Добавить в корзинуПозвонить
Найти в Дзене

История девочки, которая хотела закрыть щели между зубами

Иногда лучший врач — это тот, кто отговаривает лечиться. Да, звучит парадоксально. Но я действительно часто говорю пациентам: «Пока ничего не делаем. Просто наблюдаем». И сегодня расскажу один такой случай. Пациентка пришла с, казалось бы, простой жалобой — «между передними зубами щели, хочу ровные». На первый взгляд — обычная ситуация, которую легко решить ортодонтически. Но давайте посмотрим глубже (в прямом смысле). При осмотре: На рентгене было видно, что верхушки корней ещё не до конца сформированы, а вторые моляры только на подходе. После детального анализа поставила диагноз: K00.21 — микродентия латеральных резцов.
Проще говоря, боковые резцы (те, что рядом с передними) — слишком маленькие по размеру.
Поэтому между зубами и образовались щели — не из-за неправильного положения, а из-за несоответствия размеров. Точно не ставить брекеты.
И вот почему: Поэтому идеальное решение — увеличить ширину зубов при помощи терапевтических реставраций.
Без брекетов, без длительного лечения, бе
Оглавление

Иногда лучший врач — это тот, кто отговаривает лечиться.

Да, звучит парадоксально. Но я действительно часто говорю пациентам:

«Пока ничего не делаем. Просто наблюдаем».

И сегодня расскажу один такой случай.

Девочка с щелями между зубами

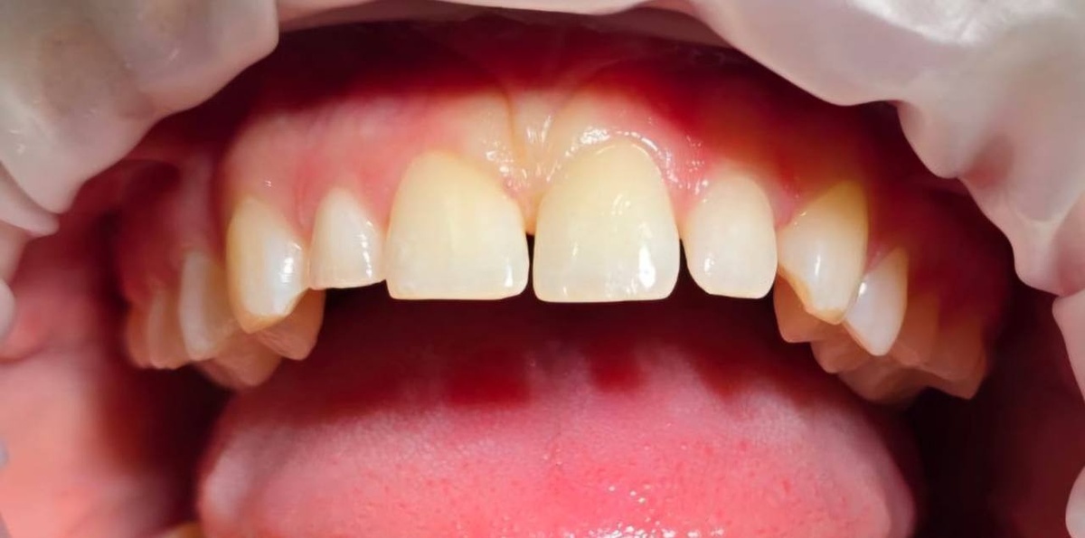
Пациентка пришла с, казалось бы, простой жалобой — «между передними зубами щели, хочу ровные».

Фото "До"
Фото "До"

На первый взгляд — обычная ситуация, которую легко решить ортодонтически.

Но давайте посмотрим глубже (в прямом смысле).

При осмотре:

  • боковые зубы смыкаются идеально, по типу зубчатого колеса;
  • прикус физиологичный, без признаков скученности или перекрёстов;
  • всё остальное — в норме.

На рентгене было видно, что верхушки корней ещё не до конца сформированы, а вторые моляры только на подходе.

Диагноз, который всё объяснил

После детального анализа поставила диагноз: K00.21 — микродентия латеральных резцов.
Проще говоря, боковые резцы (те, что рядом с передними) — слишком маленькие по размеру.
Поэтому между зубами и образовались щели — не из-за неправильного положения, а из-за несоответствия размеров.

Что делать в таком случае?

Точно не ставить брекеты.
И вот почему:

  1. Прикус уже правильный.
  2. Корни зубов ещё формируются.
  3. Проблема — эстетическая, а не ортодонтическая.

Поэтому идеальное решение — увеличить ширину зубов при помощи терапевтических реставраций.
Без брекетов, без длительного лечения, без риска.

Итог

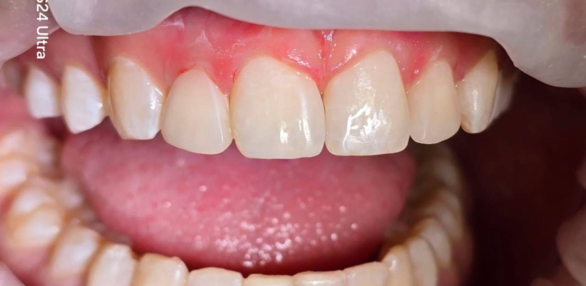
Мы просто «добавили» недостающие доли миллиметра — и улыбка стала гармоничной.
Никаких брекетов, никаких лишних вмешательств.

После
После

Иногда лучший план лечения — это вовремя остановиться.
Потому что настоящая ортодонтия — это не про «всех в брекеты», а про умение заметить, когда не нужно ничего трогать.

С уважением, Дарья Максимовна Михайлова, врач-ортодонт и главный врач клиники АльтаДент

___________________________________

Чтобы записаться ко мне на консультацию, достаточно обратиться к администратору любой из клиник, где я принимаю.

Клиника «АльтаДент» ☎️+7 (926) 949-06-79 (м. Филатов Луг, г. Москва, ул. Солнечная, д. 7)

Клиника Дентальной Медицины ☎️+7 (495) 431-11-31 (м. Академическая, г. Москва, ул. Дмитрия Ульянова, 31)

Клиника «В Путь» ☎️+7 (499) 151-03-10 (м. Аэропорт, г. Москва, ул. Усиевича, д. 13)