлена Владимировна, г. Москва, клиника доктора Севака Estetus

До обращения в клинику ее ежедневная реальность была полна ограничений:

  1. Больно жевать — каждый прием пищи превращался в испытание.
  2. Стеснение при разговоре — из-за состояния зубов сложно было открыто улыбнуться.
  3. Постоянный дискомфорт — и физический, и психологический.

На консультации стоматолог-хирург, имплантолог Айк Карапетович Шароян обнаружил серьезные проблемы:

  1. Критическая подвижность зубов, которые уже не могли выполнять свою функцию.
  2. Сильная атрофия костной ткани (кость со временем рассасывается).
  3. Хронические очаги воспаления, угрожающие здоровью.

Решение: современные методы вместо долгих мучений

Врач предложил решение, которое позволило обойти сложности и получить результат всего за 3 дня — восстановление по усовершенствованной методике All-on-5 на верхнюю челюсть и All-on-4 на нижнюю.

Что успели сделать за 3 дня:

  • Аккуратно удалили все несостоятельные зубы.
  • Установили 9 имплантатов (5 наверх, 4 вниз) в наиболее прочные участки кости, минуя атрофированные зоны.
  • Зафиксировали постоянные, укрепленные протезы — легкие, эстетичные и полностью функциональные.

Результат, который говорит сам за себя:

  • Свобода улыбаться — без стеснения и смущения.
  • Возможность жевать — без боли и ограничений в выборе продуктов.
  • Уверенность в себе — которая возвращается, когда ты не думаешь о своей улыбке каждый день.

Хотите узнать, подойдет ли вам такой подход?

Мы проводим бесплатные консультации — очно в клинике или онлайн для пациентов из других городов. Запишитесь, чтобы обсудить ваш случай и найти оптимальное решение.

Позвоните: +7 (495) 463-24-34, не откладывайте возвращение качества жизни. Ведь для этого нужно всего 3 дня.