Найти в Дзене

«Моя прекрасная девочка»: история, которая изменила не только прикус.

Если бы я была писательницей, эту главу своей ортодонтической истории я бы назвала «Моя прекрасная девочка». Вы наверняка знаете: существует такая зависимость — уверенные в себе люди ходят с ровной спиной, а стеснительные сутулятся, будто хотят сжаться в комочек и спрятаться. Эту прекрасную девочку ко мне привела её тётя. Сказала примерно так: «Мне всё равно, как вы это сделаете. Ей нужно помочь». И здесь важно отметить: у этой прекрасной девочки есть не менее прекрасная тётя. А в жизни каждого ребёнка обязательно должен быть такой заботливый взрослый. Работы было много. Отсутствие гигиены и желания что-то менять, множественные кариесы, врождённое отсутствие нескольких зубов. И возраст — тот самый, когда скачок роста уже прошёл… В общем, не подарок для ортодонта. Но пациентов не выбирают. А если внутри такой прекрасной девочки всё ещё горит огонёк — это знак, что всё будет хорошо. И мы начали. Пара лет пролетела довольно быстро — и вот нижняя челюсть вышла из зажатого заднего положения

Если бы я была писательницей, эту главу своей ортодонтической истории я бы назвала «Моя прекрасная девочка».

Вы наверняка знаете: существует такая зависимость — уверенные в себе люди ходят с ровной спиной, а стеснительные сутулятся, будто хотят сжаться в комочек и спрятаться.

Эту прекрасную девочку ко мне привела её тётя. Сказала примерно так:

«Мне всё равно, как вы это сделаете. Ей нужно помочь».

И здесь важно отметить: у этой прекрасной девочки есть не менее прекрасная тётя. А в жизни каждого ребёнка обязательно должен быть такой заботливый взрослый.

Работы было много.

Отсутствие гигиены и желания что-то менять, множественные кариесы, врождённое отсутствие нескольких зубов. И возраст — тот самый, когда скачок роста уже прошёл…

В общем, не подарок для ортодонта.

Но пациентов не выбирают. А если внутри такой прекрасной девочки всё ещё горит огонёк — это знак, что всё будет хорошо.

И мы начали.

  • Лечение кариеса (постоянное),
  • профессиональные гигиены (почти каждый приём),
  • брекеты и дополнительная аппаратура.

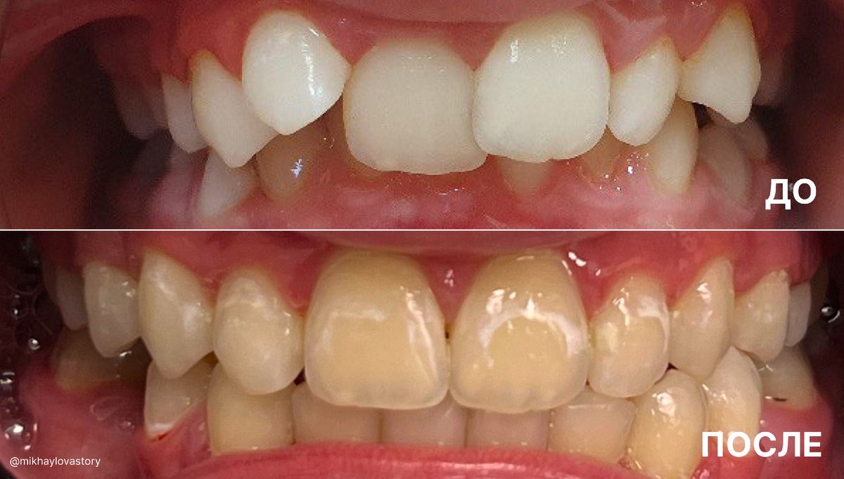
Пара лет пролетела довольно быстро — и вот нижняя челюсть вышла из зажатого заднего положения вперёд, боковые зубы начали поддерживать правильную высоту лица, а моя прекрасная девочка стала чистить зубы, краситься и, наконец, выпрямила спину.

Мы сняли брекеты — с обязательным условием ношения ретенционных аппаратов и последующей установкой имплантатов в области отсутствующих зубов, как только это станет возможным со стороны хирурга.

-2

Я пишу этот пост с предрождественской теплотой и верой в то, что всё хорошее обязательно сбывается.

Как сбылось этой зимой наше маленькое ортодонтическое чудо. Обнимаю тебя и твою заботливую тётю, моя прекрасная девочка.

С уважением, Дарья Максимовна Михайлова, врач-ортодонт и главный врач клиники АльтаДент

Если вам интересно больше разбирать такие «секреты» ортодонтии — ставьте лайк статье и подписывайтесь.

Мой канал в Телеграме https://t.me/mikhaylovastory.